Vol. 26 - Num. 33

Casos clínicos. Miscelánea

Crisis convulsiva como manifestación de maltrato infantil

M.ª Teresa Rodríguez Fernándeza, Andrea Rodríguez Lozanoa, Jennifer Valeria Apolo Campoverdea, Belén Escobar Izquierdob, Beatriz Martín Isabelb, Cecilia Calzada García-Morab

aMIR-Pediatría. Hospital Universitario de Toledo. Toledo. España
bServicio de Pediatría. Hospital Universitario de Toledo. Toledo. España.

Cómo citar este artículo: Rodríguez Fernández MT, Rodríguez Lozano A, Apolo Campoverde JV, Escobar Izquierdo B, Martín Isabel B, Calzada García-Mora C. Crisis convulsiva como manifestación de maltrato infantil. Rev Pediatr Aten Primaria. Supl. 2024;(33):e178-e179.

Publicado en Internet: 10-06-2024 - Número de visitas: 4440

INTRODUCCIÓN

Las crisis convulsivas neonatales son un signo frecuente de disfunción neurológica en los primeros años de vida, por lo que es importante realizar un adecuado diagnóstico diferencial. Como posibles causas hay que tener en cuenta el daño hipóxico-isquémico, accidentes cerebrovasculares, infecciones y alteraciones metabólicas o genéticas, siendo el maltrato una causa rara y escasamente descrita en la literatura.

Presentamos el caso de un lactante de 39 días de vida que debuta con crisis convulsivas secundarias a síndrome del niño zarandeado.

RESUMEN DEL CASO

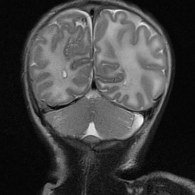
Lactante de 39 días de vida que acude a urgencias por episodio breve resuelto inexplicado, los padres refieren hipotonía e hiporreactividad durante unos minutos en domicilio, recuperándose tras estimulación. Como antecedentes procede de una gestación gemelar, parto a las 34 semanas mediante cesárea por bradicardia fetal sin precisar reanimación. Durante el ingreso en planta presenta dos crisis clónicas de hemicuerpo izquierdo que ceden tras administración de fenobarbital, tras lo cual se inicia monitorización con electroencefalograma de amplitud integrada objetivando nuevos episodios. Se realiza resonancia magnética cerebral, donde se evidencian múltiples focos de sangrado intracraneal y áreas de daño hipóxico-isquémico que sugieren posible trauma no accidental (Figura 1). Posteriormente, se realiza fondo de ojo con hemorragias retinianas y serie ósea con fracturas en diferentes estadios (Figura 2). Dada la situación clínica y la alta sospecha de maltrato infantil se contacta con el juzgado de guardia para valoración del menor. Tras un primer estudio se recomienda ingreso por motivo social de los dos hermanos del paciente, encontrando hallazgos sugestivos de maltrato en una de ellas. Teniendo en cuenta lo anterior, se declara a los menores en situación de desamparo, asumiéndose la tutela de los mismos por parte del Servicio de Menores.

Figura 1. Colección extraxial hemitentorial derecha de 4 mm de espesor compatible con hematoma subdural
Figura 1. Colección extraxial hemitentorial derecha de 4 mm de espesor compatible con hematoma subdural
Figura 2. Callo de fractura en el borde lateral del 6º arco costal izquierdo
Figura 2. Callo de fractura en el borde lateral del 6º arco costal izquierdo

CONCLUSIONES

  • El síndrome del niño zarandeado es una forma grave de maltrato infantil que ocurre generalmente en menores de un año.
  • Las formas clínicas de presentación incluyen rechazo de la alimentación, convulsiones, alteraciones del nivel de consciencia y dificultad respiratoria. Habitualmente no presentan signos externos de trauma.
  • Las crisis convulsivas en lactantes pueden ser una manifestación de maltrato infantil. Se debe conocer la dimensión de este problema para poder prevenirlo o detectarlo precozmente.
  • En caso de sospechar una situación de maltrato infantil es importante su notificación a los servicios correspondientes.

CONFLICTO DE INTERESES

Los autores declaran no presentar conflictos de intereses en relación con la preparación y publicación de este artículo.

RESPONSABILIDAD DE LOS AUTORES

Los autores han remitido un formulario de consentimiento de los padres/tutores para publicar información de su hijo/a.