Vol. 12 - Num. 19
Seminarios
aServicio de Radiodiagnóstico. Hospital Infantil La Fe. Valencia. España.
Cómo citar este artículo: Cortina Orts H. Radiología pediátrica en Atención Primaria. Rev Pediatr Aten Primaria. 2010;12(Supl 19):s179-s189.
Publicado en Internet: 20-11-2010 - Número de visitas: 29559
Resumen
Revisión y puesta al día de claves de imagen decisivas, según el autor, en patología pulmonar, gastroenterología y sistema musculoesquelético, especialmente significativas por su frecuencia y actualidad.
Palabras clave
● Maltrato infantil ● Neumonía ● Reflujo gastroesofágico ● Tuberculosis pulmonarDurante los últimos años hay un clima de especial sensibilización en el entorno de la Pediatría a partir de la información, ahora conocida, acerca de los efectos cancerígenos evolutivos a raíz de la explosión de la bomba atómica. Sesenta años después se conocen las cifras directas de pacientes que, entonces en edad infantil, han alcanzado ahora edades propicias para la aparición de los diferentes tipos de cáncer. Hay mayor incidencia de cáncer, estadísticamente significativa, en la población irradiada en el rango de los 50 mSv, es decir, en el espectro de la radiología convencional y la tomografía computarizada (TC)1. Esta incidencia se incrementa por debajo de los diez años y progresa conforme se aproxima al periodo neonatal, relacionada con el mayor potencial de vida y la alta capacidad mitótica en estos años iniciales2.
Las radiaciones ionizantes son responsables de la radiación de fondo que recibe la población. La dosis media anual es de 2,4 mSv.
En la Directiva 1997-743/Euratom del Consejo de la Unión Europea de 30/6/972, se establece como orientación la “Guía de indicaciones para la correcta solicitud de pruebas de diagnóstico por imagen”3,4, que incluye el cuadro de equivalencias con respecto a la radiación ambiente, tomando como unidad la radiografía de tórax (dosis < 0,1 mSv). Las equivalencias significativas se muestran en la tabla 1.

Estos datos no justifican posturas radicales. El riesgo adicional de cáncer por la práctica de una radiografía de tórax es de 1/1 000 000. Y el de una TC de abdomen, por ejemplo, supone aproximadamente un incremento de 1/2000. Para un individuo concreto, considerando que el riesgo de la población general de padecer cáncer es de un 30%, el incremento del riesgo por estudios radiológicos es escasísimamente significativo. Por ello, se entiende que el riesgo individual ante una exploración tanto convencional como de TC es muy bajo, de forma que, para un caso concreto, si la exploración está indicada, el balance riesgo-beneficio favorece abrumadoramente al beneficio.
Pero cuando este factor se multiplica por el formidable número de estudios anuales practicados a la población se convierte en estadísticamente significativo. Por ello, hoy se admite que la irradiación diagnóstica con fines médicos supone un riesgo de Salud Pública5.
Las normas deben ir orientadas a vigilar e incrementar los sistemas de protección de pacientes en los servicios de Radiodiagnóstico y a eliminar toda exploración innecesaria.
La radiografía simple de tórax es, en más del 90% de casos, principio y fin de estudio en patología tanto aguda como crónica. La proyección anteroposterior es, de entrada, suficiente para un diagnóstico correcto6,7. Supone una reducción de dosis de un 60%.
Prácticamente desaparecido el Haemophilus influenzae y pérdida la agresividad del Staphilococcus aureus, el Streptococcus pneumoniae8-11 es el agente etiológico de neumonía más frecuente en la edad pediátrica. Durante los últimos 20 años algunas cepas han experimentado una resistencia progresiva con aparición de serotipos de alta agresividad y capacidad necrotizante.

Las lesiones provocadas por el Mycoplasma pneumoniae12 y los virus afectan directamente al epitelio ciliado de la tráquea a los bronquiolos terminales. Los hallazgos están relacionados con el menor tamaño de la luz bronquial, el escaso desarrollo inicial de los sistemas colaterales de ventilación y la mayor capacidad de secreción mucosa del pulmón pediátrico. El resultado es la preponderancia de la hiperinsuflación pulmonar valvular en la bronquiolitis del lactante. Más adelante, los patrones tanto de origen viral como por Mycoplasma pneumoniae muestran predominio de afectación reticular secundaria al edema bronquial y perivascular con áreas de enfisema o atelectasia por tapones mucosos y discretas áreas de alveolización.
El acúmulo de bacterias en las partículas infectadas genera un foco pulmonar, el chancro de Gohn. Es la primoinfección tuberculosa. Si los bacilos sobreviven son drenados por vía linfática a los ganglios regionales. El conjunto de chancro, linfangitis y adenopatías, el complejo de Ranke, significa enfermedad tuberculosa.
Se acepta que para el tratamiento de la primoinfección tuberculosa es suficiente la administración de un solo fármaco. La enfermedad tuberculosa precisa al menos de tres fármacos; es fundamental, por tanto, la diferenciación entre ambas fases.
El diagnóstico de enfermedad tuberculosa se sustenta en: constatación de entorno bacilífero y prueba de tuberculina positiva, que significan infección, y detección por imagen de adenopatías mediastínicas, que traduce extensión y, por tanto, enfermedad. Por ello, la radiología es crucial. De entrada, en un determinado número de pacientes, sobre todo en los casos Índice, la radiografía muestra las adenopatías mediastínicas (la proyección lateral es extraordinariamente útil para la identificación de las adenopatías mediastínicas subcarinales, muy frecuentes). El estudio radiológico ha finalizado.
Pero si la radiografía simple es negativa o dudosa, la TC muestra extraordinaria sensibilidad para la detección y caracterización de las adenopatías13-16 (hasta un 60%). No obstante, hay una controversia reciente basada en el predominio, en algunas series, de captación homogénea tras la administración de contraste, lo que indicaría ausencia de caseificación y un carácter únicamente reactivo, más próximo a la primoinfección17,18. No es, sin embargo, nuestra experiencia (figura 2).

