Vol. 25 - Num. 32

Casos clínicos. Neumología

Dificultad respiratoria en roncador habitual: ¿debemos asociarlo siempre con síndrome de apnea hipopnea del sueño (SAHS)?

Leticia González Santamaríaa, Ana Hercberg Morenoa, Celia Alcántara Reya, Inmaculada Concepción Vázquez Canob, Paloma Gutiérrez Medinab, Piedad Sánchez-Gil Romeroa

aMIR-Pediatría. Hospital Universitario de Getafe. Getafe. Madrid. España.
bPediatra. CS Juan de la Cierva. Madrid. España.

Cómo citar este artículo: González Santamaría L, Hercberg Moreno A, Alcántara Rey C, Vázquez Cano IC, Gutiérrez Medina P, Sánchez-Gil Romero P. Dificultad respiratoria en roncador habitual: ¿debemos asociarlo siempre con síndrome de apnea hipopnea del sueño (SAHS)? . Rev Pediatr Aten Primaria. 2023;(32):e233-e234.

Publicado en Internet: 31-03-2023 - Número de visitas: 4590

INTRODUCCIÓN

Los linfomas no Hodgkin son un grupo heterogéneo de tumores poco frecuentes, pero con un alto grado de malignidad en niños. Esta neoplasia representa el 8-10% de todas las neoplasias en niños entre 5 y 19 años. Suelen aparecer entre los 5 y 15 años. La supervivencia depende en gran medida del diagnóstico precoz, lo cual puede ser complicado por la manifestación con síntomas y signos inespecíficos.

El linfoma linfoblástico representa el 30% de los linfomas no Hodgkin. Se suele presentar como una masa intratorácica que ocasiona síntomas de compresión de la vía respiratoria.

RESUMEN DEL CASO

Niño de 11 años con antecedentes de ronquido nocturno que en estudios previos había sido diagnosticado de hipertrofia adenoidea. No pausas de apnea previas.

Acude a consulta por empeoramiento de su ronquido habitual, así como aparición de adenopatías laterocervicales. Afebril, sin astenia ni pérdida de peso. Ante la sospecha de un posible síndrome mononucleósico en paciente con hipertrofia adenoidea previa, se pauta corticoterapia oral e inhalada. Tras mejoría inicial, la madre comenta empeoramiento clínico, por lo que se repite pauta de corticoides.

Ante ausencia de mejoría acuden a urgencias, donde se realiza analítica de sangre (sin elevación de reactantes de fase aguda ni citopenias) y radiografía de tórax sin alteraciones mediastínicas. Se cita para realizar una pulsioximetría para descartar síndrome de apneas- hipopneas del sueño.

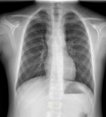
Ante empeoramiento clínico progresivo se repite estudio de nuevo. Analítica de sangre con discreta elevación de LDH y hemograma sin citopenias. En la radiografía de tórax se observa engrosamiento de la banda paratraqueal derecha con ensanchamiento mediastínico bilateral (Fig. 1). En la ecografía de cuello se evidencia la presencia de adenopatías patológicas, aumentadas de tamaño con pérdida del hilio graso.

Figura 1. Ensanchamiento mediastínico bilateral
Figura 1. Ensanchamiento mediastínico bilateral.
 

Finalmente, se completa el estudio con punción con aguja fina (PAAF), aspirado de médula ósea y punción lumbar, diagnosticándose de linfoma linfoblástico T estadio III con afectación de hueso ilíaco, sin afectación medular. Ante dicho diagnóstico, comienza tratamiento con el protocolo de quimioterapia intratecal e intravenosa.

CONCLUSIÓN

Un niño roncador habitual con empeoramiento clínico y aparición de adenopatías nos debe poner en alerta, lo que conlleva ampliar el estudio para descartar otras causas.

En el diagnóstico diferencial debemos incluir los procesos linfoproliferativos que pueden manifestarse como masa mediastínica que comprime la vía aérea produciendo signos de dificultad respiratoria.

CONFLICTO DE INTERESES

Los autores declaran la ausencia de conflicto de intereses en la redacción del presente artículo.