Vol. 12 - Num. 48
Notas clínicas
MS Montoro Romeroa, Blanca Juanes de Toledob, Enrique Medina Benítezc, Y Rodríguez Gild, A Ballén Barragánd
aMIR-Pediatría. Hospital Universitario 12 de Octubre. Madrid. España.
bPediatra. CS El Espinillo. Madrid. España.
cSección de Gastroenterología, Hepatología y Nutrición Pediátrica. Servicio de Pediatría. Hospital Universitario 12 de Octubre. Madrid. España.
dServicio de Anatomía Patológica. Hospital Universitario 12 de Octubre. Madrid. España.
Cómo citar este artículo: Montoro Romero MS, Juanes de Toledo B, Medina Benítez E, Rodríguez Gil Y, Ballén Barragán A. Colitis ulcerosa: a propósito de un caso. Rev Pediatr Aten Primaria. 2010;12:633-9.
Publicado en Internet: 14-01-2011 - Número de visitas: 32511
Resumen
La incidencia de la enfermedad inflamatoria intestinal ha experimentado un aumento en los últimos años, y los recientes avances aparecidos, tanto en su diagnóstico como en su tratamiento, obligan a reenfocar el problema desde Atención Primaria. Por eso nos ha parecido oportuno presentar un caso reciente de colitis ulcerosa atendido en nuestro centro.
Palabras clave
● Atención Primaria ● Colitis ulcerosa ● Enfermedad inflamatoria intestinalCuando hablamos de enfermedad inflamatoria intestinal (EII) nos estamos refiriendo a un grupo de trastornos inflamatorios crónicos, de etiología desconocida y de carácter sistémico, que afectan fundamentalmente al tubo digestivo, y que cursan en forma de reagudizaciones y remisiones. Tanto la enfermedad de Crohn (EC) como la colitis ulcerosa (CU) han aumentado su incidencia en los últimos años, debutando uno de cada tres o cuatro casos durante la edad pediátrica1. La implicación del pediatra de Atención Primaria (AP) tanto en la orientación diagnóstica precoz como en el manejo posterior de estos pacientes crónicos, intentando preservar un crecimiento y desarrollo óptimos2,3, es de suma importancia.
Varón de 11 años de edad, controlado en la consulta de AP por un cuadro de diarrea y pérdida de peso no cuantificada de un mes de evolución. Refiere deposiciones líquidas y explosivas, en número de 5-10 al día, con sangre roja y moco sin pus, que no ceden con el ayuno y le despiertan por la noche. Este cuadro no ha mejorado con suero de rehidratación oral y probióticos. No refiere antecedentes personales ni familiares de interés, viajes recientes ni ambiente epidémico familiar. El paciente es remitido a su hospital de referencia, iniciándose estudio en el Servicio de Gastroenterología Infantil.
Exploración física: peso de 60 kg (> P97); talla de 161 cm (> P97); TA 123/85 mm Hg; temperatura 36,7 ºC; frecuencia cardiaca 82 lpm. Buen estado nutricional; buen estado general; normocoloreado, bien hidratado y nutrido. Sin exantemas ni petequias. Cabeza y cuello: sin masas cervicales. Auscultación cardiaca y pulmonar: normal. Abdomen: blando y depresible, doloroso a la palpación profunda a nivel periumbilical y del flanco izquierdo; sin hepatoesplenomegalia. Inspección anal: eritema perianal sin fisuras. Resto de la exploración por aparatos normal.
Analítica: leucocitos 12 900/µl (70,7% neutrófilos); hemoglobina 13,9 g/dl; hematocrito 41,6%; plaquetas 375 000/µl; glucosa 99 mg/dl; albúmina 3,88 g/l; sodio 139 mEq/l; creatinina 0,64 mg/dl; hierro 29 mg/dl; transferrina 218 mg/dl; ferritina 66 ng/ml; TIBC 307 µg/dl; saturación de la transferrina 9%; IgG 1130 ng/ml, IgA 125 ng/ml, IgM 82 ng/ml; anticuerpos IgA-antigliadina negativos; anticuerpos IgA-antitransglutaminasa negativos; proteína C reactiva 4,66 mg/dl.
Evolución: al segundo día del ingreso presenta pico febril de 39 ºC. Estudio microbiológico: hemocultivos negativos; coprocultivo, parásitos, toxina de Clostridium difficile y antígeno de rotavirus en heces: negativo. Serologías negativas para virus de las hepatitis A, B y C, citomegalovirus y virus Epstein Barr.
Se realiza una ecografía abdominal, que se informa como engrosamiento mural de colon transverso y colon izquierdo, con cambios inflamatorios de grasa adyacente y presencia de adenopatías locorregionales. Se complementa con una resonancia magnética (RM) que confirma los hallazgos ecográficos, sin encontrar afectación del intestino delgado.
Se realiza una colonoscopia, introduciendo el endoscopio hasta lo que parece corresponder al ángulo esplénico. Se observa afectación continua con una mucosa muy friable al roce y se toman muestras a 100, 70, 55, y 45 cm del margen anal. A la retirada del endoscopio se aprecia afectación de la mucosa rectal de aspecto petequial y sin otras lesiones focales.
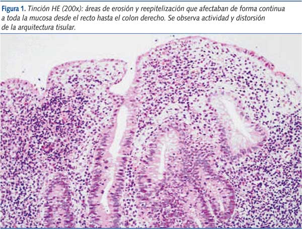
En todas las muestras para estudio histopatológico se observaron lesiones que eran continuas y afectaban a todos los fragmentos. Las lesiones correspondían a erosiones con reepitelización de forma continua (figura 1).

