Vol. 15 - Num. 57
Notas clínicas
Joan Martí Fernándeza, C Espinosa Farronab
aPediatra. CAP La Marina. Barcelona. España.
bMIR-Medicina Familiar y Comunitaria. CS La Marina. Barcelona. España.
Correspondencia: J Martí. Correo electrónico: 57marti@gmail.com
Cómo citar este artículo: Martí Fernández J, Espinosa Farrona C. Enfermedad de Iselin; un caso en un joven deportista. Rev Pediatr Aten Primaria. 2013;15:69-72.
Publicado en Internet: 02-04-2013 - Número de visitas: 356439
Resumen
La enfermedad de Iselin es una patología ortopédica del joven deportista infradiagnosticada hasta el momento. Se trata de una osteocondrosis de la apófisis del quinto metatarsiano producida por la tracción repetida del músculo peroneo lateral corto. Esta patología podría llevar a confusión con otros cuadros más graves como son las fracturas (estrés, fractura de Jones) en la región proximal del quinto metatarsiano.
Se revisan la clínica y el diagnóstico radiológico, destacando la importancia de la proyección oblicua, para la mejor visualización del centro de osificación, y de la radiología bilateral comparativa. Las líneas de fractura suelen ser transversas al eje metafisodiafisario del quinto metatarsiano, mientras que en la enfermedad de Iselin la afectación del núcleo de osificación suele ser oblicua a dicho eje.
La importancia de un correcto diagnóstico es fundamental para el tratamiento posterior, ya que en la enfermedad de Iselin el tratamiento será conservador, con una rápida recuperación, mientras que en las fracturas la inmovilización y el tiempo de inactividad física serán mayores, con la consiguiente repercusión sobre la actividad deportiva y académica del joven.
Palabras clave
● Adolescente ● Enfermedad de Iselin ● Hueso metatarsiano ● Medicina deportiva ● OsteocondrosisLa enfermedad de Iselin, o apofisitis de la base del quinto metatarsiano, fue descrita por primera vez en adolescentes por Iselin en 19121. Considerada una patología rara, hasta 1999 solo se habían descrito nueve casos2. En la actualidad, con el aumento de actividad deportiva tanto en jóvenes como en adolescentes, su frecuencia debería ser mayor.
La apófisis estiloides de la base del quinto metatarsiano se desarrolla entre los 9 y los 11 años en las niñas y entre los 11 y los 14 años en los niños, fusionándose dos o tres años después. Esta apófisis es pequeña, tiene forma de concha y se localiza en la cara plantar externa de la tuberosidad de la base del metatarsiano, dentro del alerón cartilaginoso en el que se inserta el músculo peroneo lateral corto1,2.
Se cree que es una lesión debida a la presión excesiva repetida que se ejerce sobre la apófisis durante las actividades deportivas y a la tracción que también ejerce la inserción del músculo peroneo lateral corto. La participación en deportes que condicionan tensiones en eversión anterior del pie es un factor común en estos pacientes1,3,4. Es por ello que se considera una osteocondrosis (apofisitis) debida a dicha tracción sobre la base del quinto metatarsiano.
La clínica se suele iniciar de forma insidiosa, aunque una simple torcedura de tobillo podría desencadenar un inicio agudo de los síntomas. Consiste en dolor en el borde externo del pie que empeora con la actividad y mejora con el reposo, pudiendo cojear o caminar apoyando el lado interno del pie. Además, el examen físico puede demostrar edema de partes blandas y eritema. La eversión contra resistencia, la flexión plantar extrema y la dorsiflexión del pie causarán dolor5.
Para el diagnóstico de enfermedad de Iselin, los hallazgos radiológicos se deberán correlacionar con los síntomas. Se realizarán radiografías anteroposterior, lateral y oblicua de los pies. En esta última, se observará la separación, y en ocasiones fragmentación, de la apófisis y el ensanchamiento en la región del cartílago de crecimiento1,2,5.
El tratamiento consiste en el cese de la actividad deportiva, la aplicación de frío, la administración de antiinflamatorios y la inmovilización, si fuera necesaria para controlar el dolor, retomando la actividad deportiva de forma progresiva entre unas 2-4 semanas después. De forma excepcional, se podría recurrir a tratamiento quirúrgico1,5.
Paciente varón de 11 años que acude por una contusión en la parte lateral del pie derecho. Durante la exploración, presenta cierta tumefacción sin hematoma y escaso dolor en la cara lateral del pie, siendo el tobillo normal. Al no sospechar fractura, se recomienda inmovilización y reposo físico relativo, además de tratamiento analgésico, indicando control en una semana según la evolución clínica. Transcurrido el periodo de inmovilización, acude a consulta, se retira la inmovilización y, ante la ausencia de sintomatología, se da de alta, retomando su actividad física habitual como portero de waterpolo.
Al cabo de dos semanas, acude a Urgencias del centro de salud por persistencia de dolor en la cara lateral del pie derecho. Ha estado practicando waterpolo y niega antecedente traumático en este periodo de tiempo. En la exploración destaca la presencia de dolor y tumefacción a nivel proximal del quinto metatarsiano del pie derecho, por lo que se realizan una radiología frontal (Fig.1) y otra lateral de dicho pie, informándose como posible fractura de Jones.

