Marta Dorado Criadoa, Celia Fabra Garridob, Julia Martín Sánchezc, Carlos Labrandero de Lerad, María de Ceano-Vivas La Callec
aMIR-Pediatría. Hospital Infantil Universitario La Paz. Madrid. España.
bMIR-Pediatría. Hospital Universitario La Paz. Madrid. España.
cServicio de Urgencias Pediátricas. Hospital Infantil Universitario La Paz. Madrid. España.
dServicio de Cardiología Pediátrica. Hospital Infantil Universitario La Paz. Madrid. España.
Correspondencia: M Dorado. Correo electrónico: doradocriado@gmail.com
Cómo citar este artículo: Dorado Criado M, Fabra Garrido C, Martín Sánchez J, Labrandero de Lera C, de Ceano-Vivas La Calle M. Insuficiencia cardiaca en urgencias: un reto diagnóstico. Rev Pediatr Aten Primaria. 2019;21:e77-e79.
Publicado en Internet: 19-06-2019 - Número de visitas: 24620
Resumen
La insuficiencia cardiaca es una patología poco frecuente en las consultas médicas pediátricas. Las formas en las que se expresa clínicamente esta incapacidad son muy diversas, sin embargo, en el paciente adulto suelen detectarse a través de síntomas clásicos como la disnea. En el caso del paciente pediátrico este espectro de presentación es mucho más amplio e inespecífico. El porcentaje de pacientes que no son correctamente diagnosticados en la primera consulta médica asciende hasta el 50%, y muchos de ellos reciben terapia antibiótica al haber sido etiquetado de infección bacteriana. Por ello presentamos el caso de un niño de tres años diagnosticado de insuficiencia cardiaca en nuestro servicio de urgencias pediátricas.
Palabras clave
● Insuficiencia cardiaca ● Miocardiopatía ● TaquicardiaLa insuficiencia cardiaca es un estado fisiopatológico en el que la disfunción del corazón provoca incapacidad para bombear sangre en la cantidad necesaria para suplir los requerimientos metabólicos del organismo. Las formas en las que se expresa clínicamente esta incapacidad son muy diversas, sin embargo, en el paciente adulto suelen detectarse a través de síntomas clásicos como la disnea. En el caso del paciente pediátrico este espectro de presentación es mucho más amplio e inespecífico. El porcentaje de pacientes que no son correctamente diagnosticados en la primera consulta médica asciende hasta el 50%, recibiendo muchos de ellos terapia antibiótica al haber sido etiquetado de infección bacteriana1. Por ello presentamos el caso de un niño de tres años diagnosticado de insuficiencia cardiaca en nuestro servicio de urgencias pediátricas.
Paciente de tres años que consultó en el servicio de urgencias de nuestro centro por dolor abdominal. El padre refería dolor abdominal de una semana de evolución, con empeoramiento en las últimas 24 horas, asociado a dos vómitos aislados de contenido alimentario y pérdida importante de apetito. Las deposiciones eran de características normales y había estado afebril en todo momento.
En la exploración presentaba aceptable estado general, ligera palidez cutánea, mucosas bien hidratadas, quejido espiratorio y tiraje intercostal leve con polipnea. La auscultación pulmonar no ponía de manifiesto alteraciones de la ventilación ni ruidos sobreañadidos. El abdomen era blando, depresible, con leve dolor a la palpación de fosa iliaca derecha, sin masas ni megalias y sin signos de irritación peritoneal. La frecuencia cardiaca era de 145 lpm, frecuencia respiratoria de 46 rpm, tensión arterial de 87/50 mmHg y saturación de oxígeno del 100%. En la auscultación cardiaca era audible un ritmo de galope sin soplos.
