Vol. 26 - Num. 33
Casos clínicos. Miscelánea
Sara Prieto Osaa, Nerea Izaguirre Díaza, Paula Mercado Ozcariza, Ainhoa Izquierdo Iribarrenb, Nagore García de Andoin Barandiaránc, Beatriz Tarabini-Castellani Ciordiac
aMIR-Pediatría. Hospital Universitario Donostia. San Sebastián. Guipúzcoa. España.
bPediatra. CS Hondarribia. Hondarribia. Guipúzcoa. España.
cServicio de Oncohematología Pediátrica. Hospital Universitario Donostia. San Sebastián. Guipúzcoa. España.
Cómo citar este artículo: Prieto Osa S, Izaguirre Díaz N, Mercado Ozcariz P, Izquierdo Iribarren A, García de Andoin Barandiarán N, Tarabini-Castellani Ciordia B. No es bronquitis todo lo que parece . Rev Pediatr Aten Primaria. Supl. 2024;(33):e129-e130.
Publicado en Internet: 16-05-2024 - Número de visitas: 5052
La causa más frecuente de dificultad respiratoria en la edad pediátrica es la infecciosa. Sin embargo, existen otras causas infrecuentes que son potencialmente graves, como las masas mediastínicas tumorales. Se describen tres casos pediátricos que consultan inicialmente en su centro de salud por dificultad respiratoria en contexto de infección respiratoria de vía aérea superior. Presentan una evolución desfavorable, por lo que se realiza radiografía de tórax con hallazgo de una masa mediastínica.
Son un neonato de 20 días de vida y dos lactantes de 15 meses y 23 meses, que consultan en su centro de salud por dificultad respiratoria en contexto de cuadro catarral. A la exploración, presentan triángulo de evaluación pediátrica (TEP) alterado por dificultad respiratoria con taquipnea e hipoxemia, con hipoventilación asimétrica, crepitantes bilaterales y sibilantes aislados.
En el caso del neonato de 20 días y el paciente de 15 meses se objetiva hipoxemia con necesidades de oxigenoterapia y se derivan al hospital de referencia. En el de 15 meses, con antecedente de bronquitis sibilantes recurrentes, la prueba de broncodilatador es positiva. A las 24 horas de ingreso ante empeoramiento clínico con aumento del trabajo respiratorio, se realiza radiografía de tórax con hallazgo de masa mediastínica con desplazamiento de estructuras.
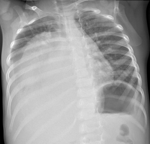
En el paciente de 23 meses, al inicio del cuadro se realiza prueba broncodilatadora con salbutamol con respuesta inicial y continúa tratamiento durante una semana. Presenta distrés progresivo con hipoventilación asimétrica e hipoxemia, por lo que se realiza radiografía de tórax, en la que se objetiva una gran masa torácica con desplazamiento de estructuras y derrame pleural asociado (Figura 1).
| Figura 1. Radiografía de tórax, en la que se objetiva una gran masa torácica con desplazamiento de estructuras y derrame pleural asociado |
|---|
![]() |

En los tres casos, en la biopsia se confirma neuroblastoma torácico y se inicia tratamiento quimioterápico según protocolo.
Ante paciente con dificultad respiratoria en contexto de infección de vía aérea, con respuesta insuficiente a tratamiento, empeoramiento clínico o asimetría en la auscultación, es importante plantearse otros diagnósticos diferenciales y realizar pruebas complementarias, para descartar otras entidades o patologías de base.
Los autores declaran no presentar conflictos de intereses en relación con la preparación y publicación de este artículo.
Los autores han remitido un formulario de consentimiento de los padres/tutores para publicar información de su hijo/a.
TEP: triángulo de evaluación pediátrica.