Vol. 26 - Num. 104

Notas clínicas

Manejo de la patología importada de migrantes a su llegada en Atención Primaria

Enrique La Orden Izquierdoa, Estefanía Ramírez-Montesinos Furonesb, Rafael Díaz-Delgado Peñasc, José Valle Castejónd, M.ª del Pilar Mesa Garridod

aPediatra. CS María Jesús Hereza-Cuéllar. Leganés. Madrid. España
bMIR-Pediatría. Servicio de Pediatría. Hospital Universitario Severo Ochoa. Leganés. Madrid. España.
cServicio de Pediatría. Hospital Universitario Severo Ochoa. Leganés. Madrid. España.
dEnfermería. CS María Jesús Hereza-Cuéllar. Leganés. Madrid. España.

Correspondencia: E La Orden. Correo electrónico: enrique.orden@salud.madrid.org

Cómo citar este artículo: La Orden Izquierdo E, Ramírez-Montesinos Furones E, Díaz-Delgado Peñas R, Valle Castejón J, Mesa Garrido MP. Manejo de la patología importada de migrantes a su llegada en Atención Primaria . Rev Pediatr Aten Primaria. 2024;26:407-11. https://doi.org/10.60147/6759d099

Publicado en Internet: 03-12-2024 - Número de visitas: 5415

Resumen

La cifra de migrantes menores de 16 años residentes en la Comunidad de Madrid se sitúa en torno a 140 000 según el Informe de población extranjera de la Comunidad de Madrid realizado en enero de 2021. Muchos de ellos llegan acompañados de su familia o se reencuentran con esta, y una minoría llegan solos. Presentan mayor riesgo de padecer enfermedades infecciosas con las que no han tenido contacto en el país receptor, de padecer otras por las condiciones de vida en el país de acogida o de importar enfermedades infectocontagiosas de su país de origen. Por tanto, es importante su diagnóstico y tratamiento precoz, tanto para el paciente como para la comunidad. Su manejo en Atención Primaria debe ser sistemático y protocolizado en colaboración con otros niveles asistenciales y dispositivos sociales. Una atención cercana, que favorezca su confianza y adhesión al seguimiento, mejora sus resultados en salud y su integración multicultural en el país receptor. Se presentan dos casos de patología tropical importada en dos niños que consultan por primera vez en el centro de salud tras su llegada a España.

Palabras clave

Enfermedades transmisibles importadas Etnicidad Servicios preventivos de salud

INTRODUCCIÓN

La población extranjera en la Comunidad de Madrid ascendía a 1 037 671 personas en enero de 2021, según indica el último Informe de población extranjera empadronada en la Comunidad de Madrid, siendo un 13,96% menores de 16 años1. Tras la llegada del niño migrante en su primera valoración en Atención Primaria debemos preguntar por el motivo migratorio, si vino solo y si está tutelado o acompañado, nivel socioeconómico y las enfermedades prevalentes en su país de origen, antecedentes personales (médico-quirúrgicos, vacunaciones y alergias) y familiares. También, preguntar cómo ha sido el viaje, interesarse por su estado actual y sus condiciones de vida actuales.

Todo ello, dirigido a los 3 objetivos de atención integral al migrante2:

  • Conocer su estado de salud.
  • Detectar y tratar enfermedades infecciosas importadas (de transmisión vertical u horizontal), tanto para su propio beneficio como para el de la comunidad.
  • Actualizar su calendario vacunal y aplicar el protocolo de actividades preventivas y de promoción de la salud adecuado para su edad.

La consulta en Atención Primaria puede solicitarse expresamente para esta finalidad o por la aparición de síntomas inespecíficos que pueden simular procesos intercurrentes comunes en los distintos países. Se presentan a continuación dos casos de pacientes valorados por primera vez en Atención Primaria tras su llegada reciente a nuestro país.

