Vol. 24 - Num. 96

Casos clínicos en Digestivo

¿Sin salida?

Celia Bueno Suáreza, Concepción Hermoso Ibáñeza, Enrique Salcedo Lobatob, Iván Carabaño Aguadob, María Pont Vilaltac, Enrique Medina Benítezb

aServicio de Pediatría. Hospital Universitario 12 de Octubre. Madrid. España.
bSección de Gastroenterología, Hepatología y Nutrición Pediátrica. Servicio de Pediatría. Hospital Universitario 12 de Octubre. Madrid. España.
cSección de Radiodiagnóstico Infantil. Servicio de Radiología. Hospital Universitario 12 de Octubre. Madrid. España.

Correspondencia: C Bueno . Correo electrónico: cbuenos@salud.madrid.org

Cómo citar este artículo: Bueno Suárez C, Hermoso Ibáñez C, Salcedo Lobato E, Carabaño Aguado I, Pont Vilalta M, Medina Benítez E. ¿Sin salida? . Rev Pediatr Aten Primaria. 2022;24:421-4.

Publicado en Internet: 22-12-2022 - Número de visitas: 9105

Resumen

El síndrome de obstrucción intestinal distal (SOID) es una complicación digestiva propia de los pacientes con fibrosis quística. Se caracteriza por la acumulación de materia fecal viscosa y secreciones espesas. Afecta a íleon distal, ciego o colon ascendente. Puede derivar en la aparición de obstrucción intestinal total o parcial. Para su tratamiento, se aconseja administrar polietilenglicol oral o a través de una sonda nasogástrica. La cirugía se reserva para los casos refractarios.

Palabras clave

Fibrosis quística Obstrucción intestinal

INTRODUCCIÓN

Las complicaciones gastrointestinales de la fibrosis quística (FQ) son cada vez más prevalentes, debido al aumento de la esperanza de vida. El síndrome de obstrucción intestinal distal (SOID) es una de estas complicaciones. Se caracteriza por la acumulación de materia fecal viscosa y secreciones espesas, hecho que imposibilita la salida de contenido intestinal. Puede derivar en la aparición de obstrucción intestinal parcial o total en íleon distal, ciego o colon ascendente. Se expone un caso de SOID en un adolescente de 16 años.

CASO CLÍNICO

Adolescente de 16 años, diagnosticado de FQ (homocigoto para la mutación ∆F508), con insuficiencia pancreática exocrina y antecedentes neonatales de íleo meconial. Había comenzado recientemente tratamiento con ivacaftor, tezacaftor y elexacaftor. Acude a urgencias por dolor abdominal de inicio súbito y vómitos alimentarios. A la exploración física, destaca la palpación de un hipogastrio doloroso, con dudosos signos de irritación peritoneal. Desde el punto de vista analítico, tiene un hemograma inespecífico (leucocitosis y neutrofilia reactivos), sin elevación de reactantes de fase aguda. Amilasa normal.

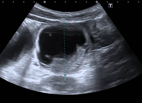
Durante su estancia en urgencias realiza varios vómitos biliosos, que muestran refractariedad a la administración de ondansetrón IV. Además, progresa en intensidad el dolor abdominal y sigue sin emitir heces. Se solicita radiografía de abdomen, donde se observan asas de intestino delgado dilatadas en mesogastrio e hipocondrio izquierdo con material fecal en colon ascendente y presencia de gas distal, imagen sugerente de obstrucción de intestino delgado (Fig. 1). Se realiza ecografía abdominal, donde se confirma cuadro oclusivo/suboclusivo de intestino delgado y se documenta la presencia de contenido mucofecal en íleon distal-terminal (Fig. 2).

Figura 1. Fibrosis quística y síndrome de obstrucción intestinal distal. Asas de intestino delgado dilatadas en mesogastrio e hipocondrio izquierdo, con formación de niveles hidroaéreos
Figura 1. Fibrosis quística y síndrome de obstrucción intestinal distal. Asas de intestino delgado dilatadas en mesogastrio e hipocondrio izquierdo, con formación de niveles hidroaéreos.
 
