Vol. 12 - Num. 45
Notas clínicas
David Crespo Marcosa, Francisco Javier Pérez-Lescure Picarzob
aCardiología Infantil. Hospital Universitario Fundación Alcorcón. Alcorcón. Madrid. España.
bUnidad de Cardiología Infantil. Servicio de Pediatría. Hospital Universitario Fundación Alcorcón. Alcorcón. Madrid. España.
Correspondencia: D Crespo. Correo electrónico: dcrespo@fhalcorcon.es
Cómo citar este artículo: Crespo Marcos D, Pérez-Lescure Picarzo J. Casos clínicos en cardiología (n.º 5): niño con auscultación cardíaca anómala. Rev Pediatr Aten Primaria. 2010;12:89-94.
Publicado en Internet: 31-03-2010 - Número de visitas: 48614
Resumen
Continuamos con la serie de casos clínicos en cardiología pediátrica revisando los motivos de consulta y los datos exploratorios en las consultas de Pediatría de Atención Primaria, presentados de forma breve y práctica. En este número se recoge el caso de un niño de 12 años al que se le detecta una auscultación cardíaca anómala en el contexto de una gastroenteritis aguda. Se discute cómo la exploración y los hallazgos electrocardiográficos orientan el manejo diagnóstico de este paciente.
Palabras clave
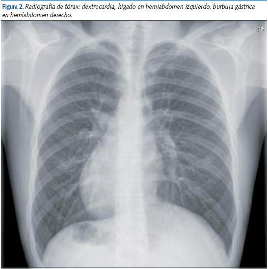
● Auscultación cardiaca ● Cardiopatía congénita ● Situs inversus totalis ● Situs solitusUn niño de 12 años acudió a la consulta de su pediatra de Atención Primaria por presentar malestar general, febrícula, hiporexia y deposiciones blandas frecuentes. Fue diagnosticado de gastroenteritis aguda. En la auscultación cardíaca, además de unos tonos rítmicos sin soplos ni anomalías en el segundo tono, se objetivó un dato que llamó la atención. Se interrogó al niño sobre antecedentes de precordalgias, presíncopes, síncopes, síntomas relacionados con el ejercicio así como la tolerancia a éste, palpitaciones y sensación de disritmia cardíaca, sin respuestas sugerentes de patología. Tras realizar un electrocardiograma (ECG) (figura 1) y una radiografía de tórax (figura 2), y una vez que el pediatra confirma su sospecha, el paciente es remitido a cardiología infantil para completar el estudio.
¿Cuál es la interpretación del ECG?, ¿y el hallazgo auscultatorio que llamó la atención al pediatra?, ¿y la sospecha diagnóstica? Es necesario revisar el ECG antes de seguir leyendo.
.jpg)
El ECG muestra, siguiendo la lectura sistemática, un ritmo auricular ectópico procedente de la parte superior de la aurícula izquierda (onda P negativa en I, positiva en aVF). Sin embargo, observamos un eje anómalo (derecho) de QRS y T (aproximadamente 180º en ambos), pues tanto los complejos QRS como las ondas T son negativas donde habitualmente son positivas (I, II, aVL, aVF), y viceversa.

Estos hallazgos electrocardiográficos sólo pueden deberse a una incorrecta colocación de la totalidad de los electrodos (en el hemitórax equivocado) o a la existencia de dextrocardia (ubicación del corazón en el hemitórax derecho). El dato auscultatorio fue la presencia de los tonos cardíacos en el hemitórax derecho; asimismo, en la radiografía de tórax se objetivó dextrocardia, hígado situado en hemiabdomen izquierdo y burbuja gástrica en hemiabdomen derecho. Con la confirmación de situs inversus totalis, el niño fue remitido a cardiología infantil para descartar la presencia de una cardiopatía congénita.
La denominación situs se refiere a la situación del corazón y los órganos toracoabdominales con respecto a la línea media. Con el término situs solitus describimos la disposición anatómica normal (corazón, estómago y bazo a la izquierda; hígado a la derecha), mientras que situs inversus totalis hace referencia a una disposición en espejo con respecto a la normalidad (corazón, estómago y bazo a la derecha; hígado a la izquierda). Existe otra posibilidad, el llamado situs ambiguous o síndromes de heterotaxia (diferentes a situs solitus e inversus), generalmente asociados a malformaciones graves.
La importancia de detectar un situs distinto al solitus radica en que la probabilidad de padecer una cardiopatía congénita (potencialmente grave, pues suele tratarse de anomalías conotruncales como tetralogía de Fallot, comunicación interventricular membranosa, ventrículo derecho de doble salida y obstrucción en el tracto de salida ventricular derecho) es claramente superior a la de la población general. Así, en los situs ambiguous se sitúa en torno al 50-100%, mientras que en los situs inversus totalis ronda el 3-5%, lo que supone un riesgo unas 6 veces superior al de la población general. Además, se estima que el 20% de los pacientes con situs inversus totalis padece una discinesia ciliar primaria (denominado síndrome de Kartagener), entidad que predispone al desarrollo de infertilidad masculina, embarazos ectópicos y cuadros recurrentes de sinusitis, otitis media aguda e infecciones broncopulmonares.
No es infrecuente que pase desapercibida en la auscultación cardíaca rutinaria la detección de los tonos en el hemitórax derecho, porque además de suponer un hallazgo exploratorio inesperado, en ciertas ocasiones la localización no es tan evidente pues pueden oírse en el tercio medio del tórax. Además, a veces se realizan radiografías simples de tórax en las que se objetivan las estructuras anatómicas en disposición en espejo con respecto a la normalidad (situs inversus totalis) y se considera que las referencias espaciales (derecha e izquierda) han sido etiquetadas erróneamente, sin realizar comprobación alguna.
Destacamos nuevamente la importancia de analizar de forma sistemática el ECG. En el caso expuesto, lo primero que llama la atención es la presencia de un ritmo distinto al sinusal, pues aunque se identifica una onda P delante de cada complejo QRS, ésta tiene un eje diferente a la P sinusal (que sería positiva en I y aVF). Con este primer dato, habitualmente pensamos en dos situaciones:
.jpg)
A modo de conclusión, debemos señalar la importancia de detectar anomalías en la disposición del corazón y los órganos toracoabdominales. Ante su sospecha, se deben realizar un ECG y una radiografía de tórax. En caso de confirmarse, el niño debe ser remitido a cardiología infantil para descartar una cardiopatía asociada.
.jpg)
Los autores declaran no presentar conflicto de intereses en relación con la preparación y publicación de este artículo.