Vol. 22 - Num. 28

Cardiología y Ecografía

Doctora, a mi hijo se le hincha el cuello

Lucía Martínez de Leóna, Esther Vaquero Sosaa

aPediatra. CS Meco. Madrid. España.

Cómo citar este artículo: Martínez de León L, Vaquero Sosa E. Doctora, a mi hijo se le hincha el cuello. Rev Pediatr Aten Primaria. Supl. 2020;(28):158.

Publicado en Internet: 14-02-2020 - Número de visitas: 5957

INTRODUCCIÓN

Niño de cinco años con tumoración cervical derecha no dolorosa, solo visible con los esfuerzos.

RESUMEN DEL CASO

Paciente de cinco años, sano y correctamente vacunado. Sus padres han detectado, hace una semana, que presenta una tumoración en la región cervical derecha que únicamente aparece cuando llora, se enfada o grita. Ha estado afebril, no ha perdido peso ni presenta sudoración nocturna y no le duele la zona. Valorado por un pediatra privado, es diagnosticado de probable patología tiroidea, solicitándose analítica y ecografía cervical, pendientes de realización. En nuestra consulta, presenta buen estado general, no se palpan masas, megalias ni adenopatías a ningún nivel. El resto de exploración es normal. Al finalizar, le pedimos que sople contra una resistencia (guante de polivinilo), siendo entonces cuando se hace notable una masa laterocervical derecha que aumenta de tamaño a medida que el niño va soplando y que desaparece cuando deja de hacerlo. Al disponer de ecógrafo en el centro, le realizamos una ecografía.

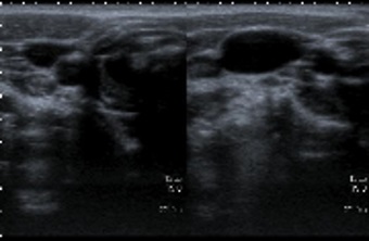
En la ecografía no presenta alteraciones significativas de forma basal. Al pedirle de nuevo que sople contra una resistencia, en la zona descrita presenta una imagen hipoecogénica homogénea, Doppler negativa, que aumenta de tamaño con el esfuerzo y desaparece por completo cuando este cede (Fig. 1). Se visualiza una glándula tiroidea de características normales.

Figura 1. Ecografía antes y después de hacer soplar al paciente.
Figura 1. Ecografía antes y después de hacer soplar al paciente.

Ante la sospecha de un quiste de arco branquial con fístula a vía aérea o un laringocele, se deriva a consultas de Cirugía Pediátrica, donde está pendiente de realizarse una resonancia magnética  para programar el abordaje quirúrgico.

CONCLUSIONES

En nuestro paciente, la localización de la masa no resulta compatible con patología tiroidea, por lo que se plantea un diagnóstico diferencial entre masas laterocervicales que varíen de tamaño con maniobras de Valsalva.

Los quistes de arco branquial son malformaciones congénitas que pueden presentarse de forma tardía y, en ocasiones, tener comunicación con la vía aérea. Los laringoceles son protuberancias de la mucosa en el ventrículo laríngeo que, con el aumento de la presión intralaríngea se llenan de aire. La flebectasia de la vena yugular también puede aumentar de tamaño con esfuerzos.

La ecografía es la prueba de imagen de elección para emitir un diagnóstico más preciso en el estudio de las masas cervicales. La accesibilidad de dicha técnica en nuestro centro nos permitió descartar que se tratase de un proceso vascular, por ser Doppler negativo, y orientarlo a malformaciones cervicales con comunicación a la vía aérea (laringocele o quiste branquial).

CONFLICTO DE INTERESES

Las autoras declaran no presentar conflictos de intereses en relación con la preparación y publicación de este artículo.