Vol. 23 - Num. 92
Notas clínicas
Carmen Goez Sanza, M.ª Luisa Vega Gutiérrezb, Salvador Pastor Idoatec
aMIR-Pediatría. Hospital Clínico Universitario de Valladolid. Valladolid. España.
bPediatra. CS Pilarica. Área Este. Valladolid. España.
cServicio de Oftalmología. Hospital Clínico Universitario de Valladolid. Instituto de Oftalmobiología Aplicada (IOBA). Universidad de Valladolid. Valladolid. España.
Correspondencia: C Goez. Correo electrónico: carmen.goez94@gmail.com
Cómo citar este artículo: Goez Sanz C, Vega Gutiérrez ML, Pastor Idoate S. Desprendimiento de retina: la importancia del cribado de la agudeza visual. Rev Pediatr Aten Primaria. 2021;23:421-3.
Publicado en Internet: 16-12-2021 - Número de visitas: 10790
Resumen
El desprendimiento de retina es una patología infrecuente en Pediatría y presenta diferencias con respecto a los casos que se dan en la edad adulta. Predomina en varones escolares. El subtipo más frecuente es el regmatógeno y la principal causa son los traumatismos, sin olvidar otras causas como las sindrómicas y lesiones no accidentales. El abordaje de esta patología es quirúrgico, aunque el éxito anatómico de la cirugía no implica buen resultado funcional. Presentamos el caso de un niño en el que se detectó una disminución unilateral importante de la agudeza visual en consulta programada.
Palabras clave
● Agudeza visual ● Desprendimiento de retinaLa valoración de la agudeza visual (AV) en la revisión del niño sano permite detectar alteraciones que cursen sin expresión clínica dada la edad del paciente y requieran derivación a Oftalmología. Entre estas alteraciones el desprendimiento de retina es una patología infrecuente en Pediatría, representa el 3,2-6,6% de los casos de desgarro de retina1. Tanto el tipo como la etiología y los resultados posteriores al tratamiento difieren entre la edad pediátrica y la edad adulta2, por lo que es importante conocer las características de esta entidad en niños. Presentamos el caso de un niño en el que se detectó una disminución unilateral importante de la AV en consulta programada.
Niño de ocho años que acude al centro de salud a una revisión programada del escolar sano. Antecedentes familiares y perinatales sin interés, salvo tabaquismo materno durante el embarazo. Como factor de riesgo social, destaca que el paciente procedía de una familia monoparental, con madre joven, y se encontraba en seguimiento por los servicios sociales. Entre los antecedentes personales destacan varias consultas por traumatismos. A los nueve meses de vida fue ingresado por traumatismo craneoencefálico tras una caída desde la cama cuatro días previos a consultar. Fue diagnosticado de fractura parietal izquierda y hematoma subdural. A los 14 meses consultó por herida con pérdida de sustancia en tercer dedo de mano izquierda; la madre no supo precisar el mecanismo ni tiempo de evolución. A los seis años acudió por herida inciso-contusa en cuero cabelludo, que precisó colocación de tres grapas.
En la anterior revisión de los seis años constaba AV con optotipo Wecker tipo adulto de 2/3 en ojo izquierdo (OI) con AV normal en ojo derecho (OD); no acudió al control posterior. En la exploración de la AV con el mismo optotipo se detectó, en esta ocasión, AV 1/10 en OI y AV normal en OD. Resto normal.
Se realizó interconsulta al servicio de Oftalmología, siendo diagnosticando de desprendimiento de retina crónico macula off (Fig. 1) secundario a desgarro retiniano gigante en región temporal inferior de OI. Se realizó vitrectomía, cerclaje escleral y aplicación de endoláser y aceite de silicona como endotamponador.
| Figura 1. Desprendimiento crónico de retina secundario a desgarro retiniano gigante en la región temporal inferior del ojo izquierdo |
|---|
![]() |

Dos meses después de la primera intervención, aun presentaba AV 1/10 en OI, apreciando catarata subcapsular en polo anterior y retina reaplicada en polo posterior. Se decidió nueva intervención para retirada de silicona y facoemulsificación e implante de lente intraocular en cápsula posterior.
