Vol. 24 - Num. 94
Notas clínicas
Irene Garrido Márqueza, Álvaro Moyano Portilloa, Elena Moya Sáncheza
aServicio de Radiodiagnóstico. Hospital Universitario Clínico San Cecilio. Granada. España.
Correspondencia: I Garrido . Correo electrónico: igamar26@gmail.com
Cómo citar este artículo: Garrido Márquez I, Moyano Portillo A, Moya Sánchez E. Trombosis venosa portal como manifestación de una mutación del Factor XII. Rev Pediatr Aten Primaria. 2022;24:e217-e219.
Publicado en Internet: 19-05-2022 - Número de visitas: 10544
Resumen
La trombosis venosa abdominal es una forma poco común de enfermedad tromboembólica venosa en niños. Si bien las tasas de mortalidad son bajas, una proporción significativa de niños afectados pueden sufrir morbilidad a largo plazo. Entre sus etiologías, se sabe que existe asociación con trastornos protrombóticos, siendo poco frecuente la ausencia del factor XII. El tratamiento incluye anticoagulación y la resección quirúrgica de los órganos isquémicos con potencial trasplante posterior.
Palabras clave
● Enfermedad tromboembólica venosa ● Factor XII ● Isquemia ● Trombosis venosa abdominalLa trombosis venosa abdominal es una forma rara de enfermedad tromboembólica venosa en niños. Si bien las tasas de mortalidad son bajas, una proporción significativa de niños sufren morbilidad a largo plazo1.
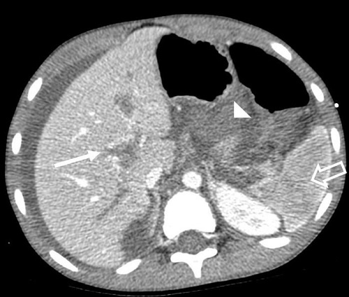
Se presenta el caso de un niño de 8 años sin antecedentes personales que acude a Urgencias con dolor abdominal de 48 horas de evolución, acompañado de vómitos y hematoquecia, siendo la analítica anodina. Tres horas después, el paciente presenta pérdida de conciencia junto a palidez intensa. Ante el cuadro clínico con persistencia del dolor abdominal, se solicitó ecografía abdominal, donde se visualizó engrosamiento de pared de las asas intestinales, ausencia de peristaltismo, hiperecogenicidad de la grasa y abundante ascitis (Fig. 1). Se identificaron arteria hepática, vena cava inferior y venas suprahepáticas permeables, no observando flujo en la vena porta, en el hilio hepático ni en las ramas intrahepáticas. Por ello, se decidió completar el estudio con tomografía computarizada (TC) con contraste intravenoso en fases arterial, portal y tardía, confirmando trombosis de vena porta con extensión a eje esplenomesentérico, infarto esplénico y ausencia de realce de asas intestinales en relación con proceso isquémico (Fig. 2).
| Figura 1. Imagen de ecografía abdominal donde se visualizan asas intestinales (flechas) con importante engrosamiento parietal, de hasta 6,6 mm. |
|---|
![]() |

| Figura 2. Imagen de TC abdominopélvica con contraste intravenoso en fase portal, corte axial, donde se identifica ausencia de repleción de la vena porta y sus ramas (flecha fina) compatible con trombosis. Además, se aprecia ausencia de realce de la práctica totalidad del parénquima esplénico, sugerente de infarto esplénico venoso (flecha hueca). Se observan asas intestinales en compartimento supramesocólico con ausencia de realce tras la administración de contraste intravenoso, sugerente de proceso isquémico de etiología venosa (cabeza de flecha). |
|---|
![]() |

Se trató con enoxaparina 30 mg/12 horas y se realizó enterectomía con posterior inclusión en lista de trasplante multiorgánico.
Posteriormente, se solicitó estudio de trombofilia ante la alta sospecha, hallando una mutación heterocigota del factor XII.
Entre las posibles etiologías de la trombosis venosa abdominal, se sabe que existe asociación con trastornos protrombóticos, siendo poco frecuente la ausencia del factor XII2. A diferencia de los adultos, los factores locales son los principales actores implicados en el desarrollo de trombosis venosa portal en niños. Sin embargo, en un estudio reciente se identificó que los trastornos hereditarios de la coagulación también son frecuentes (38% de los casos), aunque la mayoría de las veces en asociación con un factor local2.
Mientras que en neonatos esta patología es a menudo asintomática, conforme aumenta la edad es más frecuente ver casos de hipertensión portal sintomática, con hemorragia gastrointestinal y esplenomegalia1.
La ecografía doppler es la técnica de imagen más utilizada para su diagnóstico1, si bien, cuando se presenta un caso dudoso o se desea conocer la extensión de la trombosis, se realizará una TC con contraste intravenoso en fases arterial y portal.
El tratamiento incluye anticoagulación y resección quirúrgica de los órganos isquémicos, con potencial trasplante posterior (8-11%)3.
Los autores declaran no presentar conflictos de intereses en relación con la preparación y publicación de este artículo y que el manuscrito presentado no ha recibido financiación.
TC: tomografía computarizada.