aPediatra. CS Doctor Castroviejo. Madrid. España.
Cómo citar este artículo: Acosta Navas B. Absceso retrofaríngeo. Rev Pediatr Aten Primaria. 2016;69:e27-e30.
Publicado en Internet: 11-02-2016 - Número de visitas: 47264
Resumen
Las infecciones profundas del cuello incluyen el absceso periamigdalino, el absceso retrofaríngeo, y la infección del espacio faríngeo lateral (también conocido como faringomaxilar o infección del espacio parafaríngeo). Las infecciones supurativas del cuello son raras en los niños; sin embargo, la linfadenitis supurativa cervical es la infección superficial del cuello más común. El absceso retrofaríngeo es casi exclusivamente un diagnóstico pediátrico. En los niños es causado, por lo general, por una infección que se propaga a los ganglios retrofaríngeos, con el desarrollo posterior de celulitis y la formación de abscesos, como es en el caso que se presenta.
Palabras clave
● Absceso retrofaríngeo ● Infecciones profundas del cuello en la infanciaEl absceso retrofaríngeo, cuya incidencia ha ido en aumento1, es una complicación poco frecuente de las infecciones del tracto respiratorio superior en niños, pero grave, ya que se puede extender a las zonas adyacentes1,2.
La edad de presentación habitual está entre los dos y los cuatro años. Otros tipos de abscesos a nivel cervical, como son el parafaríngeo o el periamigdalino, se presentan con mayor frecuencia en adultos y niños mayores. Su aparición puede ser sutil3 y su curso insidioso, como es en el caso que se presenta.
Lactante varón de 17 meses que acudió a la consulta de Pediatría de Atención Primaria, sin cita previa, porque la madre detectaba en su hijo decaimiento, dificultad para respirar y anorexia, con el antecedente de fiebre moderada desde hacía más de cinco días y habiendo sido valorado previamente a nivel hospitalario (donde se realizó una punción lumbar para descartar meningitis) e inicio de tratamiento antibiótico en los tres días previos. En la exploración física se encontró a un lactante apirético con afectación moderada del estado general, babeo escaso y dificultad respiratoria alta (respiración bucal y ruidosa mantenida y estridor dudoso e intermitente), con auscultación cardiopulmonar normal y saturación de oxígeno del 99% con aire ambiente. A nivel otorrinolaríngeo se visualizaron abundantes secreciones en la orofaringe, adenopatías laterocervicales y desplazamiento asimétrico de la faringe, motivo por el que se derivó al Servicio de Urgencias para la valoración de la obstrucción de la vía aérea superior, donde se confirmó la existencia de un absceso retrofaríngeo, procediéndose a su ingreso, evacuación y antibioterapia. Sus antecedentes personales no eran relevantes y estaba correctamente vacunado.
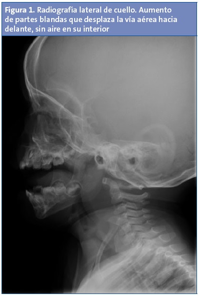
Pruebas complementarias iniciales: hemograma con leucocitosis (27 370/mm3) y neutrofilia, trombocitosis (510 000/mm3); el resto de los parámetros hemáticos se encontraban en rangos normales. Proteína C reactiva en 7,5 mg/dl. Cultivos de sangre, orina y líquido cefalorraquídeo negativos. Cultivo del contenido purulento del absceso: Streptococcus mitis y Streptococcus oralis. Radiografía lateral del cavum: aumento de partes blandas que desplaza la vía aérea hacia delante, sin aire en su interior (Fig. 1). Ecografía: múltiples adenopatías laterocervicales bilaterales y acúmulo de material heterogéneo en espacio retrofaríngeo compatible con absceso.

Tras el diagnóstico de absceso retrofaríngeo, se realiza un drenaje quirúrgico y se administra tratamiento antibiótico inicial con cefotaxima y clindamicina intravenosas y posteriormente amoxicilina-clavulánico por vía oral, con normalización clínica y analítica al alta.
