Vol. 23 - Num. 92
Notas clínicas
Alicia Martínez Sebastiána, Mireia Roselló Guijarroa, Carla A. Pérez Paretsa
aServicio de Pediatría. Hospital Universitario Doctor Peset. Valencia. España.
Correspondencia: A Martínez . Correo electrónico: aliciamarsebastian@gmail.com
Cómo citar este artículo: Martínez Sebastián A, Roselló Guijarro M, Pérez Parets CA. Importancia del diagnóstico diferencial ecográfico en la intumescencia mamaria gigante neonatal: reporte de un caso. Rev Pediatr Aten Primaria. 2021;23:409-12.
Publicado en Internet: 07-12-2021 - Número de visitas: 27801
Resumen
La intumescencia mamaria neonatal es una condición fisiológica y benigna, que puede catalogarse de gigante cuando alcanza un diámetro mayor de 3 cm. Esta puede asociarse a ciertas complicaciones, como son la mastitis o el absceso mamario, por lo que conocerla y saber realizar un correcto diagnóstico diferencial entre estas entidades resulta imprescindible, con lo que la imagen ecográfica cobra un papel fundamental. Presentamos el caso de un neonato varón de 14 días de vida que acude a urgencias por una gran hipertrofia mamaria bilateral muy indurada, de aparición en las últimas 24 horas, sin fiebre o cambios en la coloración cutánea, con aspecto ecográfico de intumescencia mamaria, sin complicaciones asociadas, que presentó buena evolución clínica posterior, con resolución clínica a los seis meses del seguimiento. El pediatra debe conocer esta entidad clínica fisiológica que puede no estar asociada a mastitis o cambios inflamatorios o infecciosos y que puede ser difícil de diferenciar en un primer momento de las anteriores, para así poder evitar hospitalizaciones y tratamientos antibioticoterápicos innecesarios.
Palabras clave
● Ecografía ● Intumescencia mamaria gigante ● MastitisLa intumescencia mamaria neonatal es la proliferación benigna del tejido glandular mamario. El diámetro suele ser de 1 a 2 cm en las primeras semanas de vida. Es conocido que los estrógenos maternos pueden producir una hipertrofia mamaria en el recién nacido, ya que la caída en sus niveles tras el nacimiento podría estimular la producción de prolactina en la glándula pituitaria del recién nacido, lo que estimularía el crecimiento del pecho y la secreción de leche, popularmente conocida como “leche de brujas” en un 5-20% de los neonatos1. Cuando el crecimiento es excesivo, y supera los 3 cm de diámetro, se conoce como intumescencia mamaria gigante. Aún no es bien conocido por qué se produce solo en algunos recién nacidos, pero esta hipersensibilidad a las hormonas maternas, especialmente en los pacientes con intumescencia mamaria gigante, podría hacerlos más vulnerables a cambios malignos en la edad adulta2.
Neonato varón de 13 días de vida que acude a urgencias por la detección casual en las últimas 24 horas de tumefacción en ambas mamas, sin presentar otra clínica acompañante. Afebril. Como antecedentes perinatales, fue fruto de una gestación controlada con ecografías prenatales normales, nació por parto vaginal con una edad gestacional de 41 + 3 semanas y un peso al nacimiento de 4150 g. Padres originarios de Pakistán, sanos. En la exploración física destaca una gran tumefacción mamaria bilateral, de consistencia dura a la palpación, bien delimitada, móvil, sin estar adherida a planos profundos, no dolorosa, sin secreción por el pezón asociada, ni cambios en la coloración cutánea o aumento de temperatura local (Fig. 1). A su vez, observamos una lesión granular que impresiona de calcificación sobre la tumefacción de la mama izquierda (Fig. 2). No presenta adenopatías. Constantes estables en todo momento, normales para la edad. Ante la clínica descrita y la edad del paciente, procedemos a solicitar una analítica sanguínea para descartar complicaciones infecciosas asociadas (PCR <5 mg/l, leucocitos 9100, neutrófilos absolutos 2000 (21,8%)) que resulta sin alteraciones y una ecografía en la que se confirma el diagnóstico de intumescencia mamaria neonatal, descartándose complicaciones secundarias. Se procede al alta del paciente, recomendando seguimiento estrecho por parte de la familia y de su pediatra de Atención Primaria, presentando el paciente buena evolución posterior, con desaparición de la tumefacción en el control a los seis meses.
