Vol. 20 - Num. 77

Notas clínicas

¿Por qué este niño coge mal los cubiertos? Un caso de sinostosis radiocubital

Jorge Balado Viloriaa, María García Amaroa, Chandni Gianchandani Gianchandania, Elia Acitores Suzb

aMIR-Medicina Familiar y Comunitaria. Hospital Universitario Puerta de Hierro. Majadahonda. Madrid. España.
bPediatra. CS Villanueva de la Cañada. Madrid. España.

Cómo citar este artículo: Balado Viloria J, García Amaro M, Gianchandani Gianchandani C, Acitores Suz E. ¿Por qué este niño coge mal los cubiertos? Un caso de sinostosis radiocubital. Rev Pediatr Aten Primaria. 2018;20:69-72.

Publicado en Internet: 21-02-2018 - Número de visitas: 38025

Resumen

La sinostosis radiocubital es una anomalía congénita poco frecuente, a menudo bilateral, que produce una limitación de la supinación del antebrazo. El origen de esta alteración tiene lugar al producirse una detención en la diferenciación de los esbozos cartilaginosos del radio y el cúbito durante el periodo embrionario. Existen diferentes tipos de sinostosis. En muchos casos la clínica es leve, pues compensan su limitación en la pronosupinación con hipermovilidad de las demás articulaciones del miembro superior. La radiografía de miembros superiores es diagnóstica. El tratamiento depende del grado de funcionalidad del antebrazo. Estaría indicado tratamiento quirúrgico si existe una grave deformación en pronación que ocasione graves déficits funcionales. En cualquier otro caso, el manejo será conservador.

Palabras clave

Cúbito/anomalías Radio (anatomía)/anomalías Sinostosis

CASO CLÍNICO

Paciente varón de 2 años que acude a la consulta de Pediatría de Atención Primaria porque las profesoras, en su escuela infantil, notan cierta dificultad, desde hace tiempo, a la hora de coger los cubiertos para comer. No presentaba dolor ni ninguna otra sintomatología.

En la exploración se apreció una supinación limitada en ambos antebrazos, consiguiendo la máxima supinación en una posición intermedia, quedando las manos con el pulgar hacia arriba, provocando dolor al intentar mayor supinación (Fig. 1) La flexión del codo era normal y la extensión estaba limitada unos 10°.

Figura 1. Máxima supinación en ambas extremidades superiores.
Figura 1. Máxima supinación en ambas extremidades superiores.

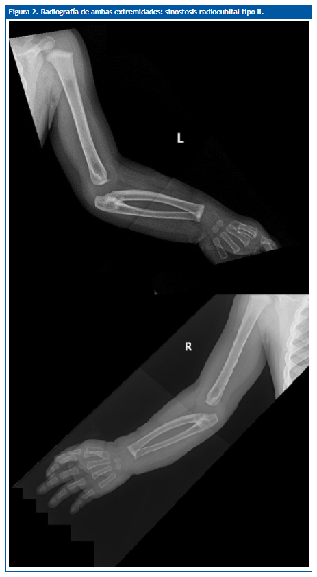
Se solicitó una radiografía de ambos brazos (Fig. 2) en la que se observó sinostosis radiocubital bilateral a nivel proximal, con ligera deformidad y subluxación de ambas cabezas femorales e incurvación diafisaria en los radios.

Figura 2. Radiografía de ambas extremidades: sinostosis radiocubital tipo II.
Figura 2. Radiografía de ambas extremidades: sinostosis radiocubital tipo II.

Se derivó al paciente al Servicio de Traumatología y en su seguimiento se ha apreciado que la supinación del antebrazo derecho ha empeorado. En la actualidad el paciente tiene 4 años. Se ha aconsejado a la familia que utilice más la mano izquierda en las actividades diarias, aunque el niño es diestro. El niño presenta hipermovilidad de los hombros y las muñecas para compensar la falta de supinación bilateral completa. De momento no se va a realizar ninguna cirugía, pero se ha comentado a los padres la posibilidad de una futura intervención quirúrgica si progresa la limitación.

DISCUSIÓN

La sinostosis radiocubital es una malformación congénita rara. Es bilateral en el 60% de los pacientes, con similar distribución en varones y mujeres1. La mayoría de las veces es esporádica, aunque en un 20% de los casos puede haber antecedentes familiares. Se ha descrito una familia con cinco casos de sinostosis bilateral, con patrón autosómico dominante2.

Puede asociarse a otras anomalías del desarrollo: atrofia del músculo supinador corto, hipoplasia del pulgar y del primer metarcapiano, luxación de caderas, sinostosis de los huesos del tarso3, exóstosis múltiples o formar parte de algún síndrome: síndromes de Poland, de Cornelia Lange y sindactilia de Cenani Lenz4. En nuestro paciente no se ha observado ninguna alteración de este tipo ni existían antecedentes familiares de esta alteración.

