Vol. 22 - Num. 85
Notas clínicas
Esther Vaquero Sosaa, M.ª Guadalupe Muñoz Pinob, Lucía Martínez de Leóna, María García Martosc, Alberto Parente Hernándezd, José M.ª Angulo Maderod
aPediatra. CS Meco. Madrid. España.
bServicio de Gastroenterología y Nutrición Infantil. Hospital Universitario de Torrejón de Ardoz. Madrid. España.
cServicio de Anatomía Patológica. Hospital Universitario de Torrejón de Ardoz. Madrid. España.
dServicio de Cirugía Pediátrica. Hospital Universitario de Torrejón de Ardoz. Madrid. España.
Correspondencia: E Vaquero. Correo electrónico: estvaqsos@yahoo.es
Cómo citar este artículo: Vaquero Sosa E, Muñoz Pino MG, Martínez de León L, García Martos M, Parente Hernández A, Angulo Madero JM. Apendicitis recurrente. Rev Pediatr Aten Primaria. 2020;22:43-6.
Publicado en Internet: 09-03-2020 - Número de visitas: 34137
Resumen
La apendicitis crónica es una entidad poco frecuente, que se manifiesta como dolor abdominal recurrente en la fosa iliaca derecha. Las pruebas complementarias (hemograma, proteína C reactiva y ecografía) pueden ser normales, por lo que sería necesario realizar una laparoscopia con apendicectomía para el diagnóstico. El estudio histológico muestra cambios inflamatorios crónicos no ocasionados por otros procesos infecciosos ni compatibles con una enfermedad inflamatoria intestinal.
Se presenta el caso de un niño de 12 años con episodios autolimitados de dolor abdominal agudo en el transcurso de dos años, al que se le realizó tratamiento quirúrgico con diagnóstico definitivo de apendicitis crónica.
Palabras clave
● Apendicitis recurrente ● Dolor abdominalPresentamos el caso de un paciente varón de 12 años de edad, sin antecedentes personales ni familiares de interés patológico, que durante dos años había consultado en tres ocasiones en el centro de salud por episodios de dolor abdominal agudo. El dolor se localizaba en el hipogastrio, con irradiación a la fosa iliaca derecha (FID), asociados siempre a febrícula y empeoramiento al realizar micción, con diarrea en una ocasión. En la exploración física presentaba dolor a la palpación en FID, con signos de irritación peritoneal (Blumberg positivo). Fue remitido para realización de pruebas complementarias en Urgencias del hospital de referencia, encontrando en todas las ocasiones elevación de la proteína C reactiva y hallazgos ecográficos compatibles con apendicitis aguda incipiente (Tabla 1).
| Tabla 1. Resumen datos analíticos y ecografía abdominal | |||
|---|---|---|---|
| Fecha de realización | 23/01/2015 | 27/06/2017 | 10/11/2017 |
| Datos analíticos |
Leucocitos 9,6 × 103/μl Neutrófilos 45,5% PCR 18,8 mg/l |
Leucocitos 15,7 × 103/μl Neutrófilos 84,7% PCR 11,6 mg/l |
Leucocitos 6,8 × 103/μl Neutrófilos 57,6% PCR 26,0 mg/l |
| Datos ecográficos | Apéndice cecal que con un aumento de calibre (diámetro transverso máximo de 8 mm) que asocia un aumento de la ecogenicidad de la grasa adyacente y pequeñas adenopatías locorregionales | Apéndice cecal que con un aumentado de calibre (diámetro transverso máximo de 7,4 mm), que asocia un aumento de la ecogenicidad de la grasa adyacente y mínima cantidad de líquido libre adyacente | Apéndice cecal que con un aumento de calibre (diámetro transverso máximo de 9 mm), que asocia un aumento de la ecogenicidad de la grasa adyacente, sin líquido libre ni colecciones |

