Vol. 25 - Num. 32

Casos clínicos. Ortopedia y Traumatología

Metatarsalgia, un hueso duro de roer

Miguel Ángel Sánchez Durána, Pablo Mateos Torrea, Jorge Álvarez Garcíab, Neus Saloni Gómeza

aMIR-Pediatría. Hospital Universitario de Navarra. Pamplona. Navarra. España.
bPediatra. CS Ansoáin. Navarra. España.

Cómo citar este artículo: Sánchez Durán MA, Mateos Torre P, Álvarez García J, Saloni Gómez N. Metatarsalgia, un hueso duro de roer . Rev Pediatr Aten Primaria. 2023;(32):e247-e248.

Publicado en Internet: 31-03-2023 - Número de visitas: 6766

INTRODUCCIÓN

La patología musculoesquelética es un motivo frecuente de consulta en Atención Primaria. Asimismo, es un reto debido a su clínica crónico-recurrente y las diversas etiologías que comprende su diagnóstico diferencial. A continuación, se presenta un caso en el que un adecuado abordaje clínico hizo posible llegar a su diagnóstico.

RESUMEN DEL CASO

Adolescente de 13 años que acude por cojera atribuida al dolor que presenta en el tobillo y el pie derecho. Describe inicio del cuadro doloroso hace 8 meses sin presentar traumatismo asociado, así como exacerbación del dolor con el ejercicio y alivio relativo con el reposo y antiinflamatorios.

A la exploración física, impresiona la hiperalgesia al palpar la cabeza del segundo metatarsiano (acompañado de un leve dolorimiento en el tobillo y la planta del pie cercana al calcáneo), sin objetivarse signos inflamatorios articulares (aumento significativo del calor o tumoración en la extremidad). Asimismo, se descarta mediante la palpación la presencia de fracturas óseas que pudieran explicar el cuadro.

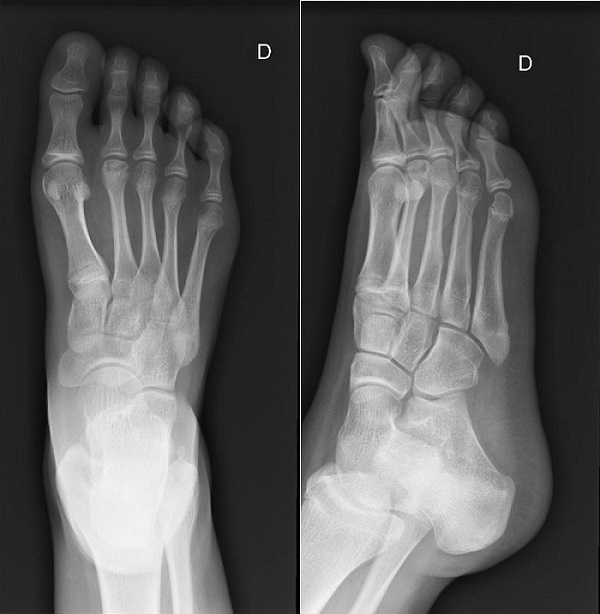
Teniendo en cuenta este caso clínico, se plantea el diagnóstico diferencial entre las patologías musculoesqueléticas de origen inflamatorio y aquellas que atienden a una etiología puramente mecánica. En aras de dilucidar el diagnóstico definitivo, y debido al tiempo de evolución del dolor, se decide solicitar analítica de sangre, que resulta ser normal, y radiografía simple del tobillo-pie (anteroposterior y lateral) (Fig. 1).

Figura 1. Radiografía simple del tobillo-pie (anteroposterior y lateral), donde se confirma la presencia de una patología de origen mecánico, sito en el segundo metatarsiano: enfermedad de Freiberg (o Kohler II)
Figura 1. Radiografía simple del tobillo-pie (anteroposterior y lateral), donde se confirma la presencia de una patología de origen mecánico, sito en el segundo metatarsiano: enfermedad de Freiberg (o Kohler II).

El informe radiológico confirma la presencia de una patología de origen mecánico, sito en el segundo metatarsiano: enfermedad de Freiberg (o Kohler II). Se trata de una osteocondrosis, causante de metatarsalgia y cojera en el paciente adolescente (típico de mujeres y de predominio unilateral), cuyo diagnóstico es clínico y su confirmación se realiza a través de la radiografía simple, siendo la imagen patognomónica: esclerosis del hueso subcondral y cambios quísticos en la cabeza del segundo metatarsiano.

Su tratamiento es conservador (antiinflamatorios y reposo relativo), asociándose el uso de ortesis plantares para evitar la deformidad articular.

CONCLUSIONES

  • Conocer las diferencias entre dolor inflamatorio y mecánico nos conducirá a una correcta solicitud de pruebas complementarias pertinentes.
  • La enfermedad de Freiberg es una patología a tener en cuenta en el diagnóstico diferencial de metatarsalgia y cojera en los niños que acuden a la consulta de Atención Primaria.
  • El conocimiento de estas entidades redundará en un mejor tratamiento, así como en una reducción tanto en pruebas complementarias innecesarias como en visitas a otros especialistas.

CONFLICTO DE INTERESES

Los autores declaran la ausencia de conflicto de intereses en la redacción del presente artículo.