Vol. 25 - Num. 32

Casos clínicos. Ortopedia y Traumatología

Importancia de “CRITOE” para evitar diagnósticos tardíos de fracturas de codo

Lucía Tainta Leóna, Cristina Valenzuela Sáncheza, Yaiza Parra Mansoa, Francisco Solano Marqués Gómezb, Jesús Manuel Méndez Sánchezc, Jorge Ruiz Sanzd

aMIR-Pediatría. Hospital Universitario Reina Sofía. Córdoba. España.
bMIR-Cirugía Ortopédica y Traumatología. Hospital Universitario Reina Sofía . Córdoba. España.
cCirugía Ortopédica y Traumatología. Hospital de Montilla. Córdoba. España.
dCirugía Ortopédica y Traumatología. Hospital Universitario Reina Sofía. Córdoba. España.

Cómo citar este artículo: Tainta León L, Valenzuela Sánchez C, Parra Manso Y, Solano Marqués Gómez F, Méndez Sánchez JM, Ruiz Sanz J. Importancia de “CRITOE” para evitar diagnósticos tardíos de fracturas de codo . Rev Pediatr Aten Primaria. 2023;(32):e253-e254.

Publicado en Internet: 31-03-2023 - Número de visitas: 17575

INTRODUCCIÓN

El codo presenta una compleja valoración radiológica debido a los numerosos núcleos de osificación que aparecen durante el crecimiento. Es importante conocerlos junto con su secuencia de aparición. Para ello puede ser útil la regla mnemotécnica formada por el acrónimo “CRITOE”:

C: capitellum: 6 meses-2 años

R: cabeza del radio: 2-4 años

I: epicóndilo interno: 4-7 años

T: tróclea humeral: 7-9 años

O: olécranon: 8-10 años

E: epicóndilo externo: 10-12 años

RESUMEN DEL CASO

Se presentan tres casos de fractura de codo cuyo diagnóstico tardío podría haberse evitado con el uso de “CRITOE”:

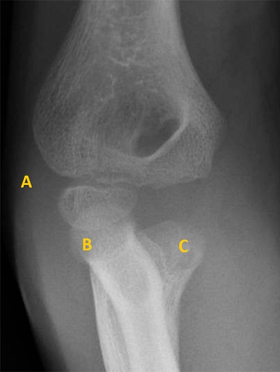
  1. Paciente de 8 años con dolor en codo derecho tras caída. Tumefacción, dolor y limitación a la movilidad de este. En la radiografía solicitada (Figura 1) no se objetivan hallazgos de fractura. Se diagnostica a los 11 días de fractura-avulsión de epitróclea.
    Figura 1. Fractura-avulón de epitróclea
    A: capitellum; B: cabeza de radio; C: epitrócela avulsionada.

    En la radiografía se identifican capitellum y cabeza del radio. Sin embargo, no se ve el núcleo de la epitróclea que le correspondería por edad. En la cabeza de cúbito se encuentra una imagen hiperdensa que no corresponde con ningún núcleo de osificación: el núcleo de la epitróclea avulsionado.

  1. Paciente de 7 años con dolor en codo derecho tras caída. Presenta dolor y limitación a la flexo-extensión. Se realiza radiografía (Figura 2) que se informa como normal, diagnosticándose de fractura de epitróclea a los 3 días.
    Figura 2. Fractura de epitróclea
    A: capitellum; B: cabeza de radio; C: epitrócela avulsionada.

    La radiografía muestra capitellum y cabeza del radio. No se identifica el núcleo de la epitróclea que le correspondería tener por edad. Además, próxima a la cabeza de cúbito se encuentra una imagen hiperdensa redondeada: se trata del núcleo de la epitróclea avulsionado.

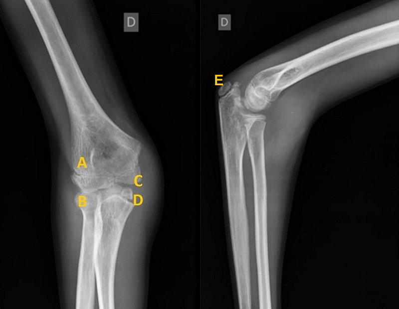
  1. Paciente de 9 años que presenta dolor del codo derecho tras caída. Presenta tumefacción y dolor a la movilidad. En la radiografía (Figura 3) no se encuentran líneas de fractura. Se diagnostica a los 5 días de fractura de epitróclea.
    Figura 3. Fractura de epitróclea
    A: capitellum; B: cabeza de radio; C: tróclea; D: epitrócela avulsionada; E: olécranon.

    En la radiografía se encuentran el capitellum y cabeza del radio, pero no se identifica la epitróclea y sí que se visualizan núcleos que aparecen posteriormente, como la tróclea y olécranon, de manera que hay que buscar la epitróclea: se encuentra avulsionada en la cabeza del cúbito.

CONCLUSIONES

Estas fracturas pueden pasar desapercibidas. El pediatra de Atención Primaria debe saber diagnosticarlas. Para ello la norma “CRITOE” puede ayudar al diagnóstico precoz.

CONFLICTO DE INTERESES

Los autores declaran no presentar conflictos de intereses en relación con la preparación y publicación de este artículo.