En los tres episodios referidos, el paciente fue trasladado a otro centro hospitalario con servicio de Cirugía Pediátrica, donde se dejó en observación con sueroterapia intravenosa siendo dado de alta en las siguientes 24 horas por mejoría del dolor abdominal con buena tolerancia oral. En ninguno de los casos se consideró tratamiento quirúrgico ni antibiótico por la mejoría clínica. Tras el último episodio de dolor abdominal agudo, y por persistencia al alta de apéndice cecal ligeramente engrosado (9 mm en tercio distal) con escasa inflamación de la grasa periapendicular, el paciente fue remitido desde Atención Primaria para valoración por Gastroenterología Infantil. En consulta hospitalaria se solicitaron analítica de sangre con marcadores inflamatorios (sin alteraciones), estudio microbiológico de heces (parasitológico y bacteriológico negativos), calprotectina fecal (normal) y ecografía abdominal de control (no se visualiza apéndice cecal ni cambios inflamatorios en FID) sin hallazgos patológicos. Con estos resultados fue valorado por Cirugía, realizándose un mes después una laparotomía exploradora hallándose el apéndice cecal en posición retroileal, emplastronado con el íleon y engrosado en la punta.
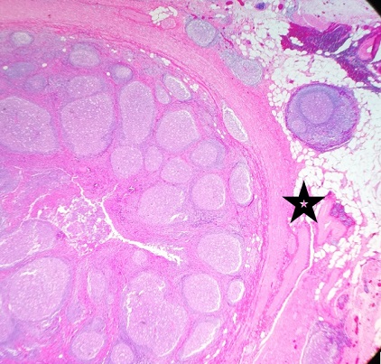
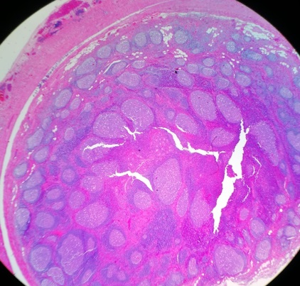
En el estudio de anatomía patológica se observó un apéndice ileocecal de pared engrosada, con áreas de aspecto fibrinoide en la superficie y contenido fecaloideo en su luz. El engrosamiento mural de la pared descrito macroscópicamente se correspondía histológicamente con una marcada hiperplasia folicular linfoide en la submucosa, que se extendía a la capa muscular y la subserosa, sin signos morfológicos ni inmunohistoquímicos de malignidad. La mucosa mostraba áreas de erosión, con inflamación crónica transmural, sin granulomas sugerentes de enfermedad inflamatoria intestinal (Figs. 1 y 2). Desde que se realizó la apendicectomía, el paciente ha permanecido completamente asintomático y con exploración física normal en las revisiones realizadas en consulta.
| Figura 1. Anatomía patológica de apéndice cecal. Visión panorámica de un corte sagital histológico del apéndice, donde puede observarse (4×, tinción hematoxilina-eosina) la oclusión casi completa de la luz (estrella negra) y la masiva presencia de folículos linfoides en mucosa, submucosa y muscular interna, con centros germinales reactivos y heterogeneidad de tamaños y formas |
|---|
![]() |

| Figura 2. Anatomía patológica de apéndice cecal. Imagen histológica (10×, tinción hematoxilina-eosina) de la mucosa, pared y tejido adiposo subseroso, del apéndice, con presencia en todas ellas de folículos linfoides reactivos con centros germinales de morfología heterogénea |
|---|
![]() |

El dolor abdominal en Pediatría, tanto agudo como crónico, es uno de los motivos de consulta más frecuentes en la práctica habitual, siendo múltiples las causas que pueden desencadenar este síntoma1. Los casos de abdomen agudo precisan una valoración urgente para determinar si se trata de una causa que requiera intervención quirúrgica, siendo la apendicitis aguda la etiología más frecuente2. La apendicitis se produce por una obstrucción de la luz del apéndice cecal, generando un asa ciega distal con aumento de la presión intraluminal que compromete el drenaje linfático, venoso y arterial, que puede provocar la perforación de la pared intestinal3. Aunque habitualmente se ha considerado una patología quirúrgica, existen casos de apendicitis aguda con normalización ecográfica después del tratamiento conservador; sin embargo, estos pacientes presentan riesgo de recurrencia a lo largo del siguiente año4. Estos casos de apendicitis con remisión espontánea y reaparición repetida en el mismo paciente se han denominado en la literatura médica como “apendicitis recurrente”5. En la fisiopatología se ha considerado la existencia de una obstrucción parcial de la luz intestinal en probable relación con inflamación o aumento desproporcionado de la mucosidad, sin haberse comprobado una asociación evidente de las reagudizaciones con la presencia de fecalitos6.
Por lo tanto, aunque durante años la apendicitis recurrente o crónica ha sido una entidad muy cuestionada, en el momento actual se recomienda considerar este diagnóstico diferencial en los casos con dolor abdominal recurrente, o de larga evolución, en el cuadrante inferior derecho7,8. Al realizar apendicectomía, es habitual observar inflamación crónica o fibrosis del apéndice en estos pacientes con dolor abdominal prolongado o intermitente en fosa iliaca derecha9. Aunque no se considera una emergencia quirúrgica, es conveniente tenerla presente y establecer un adecuado manejo de estos pacientes para evitar complicaciones como la obstrucción intestinal, la perforación o la formación de abscesos o infecciones intraabdominales10,11. Por ello, durante el seguimiento de niños con dolor abdominal de estas características sería conveniente realizar una interconsulta quirúrgica para valorar la realización de una laparoscopia con finalidad diagnóstica o terapéutica12,13. La apendicectomía electiva en los casos de dolor abdominal recurrente en fosa iliaca derecha proporciona un alivio sintomático para la mayoría de los pacientes14,15 y permite establecer el diagnóstico definitivo mediante el estudio histológico16. En la anatomía patológica de la apendicitis crónica se observan cambios inflamatorios crónicos en ausencia de otros hallazgos compatibles con una enfermedad inflamatoria intestinal17 u otros procesos infecciosos18-20.
En pacientes con dolor abdominal crónico de localización en hipogastrio o fosa iliaca derecha se debería tener en cuenta la apendicitis recurrente. Esta entidad clínica es poco habitual y ha sido muy cuestionada, por lo que pudiera ser infradiagnosticada. Resulta esencial sospecharla y establecer un adecuado manejo terapéutico para evitar un diagnóstico tardío que desencadene complicaciones graves. Por tanto, en el seguimiento de estos cuadros clínicos se debería considerar la realización de una laparoscopia con finalidad diagnóstica y terapéutica.
Los autores declaran no presentar conflictos de intereses en relación con la preparación y publicación de este artículo.
FID: fosa iliaca derecha.