CASOS CLÍNICOS

Caso 1

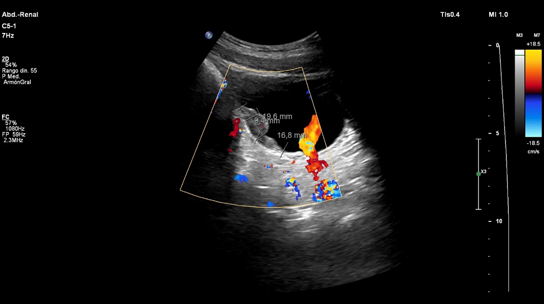
Niño de 12 años procedente de la República de Mali (África occidental) y residente en España desde hace 6 meses, traído a consulta de Atención Primaria por primera vez por varias lesiones inflamatorias en cuero cabelludo y hematuria macroscópica algo dolorosa de larga evolución. No hay otros convivientes afectos. Habla francés, pero no español. No aporta calendario de vacunación. Exploración física: peso 44,3 kg (p38, -0,30 DE); talla: 147 cm (p19, -0,87 DE) (Carrascosa, et al. 2017); tensión arterial (TA): 100/65; frecuencia cardiaca (FC): 81 lpm; temperatura: 35,9 °C. Presenta lesión supurativa en cuero cabelludo en forma de placas alopécicas en varias localizaciones sin arrancamiento del pelo (Figura 1). Pene normal circuncidado, sin lesiones en glande. El resto de la exploración por aparatos es normal. Se realiza estudio analítico de primer nivel del niño migrante sin alteraciones relevantes, salvo presencia de eosinofilia periférica (eosinófilos 2580/µl) sin anemia, recuentos absolutos de inmunoglobulinas en rango normal, perfil férrico y tiroideo sin alteraciones, tiempos de coagulación normales. En el estudio de orina se confirma hematuria macroscópica sin proteinuria, leucocituria ni nitritos y urocultivo negativo a las 48 horas de incubación. Estudio coprológico sin alteraciones. El paciente es remitido a urgencias del hospital de referencia e ingresa en hospitalización para completar estudio. Prueba de Mantoux negativa. Serologías negativas. Cultivo positivo de raspado de cuero cabelludo para Trichophyton violaceum. Gota gruesa y PCR para malaria negativas. Parásitos en heces negativos. Parásitos en orina: visualización directa positiva para Schistosoma haematobium. Ecografía urinaria: riñones y vía excretora urinaria normal. Vejiga moderadamente replecionada, observándose en pared anterior y lateral derecha dos imágenes polipoideas planas de 19,6 mm y 16,8 mm de longitud y de unos 9 mm de grosor, con escasa vascularización, compatibles con esquistosomiasis urinaria crónica (Figura 2). La evolución es la siguiente: en la consulta de Atención Primaria se inicia tratamiento con terbinafina (250 mg cada 24 horas durante 8-12 semanas) para la tiña del cuero cabelludo, y en el hospital, con praziquantel (20 mg/Kg, 2 veces al día, un día). Paralelamente, se realiza la revisión del calendario vacunal en la consulta de Enfermería y control evolutivo en consultas de Atención Primaria con resolución de las lesiones del cuero cabelludo y de la hematuria.

Figura 1. Tiña de cuero cabelludo
Figura 1. Tiña de cuero cabelludo
 
Figura 2. Imagen ecográfica compatible con esquistosomiasis urinaria crónica
Figura 2. Imagen ecográfica compatible con esquistosomiasis urinaria crónica
 

Caso 2

Niña de 10 años procedente de Nigeria, llegada a España hace 7 días (llegó sola en avión), donde convive con su madre y un hermano. Es traída al centro de salud por fiebre no termometrada desde hace 6 días, dolor abdominal y vómitos. Niega diarrea. No hay clínica miccional ni otro síntoma asociado. No aporta calendario vacunal. Exploración física: peso 32,5 kg; TA: 120/72; FC: 131 lpm; temperatura: 36,7 °C; SatO2: 96%. Adecuado estado general, nauseosa. Normocoloreada e hidratada. Auscultación normal. Exploración abdominal sin hallazgos. Exploración neurológica normal. Ante la presencia de fiebre sin foco aparente y vómitos incoercibles con antecedente de viaje reciente se remite a urgencias del hospital de referencia para continuar la atención. A su llegada, se realiza estudio de fiebre: test rápido de estreptococo de grupo A negativo y antígenos respiratorios negativos. Hemograma: Hb 13,2 g/dl; hematíes: 4,82 x 106/µl; hematocrito: 38,7%; VCM: 80,3 fl; ADE: 14%; plaquetas 276 000/µl; leucocitos: 5220/µl (eosinofilia 0%). Coagulación sin alteraciones. Perfil hepatorrenal sin alteraciones. PCR: 29 mg/l (normal <5 mg/l). Sedimento de orina sin alteraciones. Hemocultivo negativo. Parásitos en orina negativos. Radiografía de tórax sin hallazgos. Test rápido positivo para antigenemia de Plasmodium falciparum, negativo para P. ovale, Gota gruesa negativa. PCR positiva para Plasmodium falciparum. Serología: negativa para VHC, VHA, VEB, parvovirus B19, sífilis y VIH. Positivo para CMV, VEB, parotiditis, VVZ y sarampión (todas IgG). El estudio serológico para VHB es compatible con VHB pasada, Ag HBs negativo, Ac anti-HBc positivo, Ac anti-HBs positivo. Su madre aporta serología reciente por embarazo, negativa para VHB. Prueba de Mantoux negativa. La evolución fue la siguiente: recibió tratamiento con atovacuona/proguanil 250/100 (3 comprimidos/día durante 3 días). Acude a consulta al mes de tratamiento sin síntomas. En Atención Primaria se realiza actualización vacunal con DTP y meningitis ACWY, así como seguimiento por trabajo social.

