Vol. 25 - Num. 98
Notas clínicas
Jorge Lévano Vásqueza, Carmen Ballesteros Martínb, Victoria M.ª Díaz Marugánc, María Barbolla Mate d
aPediatra. CS Los Pintores. Parla. Madrid. España .
bOdontóloga. CS Los Pintores. Parla. Madrid. España.
cPediatra. CS Mar Báltico. Madrid. España.
dHigienista dental. CS Los Pintores. Parla. Madrid. España.
Correspondencia: J Lévano. Correo electrónico: jorgeademir.levano@salud.madrid.org
Cómo citar este artículo: Lévano Vásquez J, Ballesteros Martín C, Díaz Marugán VM, Barbolla Mate M. Mesiodens: a propósito de dos casos . Rev Pediatr Aten Primaria. 2023;25:179-83.
Publicado en Internet: 07-06-2023 - Número de visitas: 16413
Resumen
El mesiodens es el diente supernumerario más común, localizado en la línea media maxilar entre los incisivos centrales. Su etiología es incierta y se han planteado múltiples teorías. El diagnóstico y tratamiento precoz permite la erupción espontánea de los incisivos permanentes, evitar las complicaciones asociadas, así como tratamientos posteriores más complejos. En este artículo se presentan dos casos de mesiodens de pacientes que acuden a la consulta de Pediatría de Atención Primaria.
Palabras clave
● Diente supernumerario ● Incisivos ● MesiodensUn mesiodens es un diente supernumerario localizado en la línea media maxilar, entre los dos incisivos centrales. Es el diente supernumerario más común y representa, para la mayoría de los autores, entre el 50-80% del total de ellos. La frecuencia varía entre 0,09-2,05% y predomina en el sexo masculino1. El 80-90% aparece en el maxilar superior. Los dientes supernumerarios generalmente ocurren en dentición permanente y rara vez se encuentran en la dentición primaria. La situación más habitual es que se encuentre incluido completamente y solo esté erupcionado en un 25% de los casos2.
La etiología del mesiodens sigue siendo incierta. Puede darse en individuos sanos o formar parte de cuadros sindrómicos.
El diagnóstico se va a basar en el conocimiento de esta patología y requiere de un examen clínico exhaustivo3,4. Además de la clínica, se debe realizar un estudio radiológico.
La presencia de un mesiodens en el maxilar puede provocar diversas complicaciones. Por ello, se debe establecer un diagnóstico correcto y temprano para tratarlo adecuadamente.
El tratamiento depende del tipo y de la localización del diente, así como de la repercusión sobre el diente temporal o permanente. Existen dos posibilidades de tratamiento: la extracción temprana antes de la formación de la raíz de los incisivos permanentes o la extracción tardía después de la formación de la raíz de los incisivos permanentes5. Algunos autores recomiendan la extracción de los mesiodens en la dentición mixta temprana para facilitar la erupción espontánea y la alineación de los incisivos, lo que puede reducir la necesidad de un tratamiento de ortodoncia.
Se presentan dos casos clínicos que acuden a la consulta de Pediatría de Atención Primaria y posteriormente son derivados a la consulta de Odontología del mismo centro de salud.
Paciente varón de 6 años, sin antecedentes familiares ni personales de interés, que acude a la consulta de Pediatría para la revisión de 6 años, donde se observan múltiples caries y se deriva a la consulta de Odontología. En la exploración intraoral presentaba los incisivos centrales superiores parcialmente erupcionados con el 21 rotado, diastema interincisivo y ausencia de 62 y sin espacio para la erupción de 22 (Fig. 1). En la línea media por palatino se aprecia la erupción parcial de diente conoide con la presunción de diente supernumerario mesiodens que no presenta movilidad; en oclusión se aprecia mordida cruzada de dicho supernumerario que mantiene incisivos inferiores vestibulizados (clase I molar). Se solicitó una ortopantomografía para valorar la posición y el estado de la erupción de los incisivos superiores, así como descartar presencia de otros supernumerarios o agenesias. La radiografía mostraba la presencia de un diente supernumerario mesiodens en la línea media (Fig. 2). Se hallaba en posición vertical y presentaba una forma conoide. Provocaba un gran diastema interincisal e impedía la correcta erupción de los incisivos centrales y laterales superiores, incluso alterando la oclusión y correcta posición de incisivos inferiores. Se informó a la madre de la necesidad de realizar la extracción para la correcta erupción dentaria del sector anterior y, dada la colaboración del paciente, se realiza en la consulta con anestesia tópica y posteriormente infiltrativa, procediendo a la extracción del mismo (Fig. 3). En la extracción se observa lesión periapical compatible con quiste folicular que se envía al Servicio de Anatomía Patológica para su estudio. El paciente precisará controles periódicos para controlar la erupción dentaria y valorar la necesidad de un tratamiento ortodóncico posterior para cerrar el diastema interincisal y permitir, además, la erupción de los incisivos laterales superiores.
| Figura 1. Paciente con mesiodens en línea media interincisiva, posición vertical, que produce la rotación del 21 impidiendo su correcta erupción |
|---|
![]() |