Había distorsión de la arquitectura que demostraba afectación crónica. Además, el grado de actividad en el momento de la biopsia era de moderado a intenso, con presencia de microabcesos y criptitis frecuentes (figura 2). No se observaron granulomas. No había imágenes de ulceración transmural, y las lesiones estaban limitadas a la mucosa (epitelio y corion), con escasa afectación de la submucosa.

Ante los hallazgos de la colonoscopia y la afectación del estado general, se decide comenzar tratamiento con corticoides IV a 60 mg/día (durante cuatro días para pasar a vía oral posteriormente) y mesalazina oral 1 g/8 horas.
Tras la mejoría, es dado de alta hospitalaria a los diez días del ingreso con el diagnóstico de posible colitis ulcerosa y tratamiento ambulatorio con mesalazina (1 g/8 horas, vía oral), metilprednisolona (40 mg/día, vía oral) y omeprazol (20 mg/día, vía oral).
La incidencia de la EII ha aumentado en los últimos años y hasta un 30% de los casos debuta en la infancia. Dentro de esta, la CU se puede definir como un proceso inflamatorio crónico de la mucosa del colon de forma continua desde el recto, y en una extensión variable; biopsia sin granulomas, y curso con reagudizaciones y remisiones. La prevalencia de la CU en España es de 70-150/100 000 habitantes, y de la EC de 60-120/100 000 habitantes, con una incidencia de 8/100 000 y 5,5/100 000 habitantes, respectivamente4. Es por ello una patología que debemos tener en cuenta en el diagnóstico diferencial de la diarrea crónica en nuestras consultas, sobre todo en adolescentes.
Siguiendo los criterios de Oporto5, el diagnóstico de la EII debe contemplar la localización de la enfermedad, su extensión en el tracto gastrointestinal, y la actividad del proceso inflamatorio a lo largo de su evolución:

El tratamiento de la EII2 se ha basado clásicamente en la combinación de aminosalicilatos, corticoides y antibióticos, junto con algunos inmunosupresores y las nuevas terapias biológicas. Dentro de los aminosalicilatos, están los inhibidores de la lipooxigenasa (5-ASA y mesalazina). Tienen un papel antiinflamatorio y anticarcinogénico, pero pueden presentar efectos secundarios hasta en un 40% de los casos. Entre los corticoides, la prednisona, la metilprednisolona y recientemente la budesonida, tanto oral como en enemas locales (con menos efectos secundarios), inducen mejoría clínica de un 60-90% de los pacientes, aunque no histológica. Se ha usado el metronidazol con el fin de disminuir la concentración de bacterias, inflamación de la mucosa y respuesta inmunitaria celular. Los inmunomoduladores (AZA-6MP) se utilizan en EC y pancolitis severas desde el momento del diagnóstico, junto con nutrición enteral exclusiva. Hay que sopesar riesgo-beneficio ante la posible aparición de mielosupresión o procesos linfoproliferativos. Dentro de las terapias biológicas, el infliximab y el adalimumab (anticuerpos monoclonales antifactor de necrosis tumoral alfa) han cambiado el tratamiento de la EII y se utiliza en la CU moderada-grave. Posiblemente sea utilizable como primera línea de tratamiento por su alta efectividad al inducir remisión clínica e histológica rápida en el 75% de los enfermos, disminuir las recaídas, el uso de corticoides, evitando pérdida de masa ósea y las secuelas de la enfermedad.
En definitiva, el pediatra de AP puede sospechar el diagnóstico, controlar el desarrollo psicológico y nutricional del niño con EII y la posible utilización de terapias alternativas6; y valorar la actividad de la enfermedad ante la aparición de nuevos brotes que precisen intensificación o cambios en el esquema nutricional y/o terapéutico.
Los autores declaran no presentar conflictos de intereses en relación con la preparación y publicación de este artículo.