DISCUSIÓN

La sistemática de la primera atención al paciente migrante, independientemente del motivo de consulta, debe incluir una anamnesis detallada incluyendo aspectos sociales y una exploración física completa. La visita de acogida debe realizarse siempre en un clima de confianza, empatía y escucha activa. El menor debe estar acompañado siempre que sea posible. Es importante minimizar barreras idiomáticas y culturales, y evitar los prejuicios. Recoger información sobre prácticas religiosas nos permitirá alertar sobre riesgos nutricionales o de mutilación genital. La exploración física y la somatometría nos informarán sobre la presencia de malnutrición aguda y/o crónica, así como sobre deficiencias nutricionales específicas (bocio, signos raquíticos…). Algunas cicatrices pueden informar de vacunaciones antiguas (BCG) o lesiones por rascado (sarna, filariasis, dermatosis infecciosas…). La valoración del desarrollo psicomotor permitirá sospechar retraso por deprivación o falta de estimulación, enfermedades congénitas no diagnosticadas, presencia de alteraciones sensoriales o detectar micro/macrocefalia de causa no familiar2,3.

El cribado ideal de la población migrante recién llegada “aparentemente sana” debe poder detectar toda enfermedad, no solo infecciosa, que constituya un problema importante de salud, por su prevalencia, gravedad o repercusión, y cuyo diagnóstico y tratamiento sea posible en fase de latencia4. Existen varías guías publicadas que proponen un cribado estándar con una analítica general y otro más específico según los antecedentes, síntomas, hallazgos en la exploración o alteraciones en las pruebas de primer nivel2-4. La indicación de realizar pruebas complementarias para el despistaje de enfermedades infecciosas obligará siempre a conocer la prevalencia mundial de las distintas enfermedades infecto-contagiosas2, así como sus características más relevantes5.

El hallazgo de una eosinofilia es común en personas procedentes del trópico. En ausencia de otros factores o entidades, como las enfermedades alérgicas, debe sugerir la presencia de una parasitosis importada6. En el caso del primer paciente concurría, además, una hematuria dolorosa macroscópica de larga evolución con urocultivo negativo, siendo muy sugestivo de una esquistosomiasis crónica urinaria. La esquistosomiasis es la enfermedad parasitaria con mayor morbimortalidad a nivel mundial después de la malaria. El número de casos importados en países occidentales se ha incrementado tanto por la llegada de migrantes procedentes de regiones endémicas como por sus viajes posteriores a su país de procedencia. Se han descrito brotes en los países receptores, por lo que se aconseja su cribado en migrantes procedentes de países endémicos que residan en Europa hace menos de 5 años7.

El caso de la segunda paciente es característico porque “toda fiebre procedente de África debe ser sospechosa de malaria, salvo que se demuestre lo contrario”. La malaria o paludismo es endémica en más de 100 países de África, Asia, América Latina, Caribe y Pacífico Sur. Es una enfermedad de declaración obligatoria en España y sus síntomas iniciales son inespecíficos, comunes a cualquier infección viral. Las personas procedentes de áreas hiperendémicas suelen desarrollar semi-inmunidad tras repetidas exposiciones al Plasmodium y pueden permanecer asintomáticas incluso con parasitemias positivas, por lo que es preciso su vigilancia activa en niños recién llegados procedentes de áreas endémicas8.

