Vol. 25 - Num. 100

Casos clínicos en Digestivo

¡Por fin responde a algo!

Iván Carabaño Aguadoa, M.ª Concepción Garrido Ruizb, Enrique Salcedo Lobatoa, Enrique Medina Beníteza

aSección de Gastroenterología, Hepatología y Nutrición Pediátrica. Servicio de Pediatría. Hospital Universitario 12 de Octubre. Madrid. España.
bServicio de Anatomía Patológica. Hospital Universitario 12 de Octubre. Madrid. España.

Correspondencia: I Carabaño. Correo electrónico: carabano1975@hotmail.com

Cómo citar este artículo: Carabaño Aguado I, Garrido Ruiz MC, Salcedo Lobato E, Medina Benítez E. ¡Por fin responde a algo! . Rev Pediatr Aten Primaria. 2023;25:421-4. https://doi.org/10.60147/87c527ca

Publicado en Internet: 19-12-2023 - Número de visitas: 8554

Resumen

La esofagitis eosinofílica es una enfermedad crónica inmunomediada cuya incidencia está aumentando a lo largo de los últimos años. Afecta preferentemente, pero no de manera exclusiva, a varones y a personas con antecedentes de atopia. Se estima que la prevalencia actual en los países desarrollados supera los 100 casos por cada 100 000 habitantes. Supone la causa más frecuente de disfagia e impactación alimentaria a lo largo de la edad pediátrica, y repercute negativamente sobre la calidad de vida. Afecta más a varones que a niñas. Su primer escalón terapéutico está constituido por: las dietas de exclusión, los inhibidores de la bomba de protones y los corticoides tópicos deglutidos. En casos refractarios, se puede emplear dupilumab, un biológico con capacidad anti-interleukina 4 y 13, con resultados muy prometedores.

Palabras clave

Dupilumab Esofagitis eosinofílica

INTRODUCCIÓN

La llegada del dupilumab supone una ayuda para el manejo de la esofagitis eosinofílica refractaria a las primeras líneas de tratamiento o cuando la aplicación de alguna de estas no es factible.

CASO CLÍNICO

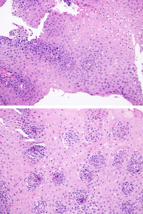
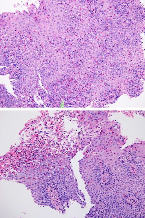
Adolescente de 15 años de edad en revisión en consultas externas de Digestivo Infantil por esofagitis eosinofílica (EEo) desde hace tres años. Clínica de debut en forma de impactación en esófago medio por un trozo de carne, que fue resuelto tras la realización de una endoscopia urgente, en la que se objetivaron estigmas macroscópicos de afectación fibroestenótica. Se documentó la presencia en los tres tercios esofágicos de infiltrado tisular eosinofílico significativo (máximo de 75 eosinófilos por campo; Figuras 1 y 2). El tratamiento con inhibidores de la bomba de protones y corticoides tópicos deglutidos resultó eficaz para atenuar las manifestaciones clínicas, pero ineficaz para revertir la inflamación, pese al buen cumplimiento terapéutico. Se desestimó el tratamiento dietético de exclusión, dada la importante reticencia del paciente a la adherencia al mismo. Se probó posteriormente con dupilumab. Se obtuvo la triple remisión: clínica, endoscópica e histológica (Figuras 3 y 4).

Figuras 1 y 2. Biopsias previas al tratamiento con dupilumab. El punteado rojizo corresponde a un infiltrado eosinofílico significativo
Figuras 1 y 2. Biopsias previas al tratamiento con dupilumab. El punteado rojizo corresponde a un infiltrado eosinofílico significativo
 
Figuras 3 y 4. Normalización de las biopsias esofágicas tras el tratamiento con dupilumab
 
Figuras 3 y 4. Normalización de las biopsias esofágicas tras el tratamiento con dupilumab
 

DISCUSIÓN

La esofagitis eosinofílica (EEo) es una enfermedad crónica inmunomediada, cuya incidencia está aumentando a lo largo de los últimos años. Afecta preferentemente, pero no de manera exclusiva, a varones y a personas con antecedentes de atopia. Cursa con síntomas de disfunción esofágica. La expresión clínica es “edad dependiente”: en niños pequeños predominan los vómitos, la sensación anómala de ascenso del alimento, el dolor abdominal y los problemas con la alimentación. En los niños más mayores y adolescentes predominan la disfagia e impactación alimentaria1,2.

