Vol. 24 - Num. 94
Casos clínicos en Digestivo
Sandra Pérez Salasa, Marta García Vegaa, Sandra García Barbab, Nerea Salmón Rodríguezc, Luis Ignacio González Granadosc, Enrique Salcedo Lobatoa, Enrique Medina Beníteza
aSección de Gastroenterología, Hepatología y Nutrición Pediátrica. Servicio de Pediatría. Hospital Universitario 12 de Octubre. Madrid. España.
bServicio de Pediatría. Hospital Universitario de Fuenlabrada. Fuenlabrada. Madrid. España.
cUnidad de Inmunodeficiencias. Servicio de Pediatría. Hospital Universitario 12 de Octubre. Madrid. España.
Correspondencia: S Pérez. Correo electrónico: sandrapsra@gmail.com
Cómo citar este artículo: Pérez Salas S, García Vega M, García Barba S, Salmón Rodríguez N, González Granados LI, Salcedo Lobato E, et al. Diarrea grave en una lactante previamente sana: un reto diagnóstico. Rev Pediatr Aten Primaria. 2022;24 [en prensa].
Publicado en Internet: 02-06-2022 - Número de visitas: 15582
Resumen
Aunque la causa más frecuente de los procesos diarreicos infantiles son las infecciones, ante cuadros graves y prolongados en el tiempo en los lactantes hay que descartar causas congénitas como trastornos genéticos o inmunodeficiencias. La colitis por citomegalovirus (CMV) es una causa poco frecuente de diarrea crónica en niños inmunocompetentes. Por lo general, su curso es leve y autolimitado, por lo que debemos pensar la posibilidad de que exista una inmunodeficiencia en los casos con una evolución más grave. Se recomienda realizar un estudio endoscópico en estos pacientes, precisando tratamiento antiviral aquellos con un curso de la enfermedad más grave o en caso de confirmarse situación de inmunodepresión.
Palabras clave
● Citomegalovirus ● Diarrea crónicaSe entiende por diarrea crónica aquella que se extiende durante más de 2-4 semanas. La causa más frecuente de diarrea crónica en todas las edades son las infecciones, sobre todo por virus. Su aparición en los primeros meses de vida, especialmente en aquellos casos de difícil manejo y con importante repercusión clínica, obliga a descartar causas congénitas como las alteraciones anatómicas o aquellas asociadas a trastornos genéticos y disregulaciones inmunológicas, además de las causas adquiridas.
La colitis por citomegalovirus (CMV) es una causa poco frecuente de diarrea crónica. En pacientes inmunocompetentes, el CMV suele causar patología leve; cuando el curso de la infección es grave, se debe descartar una inmunodeficiencia subyacente.
Presentamos el caso de una lactante mujer de dos meses de vida con diarrea crónica grave, con datos de desnutrición aguda y necesidad de nutrición parenteral (NPT).
Lactante sana, sin antecedentes personales ni familiares de interés, alimentada con lactancia materna exclusiva. Ingresa a los dos meses de vida en nuestro hospital, procedente de un centro secundario, para estudio de diarrea crónica grave (ritmo intestinal: 15-20 deposiciones diarias acuosas, abundantes, en general sin productos patológicos, con algún episodio de sangrado rectal leve), desnutrición, rechazo de la ingesta oral y administración de nutrición parenteral.
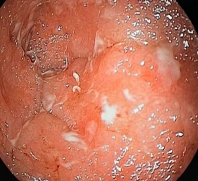
Estudio microbiológico de heces negativo (coprocultivo, virus gastrointestinales, toxina C. difficile y parásitos). Elevación progresiva de los valores de calprotectina fecal (hasta 3000 µg/g). En dicho contexto se realizó ecografía abdominal de control, sugestiva de afectación inflamatoria pancólica. Se realizó endoscopia digestiva alta (normal) y baja, con aspecto macroscópico de pancolitis erosiva (Figs. 1 y 2). Ante la posibilidad de que se tratase de una enfermedad inflamatoria intestinal de debut muy precoz se inicia tratamiento con corticoides sistémicos. Cinco días después llegan los resultados de las biopsias, donde se observan cambios propios de una infección por citomegalovirus (CMV). Se documenta también su presencia en sangre (carga vírica de 114 613 UI/ml). Ante el diagnóstico de pancolitis erosiva por CMV, se inicia tratamiento con ganciclovir. Estudio básico de inmunidad y exoma para enfermedades monogénicas asociadas a diarrea crónica negativos. Presentó una evolución clínica muy favorable con curva ponderal ascendente y mejoría de la consistencia y reducción del número de deposiciones. Se realizó la transición a la nutrición enteral, siendo esta exitosa.