CONCLUSIÓN

Es importante recordar que su atención no se circunscribe únicamente a la visita de acogida, sino que su atención debe ser longitudinal, protocolizada, multidisciplinar y coordinada. Implica a todos los niveles asistenciales, Atención Primaria y hospital, holística en sus dimensiones (educación, social, laboral), y precisa la comunicación con médicos de familia, trabajadores sociales, profesores… para la atención integral del niño y su familia. Más allá de las recomendaciones a seguir a su llegada, también será preciso ofrecer las recomendaciones oportunas en caso de que viajen a sus países de origen, incluirlos en los programas preventivos y de promoción de la salud y ofrecerles o derivarles a dispositivos de ayuda social9.

Por último, cuidar nuestra comunicación verbal y no verbal, conocer al paciente y a su familia en todas sus dimensiones y aceptar sus diferencias socioculturales puede evitar su recelo, falta de adhesión y mejorar resultados en salud, siendo este el mayor reto de nuestra calidad asistencial10.

CONFLICTO DE INTERESES

Los autores declaran no presentar conflictos de intereses en relación con la preparación y publicación de este artículo.

RESPONSABILIDAD DE LOS AUTORES

Todos los autores han contribuido de forma equivalente en la elaboración del manuscrito publicado.

Los autores han remitido un formulario de consentimiento de los padres/tutores para publicar información de su hijos/as.

ABREVIATURAS

CMV: citomegalovirus · FC: frecuencia cardiaca · PCR: reacción en cadena de la polimerasa · TA: tensión arterial · VCM: volumen corpuscular medio · VEB: virus de Epstein-Barr · VHA: hepatitis A · VHB: hepatitis B · VHC: hepatitis C · VIH: virus de la inmudeficiencia humana · VVZ: virus de la varicela-zóster.

BIBLIOGRAFÍA

  1. Informe de la población extranjera empadronada en la Comunidad de Madrid realizado por el Observatorio de Inmigración Centro de Estudios y Datos, enero 2021. En: Comunidad de Madrid [en línea] [consultado el 26/11/2024]. Disponible en www.comunidad.madrid/sites/default/files/informe_de_poblacion_extranjera_enero_2021_0.pdf
  2. Masvidal i Aliberch R, Canadell i Villaret D. Actualización del Protocolo de Atención a las Niñas y Niños Inmigrantes. Revisión 2016. Form Act Pediatr Aten Prim. 2017;10:3-15.
  3. Schrier l, Wyder C, Del Torso S, Stiris T, Von Both U, Brandenberger J, et al. Medical care for migrant children in Europe: a practical recommendation for first and follow-up appointments. Eur J Pediatr. 2019;178(9):1449-67. https://doi.org/10.1007/s00431-019-03405-9
  4. Pérez Arellano JL, Carranza Rodríguez C. Estrategias de cribado en población inmigrante recién llegada a España. Enferm Infecc Microbiol Clin. 2016;34(1):45-52. https://doi.org/10.1016/j.eimc.2015.11.001
  5. Huerga H, López Vélez R. Enfermedades infecciosas en el niño inmigrante. Rev Pediatr Aten Primaria. 2002;4:73-80.
  6. Barberá Pérez PM, Javierre Miranda E, Collado Hernández MP, Amiguet Biain MR, Seral García C, García Sánchez N. Eosinofilia en el niño inmigrante, a propósito de un caso. Rev Pediatr Aten Primaria. 2017;19:e79-e81.
  7. Salas Coronas J, Pérez Pérez A, Roure S, Sánchez Peinador C, Santos Larrégola l, Arranz Izquierdo J, et al. Documento de consenso para el manejo de la esquistosomiasis en atención primaria. Aten Primaria. 2022;54(8):102408.
  8. García López Hortelano M, Fumadó Pérez V, González Tomé MI; Grupo de Trabajo de Enfermedades Tropicales de la Sociedad de Infectología Pediátrica (SEIP). Actualización en el diagnóstico y tratamiento de la malaria. An Pediatr (Barc). 2013;78(2):124.e1-8. https://doi.org/10.1016/j.anpedi.2012.06.007
  9. Masvidal Aliberch RM, Canadell Villaret D. Atención al niño y la niña inmigrantes. En: Guía de Algoritmos en Pediatría de Atención Primaria [en línea] [consultado 26/11/2024]. Disponible en: https://algoritmos.aepap.org/algoritmo/68/atencion-al-nino-y-la-nina-inmigrantes
  10. Macipe Costa RM, Gimeno Feliu l. Competencia cultural y población inmigrante: un reto cotidiano en nuestras consultas. Rev Pediatr Aten Primaria. 2011;13:299-319.