Vol. 21 - Num. 82
Casos clínicos en Digestivo
David Plaza Olivera, Iván Carabaño Aguadob, David Coca Robinotc, Elisa Aguirre Pascualc, Enrique Salcedo Lobatob, Marta Germán Díazd, Enrique Medina Benítezb
aSección de Gastroenterología, Hepatología y Nutrición. Servicio de Pediatría. Hospital Universitario 12 de Octubre. Madrid. España.
bSección de Gastroenterología, Hepatología y Nutrición Pediátrica. Servicio de Pediatría. Hospital Universitario 12 de Octubre. Madrid. España.
cSección de Radiología Infantil. Servicio de Radiodiagnóstico. Hospital Universitario 12 de Octubre. Madrid. España.
dSección de Gastroenterología, Hepatología y Nutrición Pediátrica. Hospital Universitario 12 de Octubre. Madrid. España.
Correspondencia: D Plaza. Correo electrónico: daviiidpl@gmail.com
Cómo citar este artículo: Plaza Oliver D, Carabaño Aguado I, Coca Robinot D, Aguirre Pascual E, Salcedo Lobato E, Germán Díaz M, et al. Calcificaciones hepáticas múltiples. Revisión a propósito de dos casos. Rev Pediatr Aten Primaria. 2019;21:187-90.
Publicado en Internet: 20-06-2019 - Número de visitas: 29994
Resumen
La presencia de calcificaciones hepáticas fetales puede ser advertida durante el seguimiento ecográfico gestacional. Pueden ser únicas o múltiples, y estar asociadas o no a problemas tales como infecciones connatales o cromosomopatías. Aquellas lesiones aisladas, sin otras alteraciones asociadas, tienen buen pronóstico y cursan en la mayoría de las ocasiones de forma asintomática. Comunicamos dos casos clínicos de pacientes con calcificaciones hepáticas congénitas múltiples. Se revisa el manejo y el pronóstico de esta patología.
Palabras clave
● Calcificaciones ● HígadoLas calcificaciones hepáticas fetales (CHF) son hiperecogenicidades detectadas en el estudio ecográfico durante el seguimiento del embarazo1. Su incidencia no está bien determinada, habiéndose notificado incidencias de 1 de cada 1000-1750 ecografías del segundo trimestre en fetos vivos1. Esta incidencia es mayor en fetos muertos, con una incidencia aproximada del 2,2%2. Las CHF pueden ser superficiales o intrahepáticas y aisladas o asociadas a otras patologías. Los cuadros clínicos que más se ha asociado causalmente con las CHF son3: 1) peritonitis meconial; 2) infecciones connatales (sobre todo citomegalovirus); 3) cromosopatías (trisomías 13, 18 y 21); 4) isquemia, y 5) tumores. No obstante, la mayor parte de las CHF múltiples son intrahepáticas, aisladas, y no se asocian con ningún otro problema. Por lo tanto, en general tienen buen pronóstico, y cursan de forma asintomática.
Se presentan a continuación dos casos de pacientes con calcificaciones intrahepáticas inespecíficas detectadas en periodo fetal, y confirmación posnatal posterior con evolución favorable.
