Melody Sánchez Tierrasecaa, Francisco José Martín Somozab
aMIR-Pediatría. Complejo Hospitalario Universitario de Albacete. Albacete. España.
bMIR-Cirugía Ortopédica y Traumatología. Complejo Hospitalario Universitario de Albacete. Albacete. España.
Correspondencia: M Sánchez. Correo electrónico: melody_373@hotmail.com
Cómo citar este artículo: Sánchez Tierraseca M, Martín Somoza FJ. Importancia de la flora microbiana orofaríngea en infecciones invasoras. Rev Pediatr Aten Primaria. 2020;22:e139-e141.
Publicado en Internet: 17-09-2020 - Número de visitas: 10882
Resumen
La artritis séptica presenta una incidencia anual de 4 casos/100 000 niños. Es más frecuente en los miembros inferiores y suele estar provocada por Staphylococcus aureus vía hemática, por lo que la cobertura antibiótica inicial está dirigida a cubrir al menos este patógeno. Sin embargo, en algunas situaciones, como tras la manipulación periodontal o enfermedad dentaria, debemos pensar en microorganimos procedentes de la flora microbiana orofaríngea, como es Fusobacterium nucleatum, ya que el 50% de las cepas es resistente a penicilina y a algunas cefalosporinas, fármacos que forman parte del tratamiento antibiótico empírico de las infecciones osteoarticulares en la población pediátrica.
Palabras clave
● Artritis séptica ● Cadera ● Fusobacterium ● Infección dentalLas infecciones osteoarticulares en Pediatría presentan una incidencia anual de 22 casos/100 000 y de ellas la artritis séptica (AS) tiene una incidencia anual de 4 casos/100 000 niños1. El 70% se produce en los miembros inferiores: la articulación más afectada es la rodilla (35-40%) seguida de la cadera (25-30%) y el tobillo (13-15%). El germen causante más frecuente es el Staphylococcus aureus y la vía de entrada más frecuente es la hematógena1; sin embargo, existen situaciones clínicas o factores de riesgo que nos deben hacer sospechar la presencia de otros microorganismos causantes de la infección, como la flora bacteriana orofaríngea en caso de una salud bucodental alterada o manipulaciones a ese nivel2.
Presentamos el caso de un varón de 11 años, sin antecedentes médicos de interés y con calendario vacunal al día, que consulta por coxalgia derecha y fiebre de 38 °C. Los días previos había sido valorado por dolor dental secundario a una fractura de pieza dental cariada con sangrado escaso.
A la exploración presenta impotencia funcional de miembro inferior derecho y limitación de abducción de esa cadera con rotación interna y externa dolorosas.
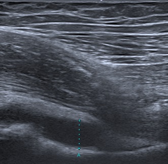
Se realiza un hemograma con leucocitosis de 14 550/mm3 (10 630/mm3 neutrófilos, 2300/mm3 linfocitos) y una proteína C reactiva (PCR) de 69,9 mg/l, así como líquido articular en la ecografía de partes blandas (Fig. 1) y en la resonancia magnética (RM) derrame articular de cadera derecha con engrosamiento sinovial y afectación acetabular con edema de los músculos obturadores y psoas-ilíaco ipsilaterales (Fig. 2), datos sugestivos de artritis de cadera.
| Figura 2. Resonancia magnética de caderas: aumento de señal por engrosamiento sinovial y afectación acetabular derecha con edema que se extiende hacia la rama iliopubiana y los músculos obturadores y psoas-ilíaco ipsilaterales |
|---|
![]() |

Se realiza artrotomía y lavado articular seguido de administración de cloxacilina y clindamicina intravenosas. Tras recibir cultivo de la biopsia articular donde se aísla Fusobacterium nucleatum sensible a clindamicina y penicilina se suspende la cloxacilina y se mantiene la clindamicina durante diez días. Tras comprobar la reducción de la PCR (30,3 mg/l) y mejoría clínica se pasa a amoxicilina oral, completando tres semanas en total.
La artritis séptica en la edad pediátrica suele ser monoarticular (hasta en el 70% de los casos). La clínica será distinta dependiendo de si se trata de una AS superficial con dolor articular, tumefacción y calor, o profunda, donde el dolor es referido a la ingle, muslo o rodilla junto con impotencia funcional. El diagnóstico se realiza mediante la exploración física, analítica de sangre con reactantes de fase aguda, hemocultivos, cultivo del líquido articular, así como biopsia articular y pruebas de imagen como ecografía articular y RM1. El tratamiento es de carácter urgente, consiste en artrotomía con lavado articular y antibiótico (inicialmente intravenoso)3.
Existen situaciones, sobre todo si la evolución es tórpida o existen factores predisponentes, en las que tendremos que pensar en otros microorganismos distintos del habitual. Las bacterias del género Fusobacterium son gramnegativas y anaerobias y hay dos especies patógenas principales: F. necrophorum y F. nucleatum. Este último es un microorganismo habitual de la orofaringe en humanos, y de los anaerobios orales es el que produce infecciones extraorales con más frecuencia (cerebro, hígado, corazón o articulaciones)2. No es habitual encontrarlo en AS, pero, tras enfermedades o procedimientos periodontales, puede migrar por vía hemática a regiones como la sinovial, un motivo más por el que debemos concienciar de la importancia de una correcta higiene bucal en los niños.
La importancia de pensar en F. nucleatum como causa de AS en pacientes que han sufrido manipulaciones dentales se debe a que el 50% produce betalactamasas, haciéndolo resistente a penicilina, algunas cefalosporinas (tratamientos empíricos en adolescentes con AS) y ampicilina, por lo que la mejor opción antes de conocer el antibiograma es la clindamicina (o alternativas como metronidazol o amoxicilina-clavulánico)4.
Los autores declaran no tener ningún conflicto de intereses en relación con la preparación y publicación de este artículo.
AS: artritis séptica · PCR: proteína C reactiva · RM: resonancia magnética.