La incidencia de EEo ha aumentado de manera exponencial desde los años 90 del siglo pasado hasta el momento actual. De este modo, entre 2002 y 2012, se registró en España un aumento en la incidencia anual de casi un 20%. Aunque no hay datos poblacionales homogéneos, se estima que la prevalencia actual en los países desarrollados supera los 100 casos por cada 100 000 habitantes. Estos datos hacen que la EEo sea la causa más prevalente de esofagitis en niños. Además, es la etiología más frecuente de disfagia e impactación alimentaria a lo largo de la edad pediátrica1,2. Afecta más a varones que a niñas, con una ratio 2,45:1.

Hay muchas lagunas en cuanto al origen de la EEo. El factor fundamental es la aparición de una respuesta inmune anómala, no mediada por IgE, frente a antígenos alimentarios. Este hecho parece estar desencadenado por una distorsión de la barrera epitelial esofágica, la cual derivaría en la aparición de una cascada inflamatoria, con participación de la interleucina-13 y la eotaxina 3, y cuyo último eslabón sería la liberación de factor de crecimiento transformador β (TGF-β).

La sintomatología depende de la edad. Así, en los niños más pequeños predominan las náuseas, los vómitos, el rechazo de la ingesta y la mala ganancia de peso. En los niños más mayores y adolescentes la expresión clínica suele ser distinta, aunque no necesariamente. En este colectivo, es más frecuente la disfagia, los episodios de impactación, el dolor retroesternal y el dolor epigástrico.

Hay que hacer notar que, en muchos casos, hay ciertas actitudes que son normalizadas por las familias, pero que han de suponer un motivo de sospecha para los clínicos: beber gran cantidad de agua con la comida, dar pequeños saltos tras la deglución, hacer movimientos tipo “baile” durante la ingesta o comer muy despacio, con rechazo de las texturas más sólidas1-4.

La esofagogastroscopia con toma de biopsias es la prueba diagnóstica de elección. En la EEo se pueden apreciar dos tipos de hallazgos: (1) inflamatorios: edema, exudados blanquecinos y estriaciones lineales; (2) fibroestenóticos: traquealización (anillado concéntrico) y estenosis. Estos últimos, propios de los pacientes de mayor edad, reflejan la evolución del proceso hacia el remodelado esofágico.

Hay distintos scores que engloban los distintos hallazgos (EREFS, Hirano), si bien en muchas ocasiones se describe una falta de concordancia entre estos índices y los datos histológicos. A su vez, es importante destacar que la mucosa tiene aspecto normal hasta en un tercio de los casos. El diagnóstico de certeza se establece tras documentar inflamación esofágica con ≥15 eosinófilos/campo de gran aumento, en ausencia de otras causas de eosinofilia esofágica2.

El tratamiento se plantea con tres objetivos: mejorar los síntomas, mejorar la calidad de vida y prevenir la evolución hacia formas fibroestenóticas. Tenemos dos opciones: tratamiento dietético y tratamiento farmacológico1-4.

El tratamiento dietético más exitoso es la dieta elemental, con el que se alcanza la remisión histológica en más del 90% de los casos. Su principal problema es su desagradable sabor y la necesidad de recurrir en muchas ocasiones a dispensarlo a través de una sonda nasogástrica. Desde hace aproximadamente quince años se están probando otras opciones dietéticas. La pionera fue la dieta de eliminación empírica de seis alimentos (proteína de leche de vaca, gluten, huevo, soja, frutos secos, pescado y marisco), que consiguió tasas de remisión histológicas de hasta un 74% en niños tratados; de cuatro alimentos (leche, trigo, huevo y leguminosas/soja), con una eficacia global del 64% en niños. Sin embargo, la opción dietética a la que más se recurre en el momento actual es la dieta de exclusión de dos alimentos (leche y cereales con gluten), exitosa al menos en un 43%5,6.

