Vol. 16 - Num. 64
Notas clínicas
Jorge Olivares Ortiza, María Lorenzo Ruizb, Cristina Notario Muñozb, Gonzalo Botija Arcosc
aPediatra. CS Barcelona. Móstoles. Madrid. España.
bMIR-Pediatría. Servicio de Pediatría. Hospital Universitario Fundación Alcorcón. Alcorcón. Madrid. España.
cSección de Gastroenterología, Hepatología y Nutrición. Servicio de Pediatría. Hospital Universitario Fundación de Alcorcón. Madrid. España.
Correspondencia: J Olivares. Correo electrónico: jorge.olivares@salud.madrid.org
Cómo citar este artículo: Olivares Ortiz J, Lorenzo Ruiz M, Notario Muñoz C, Botija Arcos G. Ecografía en la consulta (n.º 1): quiste de uraco infectado, causa poco frecuente de dolor abdominal en Pediatría. Rev Pediatr Aten Primaria. 2014;16:331-4.
Publicado en Internet: 09-09-2014 - Número de visitas: 52269
Resumen
El uraco es un remanente embriológico de la alantoides que puede dar lugar a diferentes anomalías, entre las que destaca el quiste de uraco.
Se presenta el caso de un varón de cuatro años que consulta por dolor abdominal hipogástrico, fiebre y disuria. La tira reactiva de orina es normal; se realiza una ecografía abdominal que identifica en la región umbilical, inmediatamente por debajo de la pared abdominal y en dudosa comunicación con la vejiga, una imagen tubular lobulada que podría tratarse de un quiste de uraco complicado. Ingresa en el hospital para tratamiento antibiótico intravenoso y en un segundo tiempo se realiza la exéresis quirúrgica de la estructura anómala.
El uraco es un remanente embriológico de la alantoides que se convierte en un cordón fibromuscular que se extiende desde la cúpula vesical hasta el ombligo. Si no hay una involución completa del uraco al nacer, puede dar lugar a diferentes anomalías, de las que el quiste uracal representa el 30%. Los quistes uracales suelen ser asintomáticos hasta que debutan en forma de complicaciones, siendo la infección la más frecuente. Para el diagnóstico es útil la ecografía. El tratamiento es antibiótico y el drenaje, y en un segundo tiempo la cirugía. Conviene considerar esta patología en el diagnóstico diferencial del niño con dolor abdominal y sintomatología miccional.
Palabras clave
● Ecografía ● Quiste de uraco infectado ● UracoEl uraco es un remanente embriológico de la alantoides, que une la vejiga con el ombligo. Cuando este no se oblitera completamente da lugar a diferentes anomalías uracales, entre ellas el quiste de uraco. Tiene una prevalencia de 1 de cada 5000 nacimientos y suele permanecer asintomático, hasta que debutan clínicamente sus complicaciones. La complicación más frecuente es la infección y da lugar a un cuadro clínico peculiar y característico, cuyo conocimiento permitirá un diagnóstico y tratamiento precoces.
Niño de cuatro años, sin antecedentes de interés, que consulta por dolor abdominal periumbilical e hipogástrico de cuatro días de evolución, de tipo continuo que mejora con analgesia y que le ha llegado a despertar por la noche. En las 24 horas previas inicia un cuadro febril con temperatura máxima de 39,8 °C, coincidente con disuria en todas las micciones, sin que se apreciara hematuria macroscópica, ni tampoco otros síntomas respiratorios ni digestivos.
En la exploración física solo llama la atención el dolor abdominal hipogástrico en la línea media y la fosa iliaca izquierda, con unos genitales externos normales y sin signos inflamatorios en el meato uretral.
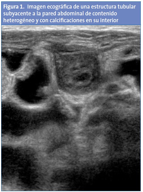
Se realiza una tira reactiva de orina que es normal y, ante la sospecha de un cuadro infeccioso intraabdominal, se realiza una ecografía abdominal en el centro de salud en la que se aprecia en la región umbilical, inmediatamente por debajo de la pared abdominal y en dudosa comunicación con la vejiga, una imagen tubular lobulada de unos 5x2 cm, heterogénea, con flujo Doppler periférico y áreas hiperecogénicas puntiformes compatibles con calcificaciones (Figs. 1 y 2).


