Vol. 26 - Num. 33
Casos clínicos. Ortopedia y Traumatología
Nuria Zamora Gonzáleza, María Tríguez Garcíab, Cristina Martínez del Pozob
aPediatra. CS Venta de Baños. Palencia. España.
bPediatra. CS Eras del Bosque. Palencia. España.
Cómo citar este artículo: Zamora González N, Tríguez García M, Martínez del Pozo C. Asimetría corporal, tumoración… ¿algo que ver? . Rev Pediatr Aten Primaria. Supl. 2024;(33):e144-e145.
Publicado en Internet: 16-05-2024 - Número de visitas: 4307
El sobrecrecimiento corporal asimétrico (SCAL) se detecta con frecuencia 1:10 000 y puede estar o no asociado a diferentes síndromes. Implica mayor riesgo de tumores en la infancia.
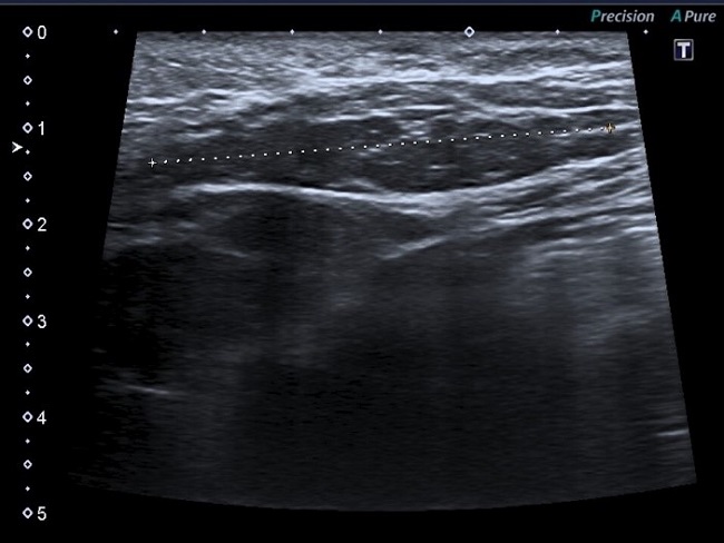
Lactante mujer de 2 meses, antecedente de arteria umbilical única y ptosis palpebral derecha, consultó por hemihipertrofia de pierna derecha y tumoración lumbar derecha. Mediante ecografía se observó un aumento del tejido celular subcutáneo de bordes imprecisos de 4 cm, con aumento progresivo a los 8 meses. A los 12 meses medía 8 x 5 x 3 cm, extendiéndose hacia el glúteo (Figura 1). Estudios cromosómico y genético normales, no encontrándose relación con ningún síndrome asociado SCAL.
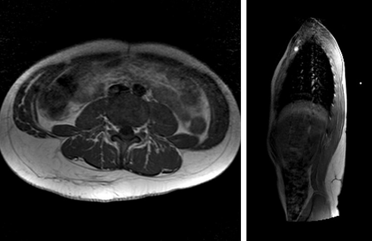
La lesión fue extirpada al año y 10 meses. Diagnóstico histológico: lipoma. Se realizaron controles anuales y a los 4 años se evidenció recidiva. A los 9 años se realizó resonancia magnética por crecimiento progresivo (Figura 2), alcanzando dimensiones de >20 cm, generando problemas físicos y estéticos. Se extirpó y se obtuvieron 3 fragmentos lipomatosos, el mayor de 17 x 15 x 3,5 cm, los otros de 4,5 x 2 cm y 2,5 x 1,5 cm, pesando en conjunto 400 g. Sin signos histológicos de malignidad.
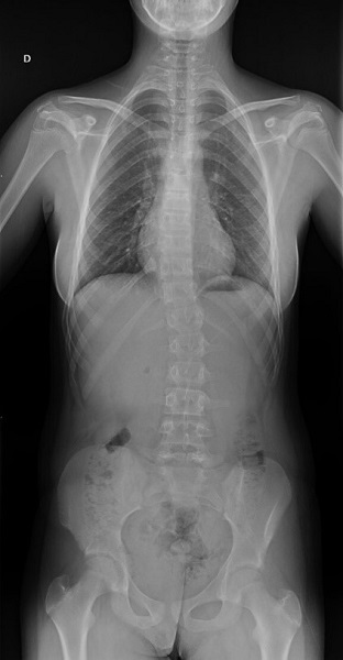
Tras la intervención, presentó escoliosis secundaria, dorsal derecha y lumbar izquierda, mínimo ascenso de hombro y pelvis derecha e hiperlordosis (Figura 3). Debido al sobrecrecimiento, la extremidad inferior izquierda era más corta y se equilibró con alza de 8 mm.
| Figura 3. Radiografía en la que se aprecia escoliosis secundaria tras la segunda intervención quirúrgica |
|---|
![]() |

En controles ecográficos posteriores presenta hipertrofia del tejido graso subcutáneo, descartando recidiva local.
Una tumoración que crece debe ser siempre valorada y en la mayoría de los casos extirpada para comprobar la naturaleza histopatológica. El lipoma es una de las neoplasias mesenquimales más frecuentes. Puede aparecer en cualquier zona con tejido graso, aunque la localización más frecuente es la parte posterior del cuello. Típicamente son pequeños, <2 x 2 cm, de crecimiento lento y asintomáticos. En casos excepcionales crecen desmesuradamente, denominándose lipomas gigantes si miden >10 cm o pesan 1000 g.
SCAL es el aumento significativo en longitud y/o circunferencia de un lado del cuerpo en comparación con el contralateral. Aparece más frecuentemente en mujeres y en el lado derecho. Puede presentarse aisladamente o asociado a síndromes, siendo el más conocido el de Beckwith-Wiedemann. También puede presentarse crecimiento asimétrico por la existencia de hemangiomas, fístulas arteriovenosas, linfedema, displasias óseas y lipomatosis.
SCAL se asocia a mayor predisposición de cánceres en la infancia, por lo que se debe mantener seguimiento. En este caso es difícil establecer si SCAL es debido a lipomatosis o si esta aparece en contexto de SCAL, ya que ambas aparecieron al mismo tiempo.
Los autores declaran no presentar conflictos de intereses en relación con la preparación y publicación de este artículo.
Los autores han remitido un formulario de consentimiento de los padres/tutores para publicar información de su hijo/a.
SCAL: sobrecrecimiento corporal asimétrico.