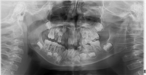
| Figura 2. Ortopantomografía. Se observa un único diente supernumerario en posición vertical situado en palatino en relación con el tercio apical de la raíz del 21. No se observan otros supernumerarios, no hay agenesias y se observan múltiples caries en dentición temporal |
|---|
![]() |

| Figura 3. Mesiodens extraído con forma conoide con formación radicular completa y con lesión apical compatible con quiste folicular |
|---|
![]() |

Paciente varón de 10 años, sin antecedentes familiares ni personales de interés, que acude a la consulta de Pediatría por notar un “bulto” en línea media de maxilar superior, por lo que se deriva a la consulta de Odontología. En la exploración dental se observa la presencia de toda la dentición permanente en normoclusión, desgaste selectivo en incisivos inferiores que afecta más a la pieza 32, rotación mesial de la corona del 21 y caries en cara oclusal de 46 (Fig. 4). Se le solicitó una ortopantomografía para valorar el estado de los incisivos. En la radiografía (Fig. 5) vimos la presencia de un mesiodens en la línea media, único, tuberculado y con curvatura apical. El ápice del supernumerario se encuentra próximo al ápice del 21 y altera la correcta alineación de los incisivos inferiores, por lo que presenta desgaste selectivo por oclusión con dicho supernumerario. Además, se aprecia rotación mesial de 21 por la relación con supernumerario y desviación a distal del ápice del 21. Para evitar el daño de incisivos inferiores por prematuridad en oclusión con dicho supernumerario y alteraciones en la posición del 21, se informa a los padres de la necesidad de extraer dicho diente y se realiza en la consulta con anestesia tópica inicial y posterior infiltrativa (Fig. 6).
| Figura 4. Paciente con mesiodens en línea media interincisal, posición vertical, localización palatina a 2 cm de la cara palatina de incisivos centrales superiores |
|---|
![]() |

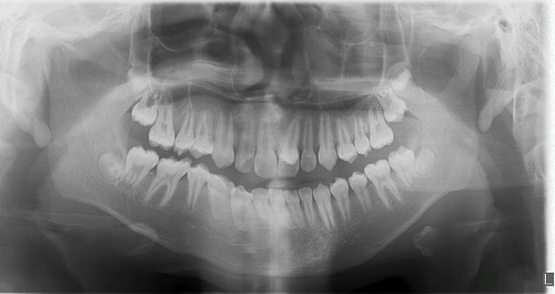
| Figura 5. Ortopantomografía. Se observa dentición permanente completa, no hay otros supernumerarios ni agenesias. Presenta supernumerario mesiodens en relación apical con 21 formación radicular completa de incisivos centrales y de mesiodens |
|---|
![]() |

