Vol. 24 - Num. 31

Casos clínicos. Salud mental

Silla turca vacía: ¿su hallazgo siempre justifica la clínica?

Blanca Llorente Sanza, Elena García Barberob, Silvia Rodríguez del Rosariob, Carmen Goez Sanzb, Beatriz Rodríguez Lozanoc, Pilar Storch de Graciad

aMIR-Pediatría. Hospital Clínico Universitario de Valladolid. Valladolid. España .
bMIR-Pediatría. Hospital Clínico Universitario de Valladolid. Valladolid. España.
cMIR Pediatría. Hospital Universitario Infantil Niño Jesús. Madrid. España.
dServicio de Urgencias de Pediatría. Hospital Universitario Infantil Niño Jesús. Madrid. España.

Cómo citar este artículo: Llorente Sanz B, García Barbero E, Rodríguez del Rosario S, Goez Sanz C, Rodríguez Lozano B, Storch de Gracia P. Silla turca vacía: ¿su hallazgo siempre justifica la clínica? Rev Pediatr Aten Primaria. Supl. 2022;(31): [en prensa].

Publicado en Internet: 30-11--0001 - Número de visitas: 12400

INTRODUCCIÓN

Se denomina silla turca vacía a la entidad radiológica consistente en una herniación del espacio subaracnoideo dentro de esta estructura ósea, provocando con ello la compresión de la hipófisis contra el suelo selar.

Presenta una clínica muy variable, desde hallazgo casual hasta hipertensión intracraneal grave, siendo la cefalea el síntoma más frecuente. Entre otros síntomas destacan el zumbido pulsátil, las alteraciones visuales o mentales como distimia o ansiedad.

CASO CLÍNICO

Paciente de 16 años que acude a urgencias por cefalea de meses de evolución con empeoramiento tras la infección por SARS-CoV-2 hace 3 meses. Cefalea holocraneal opresiva, de intensidad 8/10, que cede parcialmente con analgesia. No asocia síntomas de alarma. Asimismo, refiere desde hace 1 año episodios intermitentes de diarrea sin productos patológicos. Valorado por dicho motivo en una clínica privada, es diagnosticado de hiperestrogenismo y distimia, por lo que inicia los 3 días previos tratamiento con tamoxifeno y sertralina.

La exploración física y neurológica completa es normal, a excepción de anisocoria pupilar: pupila derecha midriática, con reactividad lenta a la luz. Pupila derecha normal, reactiva. No defecto pupilar aferente relativo. Niega alteraciones visuales.

Ante alteración de exploración se realiza TC craneal, que descarta lesiones intracraneales, pero objetiva silla turca aparentemente vacía. Se realiza fondo de ojo por Neurocirugía: dudosa tortuosidad vascular derecha y posible borramiento del borde temporal. Por ello, recomiendan descartar pseudotumor cerebral.

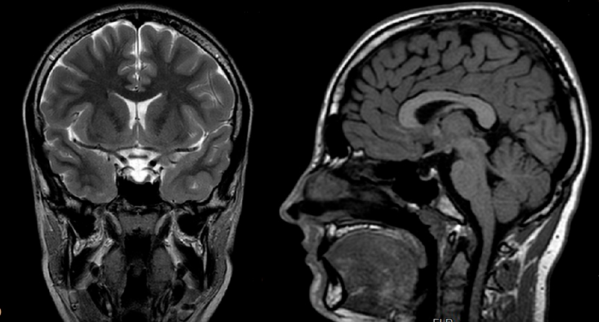
Es valorado por Oftalmología, descartando edema de papila. Se solicita estudio hormonal hipofisario, normal y resonancia magnética cerebral que informa de hipófisis aplanada (Fig. 1). Se realiza punción lumbar, con presión de apertura de 14 cmH2O y salida de líquido cefalorraquídeo lenta. Análisis y cultivo del líquido normal.

Figura 1. RM cerebral. Corte coronal y sagital.
Figura 1. RM cerebral. Corte coronal y sagital.

Presenta mejoría de la cefalea, persistiendo anisocoria sin otros signos de alarma. Finalmente, es dado de alta con los diagnósticos de silla turca vacía y diarrea de naturaleza funcional. Se decide realizar seguimiento por Digestivo y Psicología Infantil.

CONCLUSIÓN

La silla turca es una patología infrecuentre en pediatría (incidencia recogida en la bibliografía de 1 al 11%). Ante su diagnóstico, se debe hacer una valoración neurológica, oftalmológica y endocrinológica completa ya que los últimos estudios demuestran que un porcentaje importante de pacientes presentan alteraciones de la función hipofisiaria, destacando hipopituitarismo hasta en el 50% de los pacientes e hiperprolactinemia en el 10%. El tratamiento depende fundamentalmente de la clínica y la repercusión orgánica: hormonal en los déficits susceptibles de tratamiento, médico o neuroquirúrgico en casos de HTIC o simplemente sintomático.

CONFLICTO DE INTERESES

Las autoras declaran no presentar conflictos de intereses en relación con la preparación y publicación de este artículo.

ABREVIATURAS

HTIC: síndrome de hipertensión intracraneal · RM: resonancia magnética · TC: tomografía computarizada.