La intumescencia mamaria neonatal (menor o igual a 3 cm) es una condición fisiológica y benigna producida por una influencia hormonal, que puede ser uni- o bilateral, siendo esta última más frecuente. Clínicamente se presenta como mamas aumentadas de tamaño e induradas, con o sin eritema asociado, que pueden presentar secreción láctea (leche de brujas), llegando a calificarse como gigantes cuando el tamaño supera los 3 cm. La inadecuada canalización de los conductos galactóforos, así como la falta del estímulo oxitocínico en el recién nacido, puede producir un galactocele y como consecuencia una infección sobreañadida que podría producir una mastitis o un absceso mamario, por lo que debemos vigilar estrechamente a estos recién nacidos, evitando siempre la manipulación de la mama intentando favorecer el drenaje, lo que aumentaría el riesgo de sobreinfección del paciente. A menudo, la induración y la hiperemia con la que puede presentarse pueden confundirse con la mastitis neonatorum, esto sumado a la falta de criterios diagnósticos establecidos en la bibliografía, pueden llevar a un diagnóstico erróneo inicial. Es por ello, que la ecografía representa un papel central para distinguir entre estas entidades y sus complicaciones.
La mastitis neonatal, con la que debemos realizar principalmente el diagnóstico diferencial, es más frecuente en neonatos nacidos a término, con predilección por el sexo femenino a partir de las dos semanas de vida, debutando entre la tercera y la cuarta semanas de vida, siendo raramente bilateral (<10%)3. El Staphylococcus aureus es el germen más frecuentemente implicado en el desarrollo de esta infección. Esta puede progresar y producir un absceso mamario que podrá requerir aspiración con aguja o drenaje quirúrgico. Estos requerirán ingreso hospitalario para antibioticoterapia intravenosa o tratamiento quirúrgico según la evolución clínica.
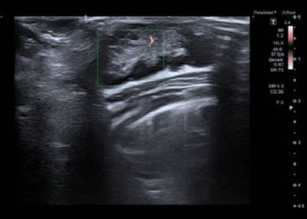
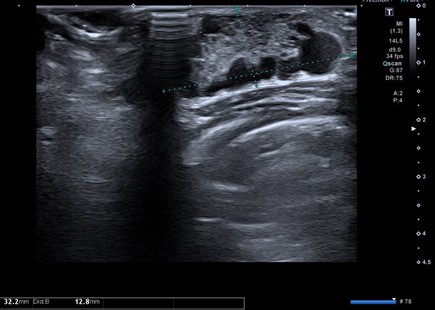
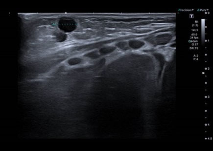
Para realizar el diagnóstico diferencial entre estas entidades clínicas, la ecografía resulta de gran utilidad. El tejido mamario en la intumescencia mamaria neonatal es relativamente hipoecoico, mientras que el aumento en la ecogenicidad es característica de la mastitis. El absceso por su parte será anecoico o ecoico dependiendo de la naturaleza de su contenido. Estos dos últimos presentarán un aumento del flujo en el tejido graso periférico en el Doppler color, pero el flujo en el absceso estará ausente a diferencia de la mastitis debido a la hipervascularización interna4,5 (Figs. 3, 4 y 5).
| Figura 3. Ecografía: glándula mamaria derecha aumentada de tamaño (32,2 mm en su eje longitudinal y 13 mm en su eje anteroposterior) con mínima hiperecogenicidad central y múltiples lesiones quísticas periféricas, sin asociar alteración de la grasa subcutánea |
|---|
![]() |

| Figura 4. Ecografía Doppler: glándula mamaria derecha en la que no se observa aumento significativo del flujo Doppler. No se observa vascularización interna |
|---|
![]() |

| Figura 5. Ecografía: quiste mamario izquierdo de 7 mm, anecoico, que protruye sobre superficie cutánea, sin aumento de la vascularización periférica |
|---|
![]() |

El tratamiento de la intumescencia mamaria solo requiere observación y vigilancia estrecha por parte de los padres o del pediatra para poder detectar las posibles complicaciones que pueden surgir en su curso. Esta suele resolverse espontáneamente en los seis primeros meses de vida, aunque en algunos lactantes puede conllevar un curso más prolongado.
La intumescencia mamaria gigante es una entidad clínica fisiológica y benigna debida a la hipersensibilidad del neonato a las hormonas maternas, que puede no estar asociada a mastitis o cambios inflamatorios o infecciosos y que puede ser difícil de diferenciar en un primer momento de las anteriores, cobrando la ecografía un papel fundamental en su diagnóstico diferencial, para así poder evitar hospitalizaciones y tratamientos antibioticoterápicos innecesarios.
Las autoras declaran no presentar conflictos de intereses en relación con la preparación y publicación de este artículo.