El origen de esta alteración tiene lugar al producirse una detención en la diferenciación en el plano longitudinal de los esbozos cartilaginosos del radio y el cúbito durante el periodo embrionario, lo que provoca la falta de separación del radio y el cúbito3,4.

Desde el punto de vista anatomopatológico, la sinostosis radiocubital congénita se caracteriza por la existencia de una fusión ósea entre el cúbito y el radio, generalmente a nivel de las epífisis superiores de ambos huesos, aunque esa fusión puede estar también situada a nivel inferior, entre ambas epífisis distales, sin embargo, esta eventualidad es mucho menos frecuente.

Se han descrito tres formas de sinostosis, según Braña y Montes5:

  • En el tipo I, la cabeza del radio falta por completo y las partes proximales del radio y cúbito están completamente unidas, con desaparición de la cortical en la zona de la unión y paso de trabéculas de un hueso a otro. La unión ósea puede ser de 1-8 cm.
  • En el tipo II, la cabeza del radio está malformada y a menudo luxada en sentido posterior, y la parte proximal del radio está unida al cúbito.
  • En el tipo III, el radio y cúbito están firmemente unidos entre sí por un grueso ligamento interóseo, sin que exista entre ellos una verdadera sinostosis ósea; la cabeza del radio está malformada y desplazada en sentido posterior. Otros autores han hecho otras clasificaciones.

Nuestro caso correspondería a un tipo II. Clínicamente, son defectos que a veces pasan desapercibidos hasta los 3 o 4 años, cuando los padres o cuidadores observan cierto grado de dificultad para la supinación, como coger cubiertos, girar el pomo de las puertas, coger monedas o vestirse. El antebrazo se encuentra en pronación variable según la posición de la sinostosis. No conlleva una dificultad funcional importante, debido a que la persona, habitualmente, realiza movimientos compensadores con la articulación escapulohumeral, especialmente rotación externa y aducción, produciéndose, incluso, un aumento de los movimientos normales de esta articulación3. También suele existir hipermovilidad de la muñeca. En los casos bilaterales sin ningún grado de supinación, el grado de pronación es máximo y el paciente, en posición de firmes, tiene las palmas de las manos orientadas hacia atrás.

El diagnóstico de sospecha cuando la supinación está muy limitada es sencillo, y la radiología es definitiva. Sin embargo, pueden existir dudas con la desviación en valgo del cuello radial o la hipertrofia de la tuberosidad bicipital, que impiden la supinación.

En cuanto al tratamiento, la mayoría de los casos publicados no han sido operados6. Un gran número de pacientes no tienen dificultades importantes que les incapaciten para el desarrollo de su vida normal.

La intervención estaría indicada, esencialmente, si se trata de un paciente con marcada pronación que le ocasione un déficit funcional importante. Pacientes con deformidades uni- o bilaterales con menos de 30° de pronación no requieren cirugía, en casos de entre 30 y 60° de pronación habrá que hacer una valoración individualizada de la función de esa extremidad y por encima de 60° de pronación suele ser necesaria la cirugía.

Las intervenciones quirúrgicas en ocasiones pueden no dar resultados satisfactorios, debido a la retracción de partes blandas que puede impedir los movimientos de supinación, por atrofia muscular o porque vuelven a producirse osificaciones que reproducen la sinostosis7.

En nuestro caso se optó por tratamiento conservador ya que el niño mantenía una buena funcionalidad.

CONFLICTO DE INTERESES

Los autores declaran no presentar conflictos de intereses en relación con la preparación y publicación de este artículo.

BIBLIOGRAFÍA

  1. Dogra BB, Singh M, Malik A. Congenital proximal radioulnar synostosis. Indian J Plast Surg. 2003;36:36-8.
  2. Rizzo R, Pavone V, Corsello G, Sorge G, Neri G, Opitz JM. Autosomal dominant and sporadic radio-ulnar synostosis. Am J Med Genet. 1997;68:127-34.
  3. Zwart Milego JJ. Sinostosis radiocubital congénita. Rev Esp Cir Ost. 1983;18:241-4.
  4. Elliott AM, Kibria L, Reed MH. The developmental spectrum of proximal radioulnar synostosis. Skeletal Radiol. 2010;39:49-54.
  5. Braña A, Montes S. Sinostosis radiocubital congénita. Rev Esp Cir Ost.1980;15:33-45.
  6. Cleary JE, Omer GE. Congenital proximal radioulnar synostosis. Natural history and functional assessment. J Bone Joint Surg (Am). 1985;67:539-44.
  7. Martínez-Martínez F, Moreno-Fernández JM, García-López A. Tratamiento de la sinostosis radiocubital proximal mediante la interposición de colgajo interóseo posterior de flujo anterógrado. Rev Esp Cir Ortop Traumatol. 2014;58:120-4.