Figura 2. Fibrosis quística y síndrome de obstrucción intestinal distal. Detalle de un asa dilatada de intestino delgado (5 cm), con contenido denso en su parte inferior
Figura 2. Fibrosis quística y síndrome de obstrucción intestinal distal. Detalle de un asa dilatada de intestino delgado (5 cm), con contenido denso en su parte inferior.
 

Con el diagnóstico de presunción de SOID se inicia tratamiento desimpactante con polietilenglicol diluido, administrado por sonda nasogástrica (SNG), asociado a enemas de N-acetilcisteína. De forma paralela, se deja al paciente a dieta absoluta, con sueroterapia intravenosa. A las 48 horas del ingreso realiza la primera deposición espontánea, con mejoría franca del dolor abdominal, consiguiendo retirar analgesia. Tras comprobar tolerancia de líquidos, se retira la SNG y se reinicia alimentación sin restricciones.

Tras la resolución aguda del cuadro, fue dado de alta a domicilio siguiendo pauta de mantenimiento con polietilenglicol.

DISCUSIÓN

El SOID, también llamado como “equivalente del íleo meconial”, es un diagnóstico exclusivo de pacientes con FQ. Se caracteriza por la obstrucción del íleon distal o del colon ascendente, causada por materia fecal espesa, más allá del periodo neonatal. Según la ESPGHAN, la incidencia de SIOD en pacientes pediátricos con FQ es de 6,2 episodios por 1000 pacientes/año1.

Desde el punto de vista fisiopatológico, la fibrosis quística se origina por mutaciones en el gen regulador del canal transmembrana CFTR (localizado en el cromosoma 7q31), que provoca alteraciones en el transporte del cloro. A nivel intestinal, se disminuye la secreción de agua y cloro a la luz intestinal. Este hecho predispone a la obstrucción intestinal2. Circunstancias adicionales que pueden predisponer a la obstrucción del intestino delgado son: pérdida de la secreción intestinal distal desencadenada por las sales biliares, disfunción muscular entérica, hipertrofia muscular y malabsorción de grasas3.

En relación con el caso clínico expuesto, el paciente presenta varios de los factores de riesgo descritos en la bibliografía, como la gravedad del genotipo, antecedentes de íleo meconial, deshidratación, insuficiencia pancreática e intolerancia a la glucosa. Otros factores de riesgo para el desarrollo de SOID son: infección intercurrente, exacerbación pulmonar, colonización por Pseudomonas aeruginosa, historia previa de otro episodio de SOID y antecedente de trasplante de órgano2-4.

Clínicamente, el SOID puede cursar como una obstrucción intestinal incompleta o completa. Se caracteriza por dolor en hipogastrio derecho, distensión abdominal, presencia de masa abdominal palpable en fosa ilíaca derecha, vómitos biliosos y niveles hidroaéreos en intestino delgado5.

El diagnóstico se debe basar fundamentalmente en la historia clínica y en la exploración abdominal5. La radiografía abdominal simple es la prueba complementaria más útil, debido a que si se realiza en bipedestación se pueden apreciar niveles hidroaéreos. Otros hallazgos radiológicos sugerentes de SIOD: materia fecal abundante en el colon, especialmente en la fosa ilíaca derecha, y dilatación de asas de intestino delgado. A veces se identifica el signo de Neuhauser, originalmente descrito para el íleo meconial (imagen “en pompa de jabón”)2.

La ESPGHAN definió criterios para diagnosticar SOID y estreñimiento en pacientes con FQ1. Otros diagnósticos diferenciales son: obstrucción por adherencias si el paciente tiene antecedentes personales de intervención quirúrgica (principalmente laparotomía en la infancia por íleo meconial), apendicitis, invaginación, enfermedad intestinal inflamatoria y colonopatía fibrosante (complicación de la fibrosis quística del páncreas causado por la toma de suplementos enzimáticos pancreáticos a altas dosis durante un periodo largo de tiempo)6.