La diarrea crónica es aquella en la que se produce un aumento del número de deposiciones o una disminución de su consistencia durante más de dos semanas. Para realizar un adecuado abordaje diagnóstico y terapéutico es fundamental realizar una anamnesis y exploración física completas, que incluyan edad, cronología de los síntomas, alimentación, gravedad/repercusión clínica, etc.1-4(Tabla 1).
| Tabla 1. Enfoque inicial diagnóstico de la diarrea crónica infantil | |
|---|---|
| Anamnesis | Exploración física |
|
|

Cuando la diarrea aparece en los primeros meses de vida, su etiología puede dividirse en dos grandes grupos: causas adquiridas y causas congénitas (Tabla 2)4-6. Las diarreas crónicas adquiridas son las más comunes. Aparecen por lo general después de las primeras semanas de vida. Dentro de estas, las más frecuentes son las infecciosas, especialmente las de etiología vírica. Otras causas son las secundarias a otra enfermedad (por ejemplo, por una enterocolitis necrotizante) o inducida por ciertos alimentos, como la proteína de leche de vaca. Cuando se trata de una diarrea crónica congénita, lo más frecuente es que presenten diarrea grave desde el nacimiento. En ocasiones puede haber unas primeras semanas libres de síntomas, sobre todo cuando la causa es una disregulación inmunológica7,8.
| Tabla 2. Clasificación de la diarrea crónica | ||
|---|---|---|
| Diarrea crónica adquirida | Diarrea crónica congénita | |
| Edad presentación | Después de las primeras semanas de vida |
Diarrea severa desde el nacimiento Puede aparecer después de las primeras semanas de vida, especialmente cuando la causa es por disregulación inmunológica |
| Anamnesis/sospecha clínica |
Inicio brusco con fiebre asociada Inducida por alimentos Antecedentes patológicos (por ejemplo, enterocolitis necrotizante) |
Trastornos genéticos: polihidramnios, afectación multisistémica, consanguinidad familiar Alteraciones anatómicas: enfermedad de Hirschsprung (retraso en la eliminación de meconio), malrotación intestinal, etc. |

Aunque de forma general las infecciones por virus son la causa más habitual de diarrea crónica, la colitis por citomegalovirus (CMV) es una causa poco usual de esta patología tanto en niños inmunocompententes como en inmunodeprimidos. Por lo general, en pacientes inmunocompetentes el CMV causa infecciones leves y autolimitadas, por lo que en muchos casos pasa desapercibida y no llega a diagnosticarse9,10. No se conoce la incidencia real de la colitis por CMV en la edad pediátrica, ya que los datos sobre esta patología en la literatura son escasos.
Los síntomas que aparecen en la colitis por CMV son inespecíficos, aunque los más frecuentemente descritos son dos: diarrea y hematoquecia. Otros síntomas que suelen asociarse son el dolor abdominal y los vómitos. En la analítica sanguínea pueden aparecer datos de trombocitosis o anemia. La calprotectina fecal es otro parámetro de laboratorio que indica inflamación colónica, aunque su elevación es inespecífica y además no existen valores estandarizados para la población pediátrica, especialmente en los niños más pequeños9,10.
Cuando se sospecha colitis por CMV, así como para realizar el diagnóstico diferencial con otras entidades que pueden cursar con una clínica similar, se recomienda la realización de estudio endoscópico. Aunque no existe un hallazgo endoscópico patognomónico, suele describirse la presencia de úlceras profundas, irregulares o en sacabocados. En los niños más pequeños es frecuente que no presenten úlceras en la colonoscopia. La histología típica es distorsión de criptas, infiltración inflamatoria y cuerpos de inclusión de CMV10,11.
Existe controversia en cuanto a la necesidad de administrar tratamiento antivírico con ganciclovir o valganciclovir en pacientes sanos. Como se ha comentado previamente, en estos casos la infección suele cursar de forma asintomática o con síntomas leves y la evolución más frecuente es hacia la resolución espontánea. Por tal motivo, se recomienda individualizar, reservando el tratamiento para los casos más graves, con afectación importante del estado general del paciente y evolución más tórpida o con comorbilidades. Estaría también indicado el tratamiento antiviral en aquellos pacientes que se encuentren inmunodeprimidos10,12.
Como conclusión, aunque la etiología más frecuente de las diarreas crónicas son las infecciones, hay que realizar un adecuado diagnóstico diferencial que incluya las causas congénitas, como trastornos genéticos o inmunodeficiencias, en especial cuando aparece en los primeros meses de vida. Aunque la colitis por CMV es una causa poco frecuente de diarrea crónica en niños inmunocompetentes, es necesario tenerla en cuenta para poder realizar un adecuado diagnóstico diferencial. Se debe sospechar principalmente cuando aparece una diarrea persistente con o sin sangre en las deposiciones y con el resto de las pruebas complementarias normales. Por lo general, su curso es leve y autolimitado, por lo que debemos pensar la posibilidad de que exista una inmunodeficiencia en los casos con una evolución más grave. Se recomienda realizar un estudio endoscópico en estos pacientes, precisando tratamiento antiviral aquellos con un curso de la enfermedad más grave o en caso de confirmarse situación de inmunodepresión.
Los autores declaran no presentar conflictos de intereses en relación con la preparación y publicación de este artículo.
CMV: citomegalovirus · NPT: nutrición parenteral.