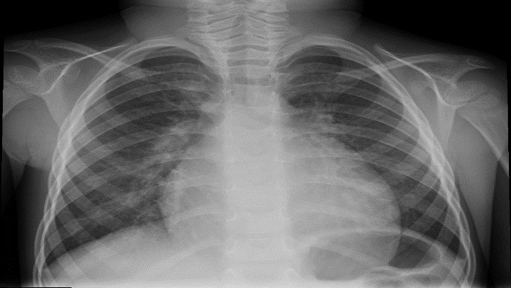
Ante estos hallazgos clínicos se realizó una radiografía de tórax observándose cardiomegalia e infiltrados peribroncovasculares bilaterales (Fig. 1). La analítica sanguínea presentó 0,24 ng/ml de troponina, NTproBNP 9030 pg/l, pH 7,27, lactato 1,70 mmol/l, bicarbonato 13,5 mmol/l, exceso de base -12,3 mmol/l y cetonemia 6,1 mmol/l; el resto de los valores están dentro de los límites normales. Se realizó un electrocardiograma de superficie en el que se observa taquicardia sinusal y ondas T positivas en derivaciones precordiales derechas (Fig. 2).
| Figura 2. Electrocardiograma de superficie. Se observan ondas T positivas en derivaciones precordiales derechas |
|---|
![]() |

Tras interconsultar con Cardiología, se realizó un ecocardiograma con diagnóstico de miocardiopatía dilatada no compactada e insuficiencia mitral funcional y se decidió ingreso del paciente para estudio e instauración de tratamiento.
La sintomatología de presentación de la insuficiencia cardiaca infantil varía en función de la edad. En los lactantes los síntomas más comunes son taquipnea y diaforesis durante las tomas, hiporexia, irritabilidad y fallo de medro. El preescolar suele presentar síntomas gastrointestinales (dolor abdominal, náuseas, vómitos, pérdida de apetito), fatigabilidad y tos crónica o recurrente con sibilancias. Esto nos puede llevar a confusión con otras entidades mucho más comunes en Pediatría como la gastroenteritis, el reflujo gastroesofágico, o el broncoespasmo. Los niños mayores pueden presentar intolerancia al ejercicio, hiporexia, dolor abdominal, sibilancias durante las infecciones respiratorias, disnea, edema, palpitaciones, dolor torácico o síncope2.
La mayoría de los pacientes presenta una taquicardia persistente, pero otros signos cardioespecíficos, como palidez, hipotensión, arritmia, edema, hepatomegalia o paro cardiaco, ocurren solo en una minoría de casos3,4.
El día anterior al ingreso, el paciente había acudido a nuestro servicio por dolor abdominal y vómitos y fue dado de alta con el diagnóstico de dolor abdominal inespecífico, con una frecuencia cardiaca de 145 lpm y una frecuencia respiratoria de 40 rpm. En muchos casos, los pacientes no son diagnosticados en las primeras consultas médicas, retrasando el tratamiento. Es fundamental enfatizar la necesidad de mantener un alto índice de sospecha, incluso con ausencia de hallazgos clínicos de fallo cardiaco5.
Se postula que el dolor abdominal secundario a insuficiencia cardiaca tiene su origen en la hipoperfusión esplácnica en situación de bajo gasto y a la distensión de la cápsula de Glisson en situación de sobrecarga derecha. En un estudio descriptivo realizado en Texas se analizó la frecuencia de los síntomas en el debut de insuficiencia cardiaca infantil de forma retrospectiva, durante el periodo comprendido entre 2003 y 2015, y hasta el 20% de los pacientes fueron diagnosticados con dolor abdominal como síntoma inicial1.
Este caso ilustra también la importancia de la medición de las constantes vitales que, si bien en muchas ocasiones se encuentran alteradas por circunstancias comunes en la infancia (llanto, fiebre, etc.), pueden constituir la señal de alarma para realizar un estudio más detallado.
En el ámbito de la Atención Primaria, es importante monitorizar la adaptación al tratamiento por parte de los pacientes. Detectar síntomas de hipotensión secundarios a los vasodilatadores, síntomas de fatiga o apatía secundarios a los betabloqueantes, conocer que estos últimos pueden agravar un episodio de broncoespasmo y que la tos seca es un efecto secundario típico de los inhibidores de la enzima convertidora de angiotensina son tareas que dependerán del manejo del pediatra de Atención Primaria.
Los autores declaran no presentar conflictos de intereses en relación con la preparación y publicación de este artículo.