Vol. 24 - Num. 94

Notas clínicas

¿Neumonía redonda o hallazgo casual?

Marta Bascuas Arribasa, Verónica Sanz Santiagoa, Pedro Viaño Nogueirab, Cristina de Manuel Gómezc, Gustavo Albi Rodríguezd, Federico Gutiérrez Larrayae, José Ramón Villa Asensia

aServicio de Neumología. Hospital Infantil Universitario Niño Jesús. Madrid. España.
bMIR-Pediatría. Hospital Infantil Universitario Niño Jesús. Madrid. España.
cServicio de Neumología. Hospital Universitario La Paz. Madrid. España.
dServicio de Radiodiagnóstico. Hospital Infantil Universitario Niño Jesús. Madrid. España.
eServicio de Cardiología. Hospital Universitario La Paz. Madrid. España.

Correspondencia: M Bascuas. Correo electrónico: marta.bascuas4@gmail.com

Cómo citar este artículo: Bascuas Arribas M, Sanz Santiago V, Viaño Nogueira P, de Manuel Gómez C, Albi Rodríguez G, Gutiérrez Larraya F, et al. ¿Neumonía redonda o hallazgo casual? Rev Pediatr Aten Primaria. 2022;24:159-62.

Publicado en Internet: 20-06-2022 - Número de visitas: 30664

Resumen

El diagnóstico diferencial de las neumonías redondas es amplio y engloba enfermedades infecciosas, neoplásicas y congénitas. La paciente que se presenta a continuación fue diagnosticada de una neumonía redonda con una clínica e imagen radiológica compatible. Sin embargo, el diagnóstico definitivo fue una malformación vascular. Este caso permite reflexionar sobre la importancia de valorar distintitos diagnósticos ante una condensación redondeada y sobre la necesidad o no de realizar una radiografía de control en estos casos. Además, lo más original del caso radica en el tratamiento que recibió para la malformación vascular, que no estaba descrito previamente: el propranolol.

Palabras clave

Malformaciones vasculares Neumonía redonda Propranolol

INTRODUCCIÓN

El término neumonía redonda hace referencia a la presencia de una densidad oval o redonda en la radiografía de tórax. Es una entidad altamente reconocida, más frecuente en la infancia que en otros grupos de edad, sobre todo en menores de 8 años, ya que las conexiones interalveolares aún no se han desarrollado por completo1. En la radiografía puede confundirse con otras patologías, como el quiste broncogénico, la tuberculosis o las malformaciones vasculares. Sin embargo, cuando se presenta con la clínica y la imagen radiológica habitual, el diagnóstico erróneo es infrecuente (2%)2.

El motivo por el que se presenta este caso es porque permite realizar un amplio diagnóstico diferencial de las neumonías redondas y, con ello, recalcar la importancia de plantearse otras patologías ante la presencia de una lesión pulmonar redondeada. Además, en este caso se pudo llegar al diagnóstico definitivo gracias a la radiografía de control. Sin embargo, en la literatura existe controversia sobre la necesidad de realizar una prueba de imagen en las neumonías redondas para comprobar su desaparición.

Por otra parte, también es de interés la posible respuesta al tratamiento con propranolol oral. Aunque existe una clara coincidencia temporal entre el propranolol y la resolución de la malformación vascular, es necesario su uso en más casos para poder concluir que fuese el responsable de la desaparición de la malformación.

CASO CLÍNICO

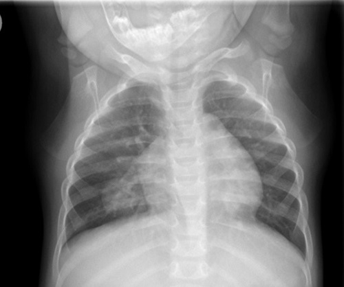
Presentamos el caso de una niña de 17 meses de nacionalidad española en seguimiento por neumonía redonda de evolución tórpida. Como antecedentes de interés, presenta una comunicación interauricular tipo ostium secundum sin repercusión hemodinámica y una bronquiolitis aguda leve a los 7 meses de vida. Posteriormente, no vuelve a tener problemas respiratorios hasta los 13 meses, que es diagnosticada de neumonía redonda en el lóbulo inferior derecho (LID) (Fig. 1), a raíz de un cuadro de fiebre y tos de 5 días de evolución. Desaparece la sintomatología con antibioterapia habitual. Se realiza una radiografía de tórax de control en la que persiste la misma imagen, sin cambios en su tamaño o morfología. Los padres refieren que nunca ha tenido episodios de cianosis, ni hemoptisis, ni síndrome constitucional. En la exploración física no tiene hallazgos relevantes con una auscultación pulmonar normal.