El absceso retrofaríngeo, como infección profunda del cuello, es debido normalmente a una propagación de las infecciones de la vía aérea superior (faringitis, amigdalitis, adenoiditis, adenitis, otitis, sinusitis, infecciones de nariz, dentales o glándulas salivales) a los ganglios linfáticos localizados en ese espacio, que son prominentes en el niño pequeño y habitualmente sufren una involución a partir de los cuatro años. En los pacientes de mayor edad, la infección de este espacio generalmente se produce a partir de un traumatismo penetrante o por propagación directa de una infección desde un espacio adyacente.
La mayoría de las infecciones profundas del cuello suelen ser polimicrobianas, siendo más frecuente aislar en el absceso retrofaríngeo de niños pequeños aerobios patógenos como los Streptococcus de los grupos A y B, Staphylococcus aureus, solos o asociados4. La presencia de especies de Haemophilus son ocasionales.
Las manifestaciones clínicas en las fases iniciales del proceso pueden ser indistinguibles de la faringitis. Con la progresión de la infección, se desarrolla la inflamación y obstrucción de la vía aérea y digestiva superior. En general, se presenta un niño con sensación de enfermedad, fiebre moderada, dificultad y dolor para tragar, así como babeo más o menos marcado. También sufren dolor al movilizar el cuello; se ve afectada especialmente la extensión (signo de Bolte)3. También aparecen cambios en el tono vocal y dificultad respiratoria de vías altas. Es frecuente detectar adenopatías cervicales y la posibilidad de desarrollar trismus, con dificultad para ver la orofaringe, no solo por las secreciones presentes, sino también por la escasa apertura bucal. Los síntomas pueden estar presentes durante varios días antes del diagnóstico y no es raro que haya recibido antibióticos por presunta faringitis2,3.
La evaluación inicial de laboratorio de un niño con sospecha de infección retrofaríngea debe incluir un hemograma completo, cultivo del exudado faríngeo y cultivos de sangre y del contenido evacuado, con estudio de microorganismos anaerobios y aerobios. Los pacientes con absceso retrofaríngeo generalmente tienen aumentado el recuento de glóbulos blancos, con predominio de neutrófilos y bandas.
La tomografía computarizada del cuello con contraste es el estudio preferido para diferenciar el absceso retrofaríngeo de la celulitis y para buscar la extensión de la infección; sin embargo, la sensibilidad y especificidad varían considerablemente de un estudio a otro a la hora de inferir la existencia de contenido purulento5,6.
En cuanto al tratamiento, es tema de controversia en la literatura científica1,2, salvo en aquellos casos en los que existe compromiso de la vía aérea, como el caso que se presenta, o por presentar complicaciones que suponen un riesgo vital, tales como la obstrucción de la vía aérea, la septicemia, neumonía por aspiración si el absceso se abre en la vía aérea, trombosis de la vena yugular interna o tromboflebitis de la vena yugular (síndrome de Lemierre), ruptura de la arteria carótida y mediastinitis. Otras indicaciones quirúrgicas son la existencia de un área hipodensa grande (> 3 cm2) en la tomografía computarizada, que es compatible con un absceso maduro, así como la falta de respuesta al tratamiento antibiótico parenteral2,3.
Los niños con sospecha de infección retrofaríngea deben ser hospitalizados e iniciarse tratamiento antibiótico empírico tan pronto como sea posible, incluyendo cobertura para Streptococcus, Staphylococcus y anaerobios respiratorios. Se ha sugerido que los niños con absceso retrofaríngeo y sin compromiso de la vía aérea podrían recibir tratamiento con antibióticos durante 24-48 horas sin drenaje quirúrgico, especialmente si el tamaño del absceso es pequeño.
El absceso retrofaríngeo es una de las infecciones profundas del cuello más graves, por la posibilidad de extensión a zonas adyacentes, y se debe considerar en los niños que se presentan con fiebre, limitación del movimiento del cuello, sobre todo la extensión, torticolis, disfagia, babeo y otros síntomas relacionados con la inflamación u obstrucción del tracto respiratorio y digestivo superior y, en general, no suele ser tan rápidamente progresiva como otras etiologías infecciosas.
La autora declara no presentar conflictos de intereses en relación con la preparación y publicación de este artículo.