Vol. 27 - Num. 34

Casos clínicos. Miscelánea

Displasias óseas asociadas al gen de la filamina A: de menos a más

M.ª Cristina Palma Conesaa, M.ª Inés Jiménez Castillob, Ana Garach Gómezb

aHospital Universitario Clínico San Cecilio. Granada.
bCS Zaidín Sur. Granada.

Cómo citar este artículo: Palma Conesa MC, Jiménez Castillo MI, Garach Gómez A. Displasias óseas asociadas al gen de la filamina A: de menos a más . Rev Pediatr Aten Primaria. Supl. 2025;(34):e175-e176.

Publicado en Internet: 26-05-2025 - Número de visitas: 2204

INTRODUCCIÓN

El espectro del síndrome otopalatodigital, el cual es debido a mutaciones en el gen de la filamina A (FLNA), tiene una expresión fenotípica heterogénea. Engloba al síndrome otopalatodigital tipo I (SOPDI), otopalatodigital tipo 2 (SOPD2), síndrome de Melnick-Needles y la displasia frontometafisaria. Algunas malformaciones pueden ser tan severas que implican muerte perinatal mientras que en otros casos únicamente se identifica una osteodistrofia leve.

RESUMEN DEL CASO

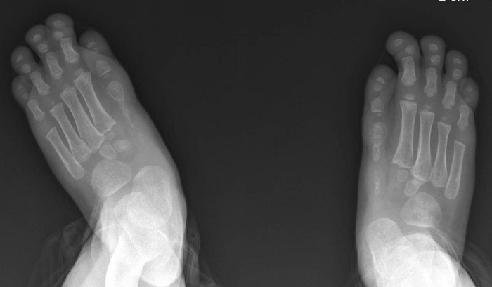
Niño de 3 años seguido desde el nacimiento en la consulta de Atención Primaria con rasgos dismórficos, como paladar ojival, hipertelorismo, retrognatia,  prominencia frontal y pies aductos con sindactilia y acortamiento de falanges en primer dedo de ambos pies (Figura 1).

Figura 1. Pies aductos con sindactilia y acortamiento de falanges en primer dedo de ambos pies
Figura 1. Pies aductos con sindactilia y acortamiento de falanges en primer dedo de ambos pies
 

Antecedentes familiares: embarazo de curso normal con múltiples abortos previos.

Pruebas complementarias: ante la sospecha de una displasia ósea se solicita una resonancia magnética, donde se aprecian anomalías de la fosa posterior con un canal raquídeo ensanchado y defectos de fusión de los arcos sacros posteriores; y un estudio genético dirigido a rasgos fenotípicos, que informó de una variante probablemente patogénica en el gen FLNA c.620C>T; p.(Pro207Leu) en hemicigosis y con una herencia ligada al cromosoma X .

Se inició tratamiento rehabilitador precoz dirigido al aumento de la movilidad en las articulaciones de ambos pies, alcanzándose deambulación normal pese a las malformaciones digitales.

En varios controles posteriores se observó un retraso global del desarrollo con dificultad para el lenguaje, por lo que comenzó sesiones seriadas en el centro de atención infantil temprana (CAIT), lográndose avances progresivos en la comunicación, a pesar de una leve discapacidad intelectual.

No se observaron anomalías cardiológicas ni alteraciones auditivas.

Dada la evolución favorable del paciente y la expresión fenotípica leve, se diagnosticó de un SOPDI.

CONCLUSIONES

El síndrome otopalatodigital tipo I es la expresión más leve de los trastornos del espectro otopalatodigital, pero resulta interesante por su baja prevalencia. El diagnóstico precoz permite prevenir las posibles malformaciones esqueléticas y mejorar el seguimiento multidisciplinar.

Tanto la parentalidad positiva como la figura del pediatra de Atención Primaria son esenciales en estos niños complejos para alcanzar un desarrollo psicomotor óptimo y una atención integral.

CONFLICTO DE INTERESES

Los autores declaran no presentar conflictos de intereses en relación con la preparación y publicación de este artículo.

RESPONSABILIDAD DE LOS AUTORES

Los autores han remitido un formulario de consentimiento de los padres/tutores para publicar información de su hijo/a.

ABREVIATURAS

CAIT: centro de atención infantil temprana · FLNA: gen de la filamina A · SOPD: síndrome otopalatodigital.