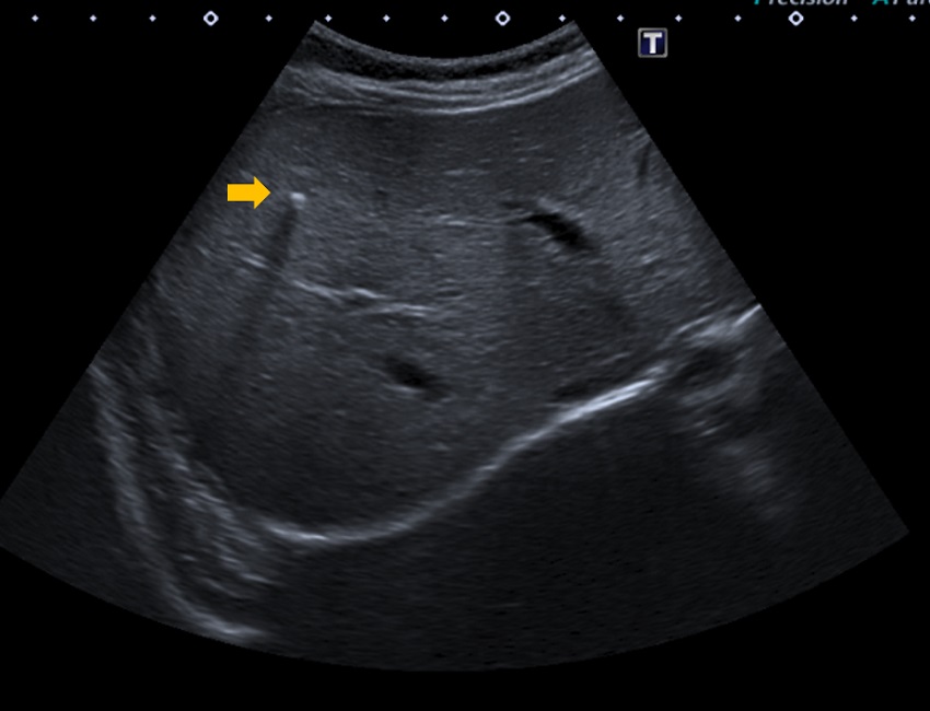
Lactante de sexo masculino normoconfigurado de un mes y 21 días, sin antecedentes familiares de interés, remitido a consultas de Digestivo desde la consulta de Neonatología para estudio y seguimiento de calcificaciones hepáticas advertidas durante el seguimiento gestacional, en el segundo trimestre de embarazo. Embarazo controlado. Rotura de bolsa tras amniocentesis en la semana 15, con recuperación posterior de líquido amniótico. Crecimiento intrauterino retardado, estadio I. Parto por cesárea en la semana 37, peso de recién nacido de 2400 gramos. Apgar 8/9; reanimación 1. Taquipnea transitoria del recién nacido leve. Serologías de rubeola inmune, resto negativo. Cribado endocrinometabólico negativo. Se solicita ecografía abdominal, en la que se observan múltiples calcificaciones perihepáticas en ambos lóbulos hepáticos, con algún foco intrahepático, sin signos de peritonitis meconial (Fig. 1).
| Figura 1. Imágenes hiperecogénicas subcapsulares hepáticas, con sombras posteriores, compatibles con calcificaciones hepáticas |
|---|
![]() |

Se le realizó además una ecografía transfontanelar (sin hallazgos patológicos) y un ecocardiograma, en el que se visualizó un corazón estructural y funcionalmente normal. Se realizaron analíticas seriadas en las que presenta enzimas hepáticas y amonio normal. Serologías para TORCH y citomegalovirus negativas.
Desde el punto de vista clínico, asintomático. Buena ganancia ponderoestatural. Ionotest negativo.
Con el diagnóstico de calcificaciones hepáticas congénitas, se procedió al seguimiento periódico de las lesiones a través de ecografías abdominales seriadas. No se registraron incidencias durante el seguimiento.
Lactante de sexo masculino de diez meses de edad, sin antecedentes familiares de interés, remitido a consultas de Digestivo desde su hospital de referencia para estudio de calcificaciones hepáticas advertidas durante el seguimiento gestacional del segundo trimestre. Embarazo controlado. Serología materna: rubeola inmune, resto negativo. Amniocentesis con estudio de citomegalovirus y parvovirus negativo. Parto por cesárea en la semana 37 + 2 por desproporción pélvico-cefálica. peso de recién nacido 3900 g. Apgar 9/10; reanimación 0. Cribado endocrinometabólico negativo.
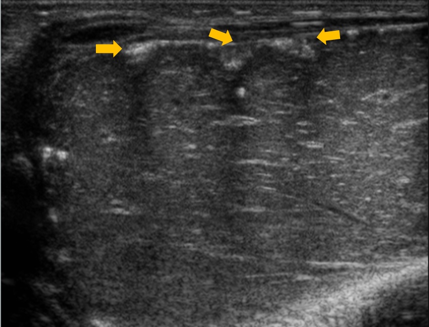
Al nacimiento se confirma la presencia de al menos cuatro imágenes nodulares de pequeño tamaño, hiperecogénicas, en ambos lóbulos hepáticos (Fig. 2). Sin alteración de enzimas hepáticas en la analítica sanguínea. Ecocardiograma y ecografía transfontanelar sin hallazgos significativos.
| Figura 2. Hiperecogenicidad intrahepática con sombra posterior, compatible con calcificación hepática |
|---|
![]() |

Con el diagnóstico de calcificaciones hepáticas congénitas, se procedió al seguimiento periódico de las lesiones a través de ecografías abdominales seriadas. Desde el punto de vista clínico, asintomático. Buena ganancia ponderoestatural. Ionotest negativo.