Figura 1. Principales imágenes radiológicas del caso: radiografía de tórax inicial
Figura 1. Principales imágenes radiológicas del caso: radiografía de tórax inicial

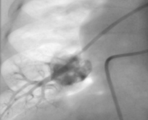
Ante la evolución tórpida de la imagen radiológica, se solicitó tomografía computarizada (TC) de tórax con contraste (Fig. 2) y angioTC, en el que se objetiva lesión en LID compatible con malformación vascular. Ante esta sospecha, se decide realizar angiografía (Fig. 3), donde se confirma el diagnóstico de malformación venosa pulmonar, no subsidiara de tratamiento intervencionista. Por este motivo, se decide iniciar tratamiento empírico con propanolol a 2 mg/kg/día. A los 6 meses se solicita TC de control, en el que se observa importante reducción de la malformación venosa. Al finalizar el tratamiento se realizó nuevo TC de tórax, en el que se objetiva la desaparición de la lesión focal de tipo vascular del LID.

Figura 2. Principales imágenes radiológicas del caso: TC pulmonar inicial
Figura 2. Principales imágenes radiológicas del caso: TC pulmonar inicial
Figura 3. Principales imágenes radiológicas del caso: fluoroscopia al diagnóstico
Figura 3. Principales imágenes radiológicas del caso: fluoroscopia al diagnóstico

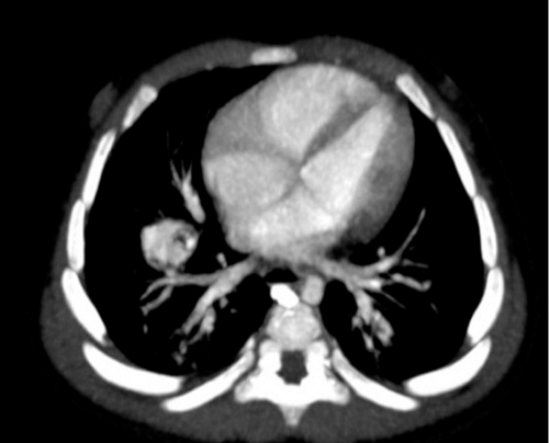
Al año de finalizar el tratamiento con propanolol se realizó nuevo TC torácico, en el que se aprecian, en la zona donde la paciente presentaba la malformación vascular, pequeñas imágenes de paredes finas que en su conjunto miden 8 x 10 mm, de aspecto residual (Fig. 4).

Figura 4. Principales imágenes radiológicas del caso: TC pulmonar de control
Figura 4. Principales imágenes radiológicas del caso: TC pulmonar de control

DISCUSIÓN

El agente causal más frecuente de las neumonías redondas es el Streptococcus pneumoniae. La clínica habitual en niños es indistinguible de otras formas de presentación de una neumonía. En cuanto a los hallazgos radiológicos, en la mayoría de los casos se observa una lesión solitaria con predilección por el segmento posterior del lóbulo inferior que puede contactar con el hilio, la pleura o las cisuras. Suelen ser lesiones homogéneas y mayores de 3 cm. En un paciente menor de 8 años con síntomas y signos de neumonía y con una lesión esférica típica, el diagnóstico inicial es de neumonía redonda, como ocurrió con nuestra paciente. El diagnóstico diferencial de las neumonías redondas es amplio y engloba enfermedades infecciosas, neoplásicas y congénitas2.

En cuanto al seguimiento de las neumonías redondas, existe controversia sobre la necesidad de realizar una prueba de imagen de control. La revisión de McCrossan et al.3 de 2017, que incluye un total de seis trabajos (un estudio de casos y controles, dos series de casos y tres casos únicos), pone de manifiesto que en todos los pacientes asintomáticos con radiografía de tórax de control la neumonía había desparecido. Solo hubo dos casos en los que la neumonía progresó a consolidación lobar, pero los pacientes persistían sintomáticos. Otro punto importante es que no se produjo ningún diagnóstico erróneo de neumonía redonda. Finalmente, McCrossan et al. concluye que no existe una evidencia clara de cómo debe ser el seguimiento, pero que en pacientes que responden adecuadamente al tratamiento no sería necesario realizar una prueba de imagen de control, con un grado de evidencia C. Por otra parte, trabajos más centrados en el diagnóstico diferencial recomiendan solicitar radiografía de control a las 8 semanas1,4. Además, las últimas guías británicas y americanas mantienen la recomendación de realizar radiografía de control5. Sin embargo, nuestro caso habría quedado sin diagnóstico si hubiéramos seguidos las recomendaciones de McCrossan et al. Lo que sí está indicado, con un alto nivel de evidencia, es solicitar un TC de tórax cuando la opacidad inicial no ha desaparecido, ya que con esta prueba se podrán diagnosticar la mayoría de las patologías que entran dentro del diagnóstico diferencial, como el quiste broncogénico o las malformaciones vasculares6.

