Vol. 26 - Num. 33
Casos clínicos. Dermatología
Lucía García Fernándeza, Susana Viver Gómezb, Adelaida Fernández Rincónb
aMIR-Pediatría. Hospital Universitario Sanitas La Moraleja. Madrid. España.
bPediatra. CS Dr. Luengo Rodríguez. Móstoles. Madrid. España.
Cómo citar este artículo: García Fernández L, Viver Gómez S, Fernández Rincón A. Absceso en calota como complicación de la ortesis craneal . Rev Pediatr Aten Primaria. Supl. 2024;(33):e181-e182.
Publicado en Internet: 12-07-2024 - Número de visitas: 4804
Las ortesis craneales son una terapia ampliamente utilizada para el tratamiento de las plagiocefalias graves o que no mejoran con medidas posturales. Hay estudios publicados sobre los beneficios de esta terapia y sus buenos resultados. Sin embargo, como dice la Asociación Americana de Pediatría, no conocemos la historia natural de esta patología sin tratamiento y, por lo tanto, estos resultados deben tomarse con cautela, ya que se trata de una terapia de alto coste y no exenta de complicaciones. Con este caso clínico queremos dar a conocer algunas de ellas.
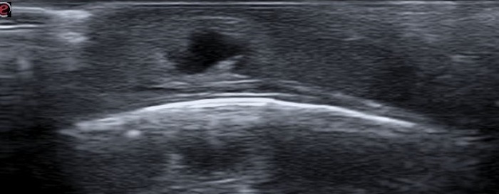
Paciente de 7 meses que acude a consulta por lesión en cuero cabelludo de crecimiento progresivo. Antecedentes personales de plagiocefalia en tratamiento con ortesis craneal. En la exploración física destaca nódulo eritematoso de 2 x 2 cm, no fluctuante y sin secreción local (Figura 1). Se realiza ecografía clínica de la lesión, donde se visualiza imagen homogénea en tejido celular subcutáneo, con leve captación Doppler y en su interior un área irregular anecoica, compatible con absceso (Figura 2). Se realiza drenaje de la lesión con salida de abundante componente purulento. Se pauta tratamiento con antibioterapia tópica y oral durante 7 días. Buena evolución clínica posterior, sin reaparición de nuevas lesiones, pero con mínima lesión cicatricial residual.
| Figura 2. Ecografía clínica de absceso en calota. Se visualiza imagen homogénea en tejido celular subcutáneo, por encima de calota y sin modificarla; en su interior, área irregular anecoica, compatible con absceso |
|---|
![]() |

La terapia con ortesis craneal se considera una herramienta eficaz y segura, pero es importante conocer que no está exenta de complicaciones. Entre ellas encontramos la dermatitis irritativa, las lesiones por presión, las infecciones de la piel e incluso el absceso de calota. Las más frecuentes son las irritaciones de la piel, que se resuelven tras un periodo de descanso sin la ortesis craneal; pero otras, como la de nuestro caso clínico, pueden precisar tratamiento que no debe demorarse para evitar complicaciones más graves. Por lo tanto, es necesario conocer las complicaciones que puedan surgir para poder detectarlas y tratarlas adecuadamente.
Los autores declaran no presentar conflictos de intereses en relación con la preparación y publicación de este artículo.
Los autores han remitido un formulario de consentimiento de los padres/tutores para publicar información de su hijo/a.