En la ecografía de control de los 12 meses se constata una reducción numérica de las calcificaciones, que pasan a ser dos: una de 6 mm en el segmento IV y otra de menor tamaño en el segmento VIII.
El significado clínico, manejo y relevancia clínica exactos de las CHF siguen siendo a fecha de hoy un enigma4. No obstante, todo parece indicar un carácter benigno. Dicha benignidad ha de ser conocida por los pediatras de Atención Primaria.
Las CHF se pueden clasificar de diversas maneras. Dependiendo de su ubicación, pueden ser superficiales o intrahepáticas. Atendiendo a su complejidad, pueden estar asociadas con otras masas o no. En función de su número, se clasifican en únicas o múltiples. Otros autores diferencian entre calcificaciones peritoneales, parenquimatosas o vasculares5.
Las CHF superficiales son lesiones puntiformes situadas en la superficie del hígado. Su origen más común es la peritonitis meconial, por lo que suelen verse concomitantemente con calcificaciones peritoneales. La peritonitis meconial puede ser secundaria a fibrosis quística, por lo que hay que tener en cuenta esta patología en el diagnóstico diferencial de las CHF6.
La patología vascular (trombosis o embolia) del sistema vascular hepatoportal puede ocasionar un flujo sanguíneo anómalo a ese nivel, con aparición de isquemia secundaria y progresiva fibrosis y calcificación. Las calcificaciones provocadas por esta etiología pueden ser superficiales subcapsulares o intrahepáticas7.
Las CHF sin masa asociada se han relacionado etiológicamente con infecciones intrauterinas del complejo TORCH (sobre todo con el citomegalovirus) y con anomalías cromosómicas (trisomías 13,18 y 21)7.
Las CHF con masa asociada son poco frecuentes. Se han vinculado sobre todo con el hepatoblastoma (masa heterogénea con calcificaciones puntiformes gruesas) y el neuroblastoma metástasico. El hepatoblastoma se relaciona a su vez con el síndrome de Beckwith-Wiedemann (macrosomía, macroglosia, polihidramnios e hipoglucemia). También se ha descrito su asociación con el hemangioma, el hepatocarcinoma y el teratoma, entre otros7.
Aunque las calcificaciones hepáticas son relativamente frecuentes, su manejo clínico no se ha protocolizado en detalle. Según la literatura científica, las CHF aisladas sin ninguna otra anormalidad subyacente tienen una excelente evolución. En la mayor parte de estos pacientes, el seguimiento ecográfico muestra la estabilidad o regresión de las calcificaciones, tal y como ocurrió con el paciente expuesto en el caso 21,3,8. Las CHF (únicas o múltiples) que se asocian con otras anomalías suelen tener un peor pronóstico. Por lo tanto, todo feto con CHF debe ser evaluado en profundidad para descartar patologías asociadas1.
Se debe realizar una ecografía posnatal para descartar masas asociadas (con sonda Doppler, para excluir lesiones isquémicas), una ecografía cerebral (para descartar ventriculomegalia y calcificaciones intracerebrales) y una ecocardiografía para descartar la presencia de cardiopatías8.
El estudio diagnóstico debe descartar, además de otras anomalías morfológicas, la causa infecciosa (realizando serología TORCH y parvovirus), las anomalías cromosómicas (estudio del cariotipo fetal) y hacer despistaje de la fibrosis quística.
En el momento actual, se postula un seguimiento ambulatorio de la evolución de las calcificaciones. La creciente disponibilidad de dispositivos ecográficos en las consultas de Atención Primaria puede abrir una vía prometedora de seguimiento de estos pacientes. En cuanto al pronóstico, según las distintas referencias bibliográficas consultadas, la mayoría de las calcificaciones hepáticas aisladas sin patología asociada tienen una excelente evolución.
Los autores declaran no presentar conflictos de intereses en relación con la preparación y publicación de este artículo.
CHF: calcificaciones hepáticas fetales.