Sospecha de anillo vascular. Los anillos vasculares más frecuentes son: arteria pulmonar izquierda aberrante y doble arco aórtico. Un esofagograma normal descarta anillo vascular.
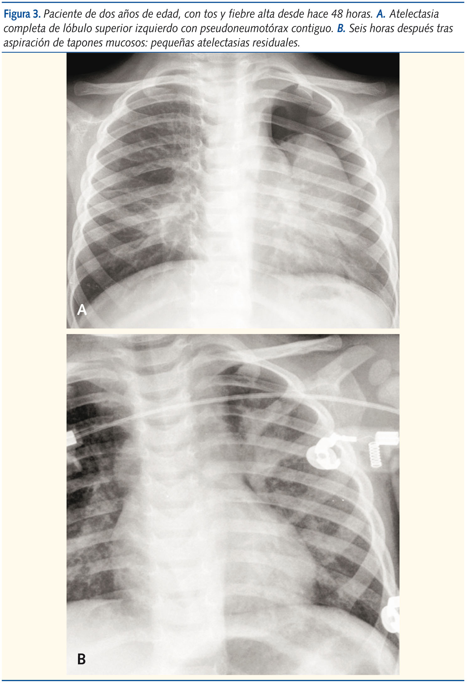
Contiguo a la atelectasia aguda de un lóbulo pulmonar, especialmente de los superiores, sobre todo derecho, por oclusión del bronquio correspondiente por cuerpo extraño o tapón mucoso en contexto de bronquiolitis, asma o proceso infeccioso (figura 3). Descrito por Berdon19, se sugiere que este gas no es aire, sino mezcla de componentes, predominantemente nitrógeno, procedentes de estructuras vasculares vecinas.

La atelectasia de larga duración obliga a contemplar la posibilidad de tumor intrabronquial a identificar mediante TC. El más frecuente es el tumor carcinoide (90%)20.
La indicación de la radiografía simple de abdomen es muy limitada. En el 95% de los casos supone una irradiación gratuita del paciente. Hay que recordar que equivale a 50 radiografías de tórax.
La radiografía simple no está indicada en: dolor abdominal inespecífico, preferentemente periumbilical; dolor abdominal recurrente21; y retención fecal.
Tránsito intestinal: no indicado, de entrada, en el reflujo gastroesofágico del lactante. Recordar que equivale a 150 radiografías de tórax22,23.
Claves diferenciales con respecto al adulto: elasticidad, capacidad de remodelación y presencia del cartílago de crecimiento.
Fractura del niño que empieza a caminar. El apoyo inestable provoca, en algún momento, una torsión del miembro inferior sobre sí mismo, que se traduce en una fractura espiroidea, casi siempre de tibia. Una fractura Toddler previa a la marcha es altamente sugestiva de síndrome de maltrato infantil.
No es patología de hospital de referencia: el tratamiento de las fracturas no tiene especial complejidad, y las secuelas radiológicas llegan a cualquier consulta externa o centro de Atención Primaria.

Forma parte de las deformidades prenatales de moldeamiento. Claves: asimetría de pliegues; posición espontánea en abducción de un miembro; acortamiento (aparente) del miembro contralateral; y, al nacimiento, maniobras de Barlow y Ortolani negativas.
El origen es una posición anómala intrauterina, en abducción, de un miembro. Al nacimiento, el hallazgo queda enmascarado por la postura espontánea de los miembros en flexión. Las maniobras de Ortolani y Barlow son negativas porque las caderas son normales. Cuando, más adelante, el lactante estira las piernas, se descubre en espontáneo la posición viciada en abducción de un miembro por contractura de su musculatura abductora. Cuando durante la exploración física en decúbito prono el pediatra pretende la rectificación de la postura anómala provoca un disbalance de pelvis que condiciona el aparente acortamiento del miembro contralateral y la asimetría de pliegues (figura 5). Patología de gran prevalencia. Habitualmente el pronóstico es excelente.

El autor declara no presentar conflictos de intereses en relación con la preparación y publicación de este artículo.