El tratamiento médico se aplica en dos fases secuenciales: una primera fase de inducción, y una segunda, de mantenimiento. Las opciones terapéuticas más empleadas son dos: inhibidores de la bomba de protones y corticoides deglutidos. Recientemente, se ha incorporado a su manejo la utilización de algunos biológicos, como el que se nombra en nuestro caso clínico: el dupilumab. Este biológico se reserva inicialmente para casos refractarios que afecten a pacientes de más de 13 años de edad, para pacientes con mal cumplimiento terapéutico o con contraindicación para las líneas de primer nivel, o para pacientes con EEo y dermatitis atópica grave y/o asma refractraria5-7.

Dupilumab es un anticuerpo monoclonal recombinante de la IgG4 humana que inhibe la señalización de la interleucina-4 y la interleucina-13. Dupilumab inhibe la señalización de IL-4 a través del receptor de tipo I (IL-4R&/γc), así como la señalización de IL-4 e IL-13 a través del receptor de tipo II (IL­4R&/IL-13R&). La IL-4 e IL-13 son los principales impulsores en la inflamación tipo 2, presente en enfermedades como la dermatitis atópica, el asma y la EEo. La dosis aconsejada es: inducción con 600 mg subcutáneo, seguido de 300 mg semanales. Las tasas de remisión con la administración semanal de dupilumab notificadas llegan hasta el 60-80%, según las series, y podrían revertir el remodelado fibroestenótico7,8.

En resumen: dupilumab ha llegado para quedarse en el manejo de la EEo refractaria o con concomitancias clínicas concretas. Es un anticuerpo monoclonal eficaz y seguro.

CONFLICTO DE INTERESES

Los autores declaran no presentar conflictos de intereses en relación con la preparación y publicación de este artículo. Este trabajo no ha recibido financiación.

RESPONSABILIDAD DE LOS AUTORES

Contribución de los autores: redacción principal del artículo (ICA), selección de las imágenes y asesoramiento histopatológico (MCGR), revisión final del manuscrito (ESL, EMB).

ABREVIATURAS

EEo: esofagitis eosinofílica.

BIBLIOGRAFÍA

  1. Massironi S, Elvevi A, Panceri R, Mulinacci G, Colella G, Biondi A, et al. Eosinophilic esophagitis: does age matter? Expert Rev Clin Immunol. 2023 Oct 23. https://doi.org/10.1080/1744666X.2023.2274940
  2. Trogen B, Baker MG. Dupilumab for the Treatment of Adult and Adolescent Patients With Eosinophilic Esophagitis. J Allergy Clin Immunol Pract. 2023;11:2618-9. https://doi.org/10.1016/j.jaip.2023.04.053
  3. Nguyen N, Burger C, Skirka S, White S, Smith M, Menard-Katcher C, et al. One Year Into Dupilumab: Physician and Patient Experiences in Initiating Dupilumab for Pediatric Eosinophilic Esophagitis. J Pediatr Gastroenterol Nutr. 2023;77(4):536-9. https://doi.org/10.1097/MPG.0000000000003901
  4. Meek PD, Hemstreet B. Emerging therapies for eosinophilic esophagitis. Pharmacotherapy. 2023;43:338-48. https://doi.org/10.1002/phar.2783
  5. Dellon ES, Rothenberg ME, Collins MH, Hirano I, Chehade M, Bredenoord AJ, et al. Dupilumab in Adults and Adolescents with Eosinophilic Esophagitis. N Engl J Med. 2022;387:2317-30. https://doi.org/10.1056/NEJMoa2205982
  6. Nhu QM, Aceves SS. Current state of biologics in treating eosinophilic esophagitis. Ann Allergy Asthma Immunol. 2023;130:15-20. https://doi.org/10.1016/j.anai.2022.10.004
  7. Ficha técnica de Dupixent 300 mg solución inyectable en jeringa precargada. En: AEMPS [en línea] [consultado el 28/10/2023]. Disponible en https://cima.aemps.es/cima/dochtml/ft/1171229006/FT_1171229006.html#0
  8. Lee CJ, Dellon ES. Real-World Efficacy of Dupilumab in Severe, Treatment-Refractory, and Fibrostenotic Patients With Eosinophilic Esophagitis. Clin Gastroenterol Hepatol. 2023:S1542-3565(23)00665-1. https://doi.org/10.1016/j.cgh.2023.08.015