El tratamiento del SOID consiste en rehidratación y administración de laxantes osmóticos como polietilenglicol (PEG), por vía oral o por SNG, para lograr la salida del material viscoso y conseguir la remisión de la distensión y dolor abdominal. El PEG puede administrarse a 2 g/kg/día (máximo de 80-100 g/día) o en solución ya preparada en dosis única de 20-40 ml/kg/h hasta un máximo de 1 litro por hora durante 8 horas3. En pacientes con SOID completo grave se recomienda iniciar rehidratación intravenosa y aspiración a través de SNG previo al inicio del tratamiento laxante. En ocasiones, es útil el diatrizoato en enema (100 ml diluidos en cuatro partes de agua) bajo visión directa con presión hidrostática hasta alcanzar íleon terminal. Sin embargo, dado que el uso del diatrizoato puede provocar complicaciones graves, como perforación o shock, debe realizarse siempre por un radiólogo experimentado3.

El tratamiento médico precoz y agresivo puede evitar la cirugía. En caso de pacientes con SOID completo que no responden al tratamiento conservador, se prefiere la laparotomía con lavado mediante enterostomía como alternativa quirúrgica frente a la resección ileocecal3,7.

Se recomienda tratamiento laxante de mantenimiento, evitar la deshidratación y reajustar las dosis de enzimas pancreáticas para evitar la recurrencia en estos pacientes3.

A modo de conclusión, destacaremos que se debe sospechar un SOID ante un paciente con FQ que acude por dolor abdominal, vómitos, abdomen distendido y ausencia de evacuación. El diagnóstico de sospecha se confirmará tras documentar signos radiológicos de obstrucción intestinal. Afortunadamente, se trata de un camino con salida.

CONFLICTO DE INTERESES

Los autores declaran la ausencia de conflicto de intereses en la redacción del presente artículo. La familia del paciente autoriza la divulgación del presente caso clínico.

BIBLIOGRAFÍA

  1. Houwen RH, van der Doef HP, Sermet I, Munck A, Hauser B, Walkowiak J, et al. Defining DIOS and Constipation in Cystic Fibrosis With a Multicentre Study on the Incidence, Characteristics, and Treatment of DIOS. J Pediatr Gastroenterol Nutr. 2010;50:38-42.
  2. Gómez Ruiz A, Santos Jasso KA, Asz Sigall J. Síndrome de obstrucción intestinal distal como manifestación inusual de fibrosis quística. Acta Pediatr Mex. 2013;34:59-64.
  3. Colombo C, Ellemunter H, Houwen R, Munck A, Taylor C, Wils chanski M. Guidelines for the diagnosis and management of distal intestinal obstruction syndrome in cystic fibrosis patients. J Cyst Fibros. 2011;10:S24-8.
  4. Sandy NS, Massabki l, Gonçalves A, Ribeiro A, Ribeiro J, Servidoni MF, et al. Distal intestinal obstruction syndrome: a diagnostic and therapeutic challenge in cystic fibrosis. J Pediatr (Rio J). 2020;96:732-40.
  5. Clinical guidelines for the care of children with cystic fibrosis. En: Royal Brompton Hospital. NHS Foundation. 8.ª Ed. 2020 [en línea] [consultado el 25/11/2022]. Disponible en www.rbht.nhs.uk/childrencf
  6. Tobias J, Tillotson M, Maloney l, Fialkowski E. Meconium Ileus, Distal Intestinal Obstruction Syndrome, and Other Gastrointestinal Pathology in the Cystic Fibrosis Patient. Surg Clin N Am. 2022;102: 873-82.
  7. Gilchrist FJ, Green J, Carroll W. Interventions for treating distal intestinal obstruction syndrome (DIOS) in cystic fibrosis. Cochrane Database Syst Rev. 2018 Aug; 2018(8): CD012798.