Vol. 23 - Num. 30

Casos clínicos. Miscelánea

¿Otro esguince mal curado? Dolor crónico de tobillo

Mónica Hortigüela Aparicioa, Isabel Sanjurjo Jiménezb, Sara Olivares Aguirrec, Rocío Moreno Novillob, María Cabrerizo Ortizb, Airam Tenesor Álvarez Sánchezd

aServicio de Pediatría. Hospital Universitario Infanta Leonor. Madrid. España.
bHospital Universitario Infanta Leonor. Madrid. España.
cMIR-Pediatría. Hospital Universitario Infanta Leonor. Madrid. España.
dCS Londres. Hospital Universitario Infanta Leonor. Madrid. España.

Cómo citar este artículo: Hortigüela Aparicio M, Sanjurjo Jiménez I, Olivares Aguirre S, Moreno Novillo R, Cabrerizo Ortiz M, Álvarez Sánchez AT. ¿Otro esguince mal curado? Dolor crónico de tobillo. Rev Pediatr Aten Primaria. Supl. 2021(30):267.

Publicado en Internet: 30-11--0001 - Número de visitas: 7129

INTRODUCCIÓN

En Atención Primaria la consulta traumatológica es muy frecuente. Uno de los síntomas que más vamos a atender es el dolor de tobillo tanto agudo como crónico. El diagnóstico diferencial es extenso, pero hay determinados datos de la historia clínica, como la edad o el deporte que practican, que nos pueden orientar hacia un diagnóstico certero.

CASO CLÍNICO

Niña de ocho años valorada en consulta de Pediatría de Atención Primaria por dolor en tobillo izquierdo de meses de evolución. El dolor es discontinuo, se acentúa con el esfuerzo físico y se localiza en zona dorsal y a nivel del maléolo externo. Practica ballet de forma habitual y el dolor cada vez le limita más la actividad.

A la exploración presenta dolor a la inversión y flexión plantar, así como a la palpación del ligamento peroneo astragalino anterior.

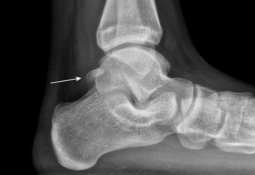
Se inicia tratamiento con antiinflamatorios no esteroideos, frío local y reposo relativo. Se realiza radiografía de tobillo que muestra os trigonum como variante anatómica (Fig. 1). Ante la cínica compatible con Síndrome del Trígono y la presencia de dolor pese al primer escalón terapéutico se deriva a traumatología que confirma el diagnóstico y deriva a rehabilitación.

Figura 1. Os trigonum, persistencia del centro de osificación lateral en la cara posterior del astrágalo
Figura 1. Os trigonum, persistencia del centro de osificación lateral en la cara posterior del astrágalo

CONCLUSIONES

La persistencia del centro de osificación lateral en la cara posterior del astrágalo después de la maduración esquelética da lugar al os trigonum, el dolor se produce por la compresión ósea y de tejidos blandos en el espacio tibiocalcáneo posterior.

En su mayoría es asintomático, pero nos tiene que llevar a sospecharlo signos como dolor claro con la flexión plantar y el antecedente de practicar deportes como ballet, gimnasia rítmica o fútbol. Es importante también considerar la edad ya que dicho núcleo de osificación se cierra a los 8-10 años en niñas y 11-13 años en niños.

El tratamiento inicial siempre será conservador, mediante reposo deportivo, frio local y antiinflamatorios no esteroideos. La posterior rehabilitación para mejora de la fuerza y la propiocepción del retropié puede prevenir la recurrencia. Si fracasa el tratamiento conservador, se podría infiltrar anestésicos y como última opción la escisión del hueso trígono.

CONFLICTO DE INTERESES

Los autores declaran no presentar conflicto de intereses en relación con la preparación y publicación de este artículo.