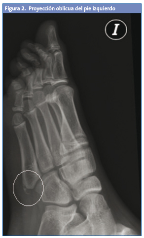
Posteriormente, es valorado por su pediatra, que observa tumefacción no dolorosa también en el pie izquierdo; al tratarse de un preadolescente que realiza deporte de forma habitual, sin un antecedente traumático conocido, y ante la sospecha de posible apofisitis, decide realizar una radiología bilateral oblicua, que presenta una imagen de fragmentación en la base del quinto metatarsiano de ambos pies (Figs. 2 y 3).


Se diagnostica de apofisitis del quinto metatarsiano, también conocida como enfermedad de Iselin, recibiendo tratamiento analgésico y antiinflamatorio, junto con reposo deportivo hasta la desaparición del dolor.
El paciente ha vuelto a la práctica de su actividad deportiva sin presentar molestias de nuevo.
Este caso pretende recordar a los pediatras la enfermedad de Iselin, un proceso que hasta hace unos años se consideraba una enfermedad rara, pero que en la actualidad, con el aumento de la práctica deportiva en niños y adolescentes, será más frecuente.
Se debe pensar en ella ante un paciente de unos 9 a 14 años, más frecuentemente varón, que practica deporte de forma regular, con dolor en la región externa plantar de inicio insidioso, sin antecedente traumático, en ocasiones con historia de torcedura de tobillo, que presenta una inflamación en la región proximal de la cabeza del quinto metatarsiano y un dolor que empeora con la actividad física1,4,5.
En la exploración, podemos desencadenar el dolor con la eversión pasiva o contra resistencia, o con la flexión plantar extrema más inversión del pie.
La confirmación diagnóstica nos la proporciona la radiología oblicua4,5, ya que la anteroposterior y la lateral pueden no mostrar con claridad el centro de osificación. En dicha radiografía oblicua, podemos observar un aumento o fragmentación de la epífisis y un ensanchamiento de la unión cartilaginosa. La proyección oblicua y la radiología comparativa de ambos pies son de gran utilidad para la confirmación diagnóstica.
Respecto al diagnóstico diferencial, deberíamos tener en cuenta la edad del paciente, ya que, en niños más jóvenes, podría ser más frecuente la apofisitis, y en niños mayores, una fractura (Jones, avulsión). A nivel radiológico, en la porción proximal del quinto metatarsiano se pueden presentar tres fracturas diferentes: dos agudas y una tercera crónica por sobrecarga. De las dos agudas, una es la fractura por avulsión de la tuberosidad del quinto metatarsiano y otra en la unión metafisodiafisaria a 1,5 cm de la tuberosidad, conocida como fractura de Jones. La tercera sería una fractura de estrés que ocurriría en la región más proximal a la diáfisis4.
Además, en algunos casos, se puede apreciar un hueso accesorio variante de la normalidad llamado os vesalianum o hueso navicular.
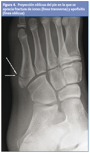
Radiológicamente, estas fracturas suelen presentar una línea transversa al eje metafisodiafisario del quinto metatarsiano, mientras que en la enfermedad de Iselin la imagen de la apófisis es oblicua a dicho eje (Fig. 4).

La importancia del diagnóstico diferencial radica en que, en el caso que nos ocupa de Enfermedad de Iselin, el tratamiento será conservador (reposo, antiinflamatorios, etc.), pudiendo reiniciar la actividad física en un corto periodo de tiempo, mientras que en las fracturas el tratamiento será más agresivo, con un periodo de inmovilización mayor y más lenta recuperación de su actividad deportiva6.
Los autores declaran no presentar conflictos de intereses en relación con la preparación y publicación de este artículo.