Vol. 23 - Num. 92
Notas clínicas
aServicio de Pediatría. Hospital Universitario Doctor Peset. Valencia. España.
Correspondencia: A Martínez . Correo electrónico: aliciamarsebastian@gmail.com
Cómo citar este artículo: Martínez Sebastián A. Diagnóstico diferencial del triángulo de Codman: a propósito de un tumor maligno. Rev Pediatr Aten Primaria. 2021;23:413-6.
Publicado en Internet: 15-12-2021 - Número de visitas: 21010
Resumen
El triángulo de Codman es una reacción perióstica que puede indicar la presencia de un tumor maligno, siendo el osteosarcoma y sarcoma de Ewing los más frecuentemente asociados. Presentamos el caso de una adolescente mujer de raza negra que fue diagnosticada de probable tumor maligno ante la presencia de un triángulo de Codman en radiografía de fémur, confirmándose posteriormente mediante biopsia la presencia de un osteosarcoma. Es fundamental para el pediatra saber reconocer los hallazgos sospechosos de malignidad en la radiografía para así poder realizar un adecuado diagnóstico, que puede llegar a disminuir la morbimortalidad asociada a ciertas patologías o neoplasias.
Palabras clave
● Radiografía ● Triángulo de Codman ● Tumor malignoEl triángulo de Codman es un signo radiológico, descrito por primera vez en 1926 por Ernest Amory Codman, que se observa con mayor frecuencia en las radiografías simples musculoesqueléticas e indica, en la mayoría de las ocasiones, la presencia de una lesión agresiva intraósea. Consiste en una reacción perióstica que ocurre cuando las lesiones óseas crecen de manera tan agresiva que levantan el periostio y no permiten que establezca hueso nuevo. Es un patrón de reacción perióstica interrumpida en la que el periostio se levanta en cualquier extremo de la lesión agresiva y el aspecto central de la lesión no tiene ninguna osificación suprayacente. Este estado da la apariencia en las radiografías simples de un triángulo elevado de periostio (Fig. 1) a lo largo de los bordes de la lesión. En esta reacción, el periostio puede levantarse por el borde delantero del tumor, pus o hemorragia1.
Este signo radiológico se presenta clásicamente con tumores óseos primarios agresivos, que incluyen osteosarcoma (el más común), sarcoma de Ewing, condrosarcoma, metástasis, histiocitoma fibroso maligno y tumor maligno de células gigantes. Rara vez puede aparecer con lesiones no malignas como osteomielitis, quistes óseos aneurismáticos activos, traumatismos y hematomas1.
Los médicos deben considerar la historia y los datos demográficos del paciente, ya que las neoplasias malignas óseas agresivas más comunes (osteosarcoma y sarcoma de Ewing) se observan en pacientes jóvenes, generalmente menores de 20 años, como en el caso que presentamos.
Adolescente mujer, de diez años, de origen africano, que acude a Urgencias por cojera de 16 días de evolución junto a una tumoración en muslo derecho de crecimiento progresivo, dolorosa a la palpación, sin otra clínica asociada. Niega antecedente traumático o infecciones previas. No antecedentes personales o familiares de interés. A la exploración física destaca masa de 4 × 4 cm a nivel de región distal de fémur izquierdo, dolorosa a la palpación, de consistencia pétrea sin signos inflamatorios externos. Observamos cojera con rechazo al apoyo por dolor.
Se realiza una radiografía de fémur derecho, en la que se identifica en la vertiente posteromedial de la porción distal de la diáfisis femoral derecha la presencia de una reacción perióstica de características radiológicas agresivas (triángulo de Codman) (Fig. 1), así como una afectación esclerótica con dudoso patrón permeativo asociado en cortical ósea subyacente. Analítica y radiografía de tórax sin alteraciones.
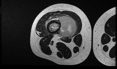
Se realiza traslado a hospital de referencia para ingreso en Unidad de Oncología. A su ingreso se amplía el estudio de la lesión realizando una resonancia magnética (Figs. 2 y 3) y estudio de extensión con tomografía computarizada pulmonar confirmándose la sospecha de tumor maligno óseo y metástasis pulmonares. Posteriormente se toma biopsia de dicha lesión guiada por ecografía confirmándose el diagnóstico de osteosarcoma.
| Figura 2. Resonancia magnética. Lesión agresiva medular ósea (10 cm de extensión cráneo-caudal) con masa de partes blandas paraostal (35 × 62 × 42 mm) que sobreeleva el periostio en fémur distal derecho |
|---|
![]() |

| Figura 3. Resonancia magnética. Lesión agresiva medular ósea (10 cm de extensión cráneo-caudal) con masa de partes blandas paraostal (35 × 62 × 42 mm) que sobreeleva el periostio en fémur distal derecho |
|---|
![]() |

