Vol. 23 - Num. 30
Casos clínicos. Enfermedades infecciosas
Leire Arlabán Carpinteroa, Cristina Bardella Gilb, Patricia Rubio Sánchezc, Juan Hidalgo Sanzd, M.ª Isabel Moneo Hernándeze, Matilde Bustillo Alonsof
aMIR-Pediatría. Hospital Miguel Servet. CS Torrero La Paz. Zaragoza. España.
bMIR-Pediatría. Hospital Universitario Miguel Servet. CS Torrero La Paz. Zaragoza. España.
cMIR-Pediatría. Hospital Universitario Miguel Servet. Zaragoza. España.
dServicio de Pediatría. Hospital Universitario Miguel Servet. Zaragoza. España.
ePediatra. CS Torre Ramona. Zaragoza. España.
fUnidad de Infectología Pediátrica. Servicio de Pediatría. Hospital Universitario Miguel Servet. Zaragoza. España.
Cómo citar este artículo: Arlabán Carpintero L, Bardella Gil C, Rubio Sánchez P, Hidalgo Sanz J, Moneo Hernández MI, Bustillo Alonso M. Mi hija ha dejado de caminar. Estudio de lesión en extremidad inferior. Rev Pediatr Aten Primaria. Supl. 2021(30):141-2.
Publicado en Internet: 30-11--0001 - Número de visitas: 4330
Se presenta el caso de una niña de siete años que acude al centro de salud tras volver de un viaje en Gambia, de donde es originaria, por presentar tumefacción en la rodilla izquierda, junto con rechazo a la marcha, de tres meses de evolución.
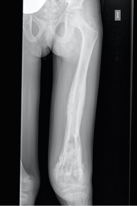
Se realiza una primera valoración de la paciente en nuestra consulta de Pediatría de Atención Primaria. El padre de la niña refiere que hace tres meses presentó una caída desde la cama, no presenciada por ellos, y desde entonces rechaza la deambulación. Además, presenta pérdida importante de peso no cuantificada. En la exploración destaca la tumefacción en muslo izquierdo, dolorosa a la palpación, y aumento de la temperatura local. No presenta adenopatías palpables ni masas a nivel abdominal. Se remite a urgencias para estudio. En la radiografía de extremidad inferior izquierda, en fémur distal, se observan áreas líticas mal definidas, junto con reacción perióstica (Fig. 1). Se plantea diagnóstico diferencial de fractura o tumor. Durante el ingreso se completa el estudio con gammagrafía ósea, en la que se aprecia aumento de la captación en tercio medio y distal de fémur izquierdo. Tras la realización de la resonancia magnética del fémur izquierdo, las imágenes sugieren osteomielitis crónica como opción más probable y, en segundo lugar, sarcoma de Ewing. Para poder diferenciarlo se realiza biopsia de la lesión, obteniéndose en su cultivo crecimiento de S. aureus. Tras realizarse su estudio anatomopatológico, es informado como osteomielitis crónica sin signos de malignidad. Se administra tratamiento antibiótico intravenoso con cloxacilina durante 43 días, junto con limpieza de la lesión en el quirófano, y aplicación de esponjas de gentamicina intralesionales. Se realiza valoración por Gastroenterología Pediátrica, iniciándose suplementación con batidos hipercalóricos e hiperproteicos. Evoluciona favorablemente, con disminución de la lesión y del dolor, junto con mejoría de la movilidad de la extremidad. Es dada de alta con tratamiento antibiótico oral, y seguimiento en consultas de Enfermedades Infecciosas, Traumatología y Gastroenterología Pediátricas.
| Figura 1. Radiografía de extremidad inferior izquierda. En tercio medio y distal de fémur se observan áreas líticas y reacción perióstica adyacente, junto con signos indirectos de derrame articular |
|---|
![]() |

Ante una lesión de larga evolución en la extremidad inferior, junto con pérdida de peso y rechazo a la deambulación, se plantean varios diagnósticos diferenciales (fractura, tumor, osteomielitis). El primero que se sospechó, por los datos iniciales y la imagen, fue la etiología tumoral. Con la ayuda del resto de pruebas complementarias se descubrió el origen infeccioso que, tras un tratamiento intravenoso prolongado, produjo una notable mejoría.
Los autores declaran no presentar conflictos de intereses en relación con la preparación y publicación de este artículo.