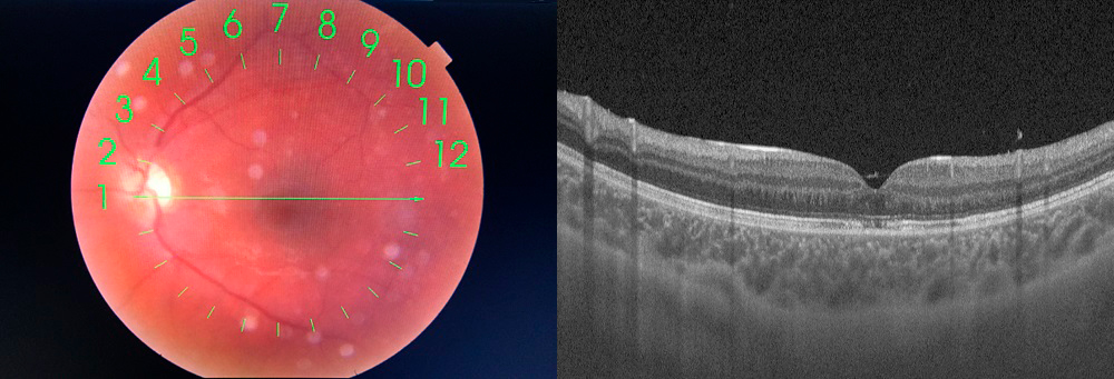
Seis meses después de la segunda intervención, persiste AV 1/10 en OI, manteniendo la lente intraocular implantada y la retina reaplicada en polo posterior (Fig. 2). No se encontraron lesiones destacables en el ojo contralateral.
La valoración de la AV se realiza en niños a partir de los tres años con optotipos adaptados; la AV corresponderá a la línea en la que el paciente pueda leer correctamente más de la mitad de las letras o símbolos. Los optotipos no estandarizados, como el de Wecker siguen siendo muy empleados en nuestro medio3. En nuestro caso, se empleó dicho optotipo. Si bien este optotipo permite identificar defectos de la AV, no es el óptimo, por lo que creemos importante dotar a las consultas de Atención Primaria de optotipos más precisos.
Un causa posible e infrecuente de disminución de la AV en Pediatría es el desprendimiento de retina. El subtipo más común es el desprendimiento regmatógeno, seguido del traccional y el exudativo. La principal causa del desprendimiento regmatógeno son los traumatismos oculares y menos frecuentemente puede ser causado por miopía, anomalías congénitas del desarrollo y cirugía intraocular previa; sin embargo, también hay casos de presentación idiopática1. A pesar de que las lesiones típicas por maltrato son las hemorragias retinianas, existen casos descritos de desprendimientos de retina secundarios a lesiones no accidentales4.
En un estudio de pacientes pediátricos con desprendimiento de retina secundario a traumatismo sometidos a vitrectomía, se vio que dichos desprendimientos predominan en varones, con una relación 4,7:1 y la edad media de los pacientes es de 9 ± 4 años5. Nuestro paciente no recordaba antecedente traumático previo, pero dados los antecedentes personales y la situación familiar no es descartable como factor causal. Se debe explorar el ojo contralateral, ya que puede presentar también hallazgos patológicos.
Es menos frecuente que los niños refieran síntomas en comparación con los adultos, sobre todo menores de seis años, lo cual hace importante la valoración de la AV en las revisiones de Pediatría. El diagnóstico tardío puede condicionar el pronóstico de estos pacientes1.
Se recomienda vitrectomía y cerclaje escleral por la alta tasa de recidivas secundarias a la proliferación vitreorretiniana en este tipo de pacientes. Se debe tener en cuenta que el éxito anatómico de la cirugía no implica un éxito funcional5.
AV: agudeza visual · OD: ojo derecho · OI: ojo izquierdo.
Los autores declaran no presentar conflictos de intereses en relación con la preparación y publicación de este artículo.