Con estos datos clínicos y ecográficos, se sospecha que podría tratarse de un quiste de uraco complicado, por lo que se deriva a Urgencias del hospital de referencia, donde se realiza una analítica, en la que destaca un hemograma con leucocitosis de 16 860/mm3, neutrofilia del 80%, trombocitosis de 473 000/mm3 y proteína C reactiva de 56,8 mg/l, se realizan también una ecografía y una tomografía computarizada (TC) que confirman la sospecha diagnóstica.
Se ingresa al paciente para antibioterapia intravenosa y se realiza drenaje bajo control ecográfico, del que se obtiene un material denso, purulento y hemorrágico, de cuyo cultivo se aísla Morganella morganii, ajustándose el tratamiento antibiótico según antibiograma. En un segundo tiempo, se realiza la cirugía que permite la resección de la estructura anómala.
El uraco es un remanente embriológico de la alantoides, la cual se continúa con la vejiga durante el desarrollo fetal. Entre los cuatro y los seis meses de gestación, el uraco se estrecha y se convierte en un cordón fibromuscular que se extiende desde la cúpula vesical hasta el ombligo1. El uraco se sitúa entre la fascia tranversalis anteriormente y el peritoneo posteriormente. Histológicamente consta de un revestimiento interior de epitelio transicional (70%) o cuboideo (30%), rodeado de una capa submucosa de tejido conectivo y una capa de músculo liso externa que tiene continuidad con el detrusor2. Al nacer, la involución del uraco normalmente ha sido completa, pero si no ha sido así, puede dar lugar a una persistencia del uraco (o fístula de uraco), un seno uracal, un divertículo vesicouracal o un quiste de uraco. El quiste uracal representa el 30% de estos defectos congénitos y se produce por una obliteración parcial del uraco, al cerrarse los extremos cutáneo y vesical, quedándose una cavidad quística.
Los quistes uracales suelen ser pequeños y asintomáticos hasta que debutan en forma de complicaciones3. Estas son infección, cálculos, sangrado, rotura, fístula al intestino, obstrucción intestinal y del tracto urinario, desarrollo de enfermedad de Reiter y malignización. La más frecuente es la infección. La vía de infección puede ser linfática, hematógena o vesical. El microoganismo más frecuentemente aislado en el quiste de uraco es el Staphylococcus aureus, siendo responsables también otros microorganismos (aerobios, anaerobios, bacilos grampositivos intestinales, bacilos gramnegativos de origen urinario e incluso hongos).
En ocasiones la presentación es clara y el diagnóstico es clínico. Suele manifestarse con fiebre, dolor abdominal inferior, clínica miccional con o sin infección urinaria y en ocasiones masa palpable suprapúbica. Se recomienda la ecografía como estudio diagnóstico inicial, ya que presenta un porcentaje de éxito para este diagnóstico del 75-100%. La TC no suele ser necesaria, pero puede resultar útil para diferenciar esta patología de otros procesos intraabdominales, como una diverticulitis o una apendicitis.
El tratamiento del quiste de uraco dependerá de si presenta o no complicaciones asociadas. En el caso de que esté infectado se aconseja tratamiento antibiótico, y en ocasiones es necesario el drenaje del quiste; posteriormente se realizará cirugía en un segundo tiempo4. De esta forma se obtienen menos complicaciones posoperatorias y un menor tiempo de estancia hospitalaria. En los quistes de uraco no complicados también se recomienda la exéresis quirúrgica, ya que existe la posibilidad de degeneración tardía, en una proporción de 1/5 000 000, a adenocarcinoma, sarcoma o carcinoma de células transicionales. La cirugía tiene lugar a través de una incisión infraumbilical o bien por acceso laparoscópico. Se realiza la exéresis completa de la lesión acompañada de un rodete de la cúpula vesical, ya que el drenaje simple se asocia a un 30% de recurrencias.
Los autores declaran no presentar conflictos de intereses en relación con la preparación y publicación de este artículo.
ABREVIATURAS: TC: tomografía computadorizada.