Vol. 23 - Num. 30

Casos clínicos. Miscelánea

Regresión del desarrollo psicomotor: no todo puede ser telefónico

Isabel Sanjurjo Jiméneza, Sara Olivares Aguirreb, Rocío Moreno Novilloa, Mónica Hortigüela Aparicioc, Patricia Valero Menchénc, Cristina Castaño de la Motac

aHospital Universitario Infanta Leonor. Madrid. España.
bMIR-Pediatría. Hospital Universitario Infanta Leonor. Madrid. España.
cServicio de Pediatría. Hospital Universitario Infanta Leonor. Madrid. España.

Cómo citar este artículo: Sanjurjo Jiménez I, Olivares Aguirre S, Moreno Novillo R, Hortigüela Aparicio M, Valero Menchén P, Castaño de la Mota C. Regresión del desarrollo psicomotor: no todo puede ser telefónico. Rev Pediatr Aten Primaria. Supl. 2021(30):263-4.

Publicado en Internet: 30-11--0001 - Número de visitas: 5471

INTRODUCCIÓN

Se presenta el caso de una lactante de diez meses que consultó por regresión en el desarrollo psicomotor. Es fundamental realizar una anamnesis y exploración física completas para detectar alteraciones en el desarrollo psicomotor que puedan condicionar patologías importantes y potencialmente graves.

CASO CLÍNICO

Una lactante de diez meses consulta en su centro de salud por regresión en la adquisición de hitos motores. No tenía antecedentes familiares de interés ni consanguinidad. Nació a término, sin incidencias en el periodo perinatal, sus pruebas metabólicas fueron normales. No presentó enfermedades previas y el desarrollo psicomotor fue normal hasta este momento. La madre refería que desde hacía tres semanas presentaba inestabilidad en la sedestación, relacionándolo con un traumatismo craneoencefálico leve previo. Refería además vómitos ocasionales, sin otra sintomatología. La madre consultó su preocupación a través de una consulta telefónica, pero debido a la pandemia, se demoró su atención en el centro de salud de forma presencial, remitiéndola en dicho momento a consulta de Neuropediatría por hipotonía. 

En consulta destacaba irritabilidad y macrocefalia llamativas (perímetro craneal en P>99, +6 desviaciones estándar) con una fontanela anterior abombada. Presentaba limitación de la abducción del ojo derecho. En decúbito supino tenía escasa movilidad espontánea y una sedestación inestable (previamente adquirida, según refería la madre), con temblor axial y cefálico llamativos, con ausencia de sostén cefálico. El resto de la exploración neurológica y por aparatos fue normal.

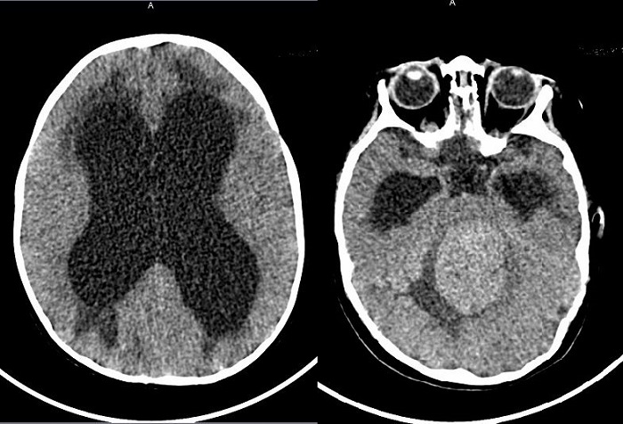
Ante la sospecha clínica de hipertensión intracraneal, se realizó una tomografía computarizada craneal urgente (Fig. 1) donde se observó una tumoración en la fosa posterior con hidrocefalia triventricular grave. Se trasladó a otro centro de tercer nivel, con diagnóstico radiológico final de meduloblastoma (tamaño 4,9 × 6,8 × 4,8 cm) con signos de diseminación leptomeníngea e hidrocefalia triventricular grave. Se realizó resección de la tumoración, con varios ingresos posteriores en Cuidados Intensivos Pediátricos por complicaciones y seguimiento actual por Oncohematología.

Figura 1. Tomografía computarizada craneal. Tumoración en fosa posterior con hidrocefalia triventricular grave
Figura 1. Tomografía computarizada craneal. Tumoración en fosa posterior con hidrocefalia triventricular grave

CONCLUSIONES

Se presenta este caso clínico para recalcar la importancia que tienen los pediatras De Atención Primaria en evaluar a los niños de manera presencial, en revisiones del Plan de Salud Infantil y en las consultas.

Una regresión motora de forma brusca en un lactante previamente sano es motivo de realizar una valoración preferente ya que puede ser el primer signo de una enfermedad grave. 

CONFLICTO DE INTERESES

Los autores declaran no presentar conflicto de intereses en relación con la preparación y publicación de este artículo.