Se presentan dos casos de mesiodens en pacientes sin patología de interés y sin asociación a procesos sindrómicos: el primero, presente en dentición mixta en primera fase que impide la correcta erupción de incisivos superiores; y el segundo, en dentición permanente que causa problemas oclusales y que además puede dañar la raíz de la pieza 21.
El mesiodens es el diente supernumerario que aparece con mayor frecuencia, localizado entre los incisivos centrales maxilares superiores. La prevalencia varía entre 0,15-1,9% y predomina en el sexo masculino, como en ambos casos presentados. La aparición de mesiodens en dentición temporal es bastante rara (0,05-0,64%) a pesar de que en la dentición permanente es considerado como la anormalidad dental más común (0,15-3,8%)1.
En algunos síndromes, el mesiodens puede presentarse como parte de los síntomas; sin embargo, esta condición puede verse en individuos normales.
Se desconoce la etiología del mesiodens. Se han planteado una serie de teorías entre las que destacan las siguientes: atavismo (retroceso evolutivo, tres incisivos centrales); dicotomía del germen (el folículo dental se divide en dos); genética (gen recesivo autosómico dominante, asociado a cromosoma x); alteración en la organogénesis; hiperactividad de la lámina dental y su relación con algunos síndromes (síndrome de Down, de Gardner o displasia cleidocraneal); alteraciones sistémicas (labio y paladar hendido) y combinación de factores ambientales y genéticos6.
El diagnóstico se va a basar en el conocimiento de esta patología y requiere de un examen clínico exhaustivo para detectar aumentos de volumen, mal posiciones dentarias, apiñamiento, espaciamientos o alteraciones en cronología de erupción, así como de un estudio radiográfico para determinar su posición exacta3,4.
Por tanto, para su diagnóstico es muy importante que los pediatras conozcan esta patología y realicen la derivación oportuna al odontólogo ante la sospecha clínica para evitar las complicaciones asociadas al mesiodens. Por ello, en caso de asimetría dental se debe sospechar la presencia de mesiodens7. También es probable que la retención excesiva de los incisivos primarios superiores, especialmente si es asimétrico o en caso de erupción ectópica de uno o ambos incisivos maxilares permanentes, se deba a la presencia de mesiodens.
Respecto de su morfología, los mesiodens pueden tener formas heterogéneas. Las tres formas más frecuentes son la cónica, tuberculados y suplementarios, de los cuales la forma cónica es la más frecuente de todas8-10. Pueden presentarse de manera única o múltiple, ser unilaterales o bilaterales, en posición horizontal, vertical o invertidos y erupcionados o no.
En la dentición primaria, el mesiodens frecuentemente tiene una forma y erupción normal, por lo que puede pasar desapercibido. En la dentición permanente, el diagnostico suele ser más fácil tras la erupción de un diente permanente anterior. En los casos que no han erupcionado, ello interfiere con la erupción de los otros dientes permanentes causando malaoclusión.
Además de la clínica, se realiza una exploración radiológica en la que se pueden emplear el CBCT (tomografía computarizada de haz cónico), la ortopantomografía, la radiografía periapical y la oclusal.
La presencia de un mesiodens en el maxilar puede provocar diversas complicaciones, entre las que destacan retraso en la erupción, apiñamiento, espaciamiento, impactación de incisivos permanentes, formación anormal de raíces, alteración en el camino de erupción de incisivos permanentes, diastema interincisivo, quistes foliculares, infección intraoral, rotación, reabsorción radicular de los dientes adyacentes o incluso la erupción de incisivos en la cavidad nasal10. Por ello, se debe establecer un diagnóstico correcto y temprano para tratarlo adecuadamente.
El manejo de los dientes supernumerarios depende del tipo y localización del diente, así como de la repercusión sobre el diente temporal o permanente. La extracción inmediata del mesiodens está generalmente indicada en las siguientes situaciones: inhibición o retraso en la erupción, desplazamiento de dientes adyacentes, interferencia con aparatos de ortodoncia, presencia de condición patológica o erupción espontánea de diente supernumerario11.
Hay dos métodos para la extracción del mesiodens: la extracción temprana antes de la formación de la raíz de los incisivos permanentes o la extracción tardía después de la formación de la raíz de los incisivos permanentes11. Algunos autores recomiendan la extracción de los mesiodens en la dentición mixta temprana para facilitar la erupción espontánea y la alineación de los incisivos, lo que puede reducir la necesidad de un tratamiento de ortodoncia.
Respecto al tratamiento, en el primer caso se optó por realizar una extracción temprana por el desplazamiento y rotación del incisivo maxilar y favorecer la erupción espontánea de los incisivos laterales, evitar complicaciones mecánicas y minimizar la necesidad de un tratamiento ortodóncico y/o quirúrgico posterior más complejo; y en el segundo caso se decidió realizar una extracción para evitar problemas ortodóncicos no presentes en el momento actual y la corrección espontánea de las malposiciones dentarias al eliminar la causa, así mismo evitando la lesión permanente de incisivos inferiores por la presencia de prematuridades en la oclusión.
Es importante dar a conocer esta patología, ya que el mesiodens es la forma más prevalente de diente supernumerario en la dentición permanente y temporal, no es una patología rara. Por ende, un diagnóstico precoz desde las consultas de Pediatría de los centros de Atención Primaria y su oportuna derivación a la consulta de Odontología para completar estudio y programar su extracción de forma temprana permitirá, en la mayoría de los casos, la erupción y alineación espontánea de los incisivos afectados, evitando las complicaciones asociadas y tratamientos ortodóncicos y/o quirúrgicos más complejos.
Los autores declaran no presentar conflictos de intereses en relación con la preparación y publicación de este artículo. Este trabajo no ha recibido financiación.
Todos los autores han contribuido de forma equivalente en la elaboración del manuscrito publicado. Los autores han remitido un formulario de consentimiento de los padres/tutores para publicar información de su hijo/a.