Las malformaciones vasculares pueden ser asintomáticas y, por tanto, un hallazgo incidental, como en nuestro caso. En otros casos, se presentan con tos crónica, hemoptisis, cianosis o epistaxis. En la radiografía de tórax lo más frecuentes es encontrar un nódulo periférico bien definido, no calcificado y unido a estructuras hiliares. En nuestro caso, la imagen es compatible con malformación vascular, siendo un nódulo bien definido y periférico. Para confirmar el diagnóstico es necesario completar el estudio con TC, RM, angioTC o angiografía.

Las malformaciones vasculares son lesiones benignas debidas a anomalías del desarrollo embriológico, 2/3 de estas lesiones son de predominio venoso. Está descrito que los pacientes con malformaciones venosas extensas pueden presentar afectación sistémica como alteraciones óseas o cerebrales, pero no pulmonares. En general, el tratamiento de elección de las malformaciones vasculares pulmonares es la embolización y no el tratamiento médico7,8. Por otra parte, en los hemagiomas, que son los tumores vasculares más frecuentes, la eficacia del propranolol está demostrada en cualquier localización corporal9, incluida la vía aérea (hemangioma subglótico). Sin embargo, las malformaciones venosas pulmonares son menos conocidas y frecuentes que las arteriales. Probablemente por este motivo, en la literatura no hay datos sobre su historia natural, su tratamiento o su asociación a otras malformaciones vasculares. El uso del propranolol no está descrito en pacientes con malformaciones vasculares pulmonares, ni venosas, ni arteriales. Por ello, la novedad en este caso fue la posible respuesta favorable al propranolol. Aunque al no conocer la historia natural de estas lesiones, no se puede asegurar que su resolución se debiera al tratamiento con propranolol o a una resolución espontánea, pero si debiera hacer pensar en su posible uso en este tipo de patologías en futuros casos.

CONFLICTO DE INTERESES

Los autores declaran no presentar conflictos de intereses en relación con la preparación y publicación de este artículo.

ABREVIATURAS

LID: lóbulo inferior derecho · RM: resonancia magnética · TC: tomografía computarizada.

BIBLIOGRAFÍA

  1. Kim YW, Donnelly LF. Round pneumonia: imaging findings in a large series of children. Pediatr Radiol. 2007;37:1235-40.
  2. Restrepo R, Palani R, Matapathi UM, Wu YY. Imaging of round pneumonia and mimics in children. Pediatr Radiol. 2010;40:1931-40.
  3. McCrossan P, McNaughten B, Shields M, Thompson A. Is follow up chest X-ray required in children with round pneumonia? Arch Dis Child. 2017;102:1182-3.
  4. Bentur H, Harave S. The value of repeat chest radiograph in a child with pneumonia. Arch Dis Child. 2012;97:a10-11.
  5. Harris M, Clark J, Coote N. British Thoracic Society guidelines for the management of community acquired pneumonia in children: update 2011. Thorax. 2011;66:ii1-23.
  6. Fretzayas A, Moustaki M, Alexopoulou E, Liapi O, Nicolaidou P, Priftis KN. Observations in febrile children with round air space opacities. Pediatr Int. 2010;52:444-6.
  7. Nacaroğlu HT, Ünsal-Karkıner CŞ, Bahçeci-Erdem S. Pulmonary vascular anomalies: a review of clinical and radiological findings of cases presenting with different complaints in childhood. Turk J Pediatr. 2016;58:337-42.
  8. De Gregorio MÁ, Maynar M, D'Agostino H, Medrano J, Higuera T, Laborda A. Malformaciones arteriovenosas pulmonares diagnóstico y tratamiento endovascular. Intervencionismo. 2007;9:68-76.
  9. Baselga Torres E, Bernabéu Wittel J, van Esso Arbolave DL. Consenso español sobre el hemangioma infantil. An Pediatr (Barc). 2016;85:256-65.