El periostio es una estructura dinámica que juega un papel importante en el modelado y remodelado óseo en condiciones normales. En varios trastornos, como infecciones, tumores benignos y malignos y enfermedades sistémicas, se estimula el potencial osteogénico del periostio y se produce hueso nuevo. Las reacciones combinadas espiculadas, interrumpidas y complejas conllevan el peor pronóstico, ya que ocurren en las enfermedades más agresivas y de rápido crecimiento2.
El signo del triángulo de Codman es clínicamente significativo, ya que a menudo indica una lesión ósea agresiva subyacente. Se observa con mayor frecuencia en casos de osteosarcoma, seguido del sarcoma de Ewing como la segunda causa (Tabla 1).
| Tabla 1. Diagnóstico diferencial ante la presencia de un triángulo de Codman | ||
|---|---|---|
| Lesión maligna | Benigna | Otras |
|
Osteosarcoma Sarcoma de Ewing Condrosarcoma Metástasis Histiocitoma fibroso maligno Tumor maligno de células gigantes |
Osteomielitis Quistes óseos aneurismáticos |
Hematomas Pus Traumatismos |

Las lesiones óseas agresivas afectan principalmente a los huesos largos de la rodilla (fémur y tibia) y generalmente se presentan con dolor o cojera, como en el caso de nuestra paciente, o como fracturas patológicas.
El diagnóstico en urgencias de un tumor óseo agresivo requiere más pruebas de imagen, estadificación y una biopsia cuidadosamente planificada, requiriendo un abordaje multidisciplinar por pediatras, oncólogos, radiólogos, cirujanos y psicólogos.
Una vez confirmado por biopsia, los tumores óseos agresivos requieren un tratamiento intensivo que generalmente consistirá en quimioterapia y escisión quirúrgica amplia, que puede incluso llevar a la amputación de una extremidad si no es posible salvarla.
Como hemos mencionado con anterioridad, nuestra paciente fue diagnosticada en Urgencias de probable tumor óseo maligno (confirmándose con posterioridad la presencia de un osteosarcoma) ante la visualización del triángulo de Codman, derivándose a la unidad de oncología de referencia.
El osteosarcoma es un tumor óseo raro que afecta con mayor frecuencia a adolescentes y adultos jóvenes, con un segundo pico de incidencia en la edad geriátrica. Los pacientes que presentan una enfermedad localizada presentan tasas de supervivencia general a cinco años de menos del 70%; menos del 20% de los que desarrollan enfermedad metastásica o recurrencia sobreviven más de tres años3. Los factores de riesgo conocidos son la edad temprana, ser de origen africano (gran número de casos notificados en Nigeria, Uganda y Sudán) y el sexo masculino (con un pico entre los 15-19 años, habiéndose descrito tasas de cáncer mayores en las mujeres menores de 15 años al diagnóstico, como fue el caso de nuestra paciente, lo que sugiere que el crecimiento óseo, los cambios hormonales y el desarrollo asociados con la pubertad pueden ser factores involucrados en su etiología) ofrecen una mayor predisposición4. El tratamiento generalmente consiste en cirugía para eliminar el tumor (que puede conllevar incluso a la amputación de la extremidad) y las metástasis, a menudo en combinación con quimioterapia, aunque nuevas terapias se encuentran actualmente en investigación5.
Las lesiones óseas agresivas a menudo requieren un reconocimiento y tratamiento rápidos, es por lo que el reconocimiento precoz del triángulo de Codman puede ser decisivo para poder detectar un posible tumor óseo altamente agresivo como el osteosarcoma (el más frecuentemente asociado) y así poder mejorar la morbimortalidad y pronóstico de nuestros pacientes, con especial beneficio e importancia en el niño.
La autora declara no presentar conflictos de intereses en relación con la preparación y publicación de este artículo.