Vol. 19 - Num. 76
Revisiones
Júlia Morata Albaa, Laia Morata Albab
aServicio de Pediatría. Hospital Lluís Alcanyís. Játiva. Valencia. España.
bMédico de Familia. CS Enguera. Departamento Xàtiva-Ontinyent. Valencia. España.
Correspondencia: J Morata. Correo electrónico: juliamorataalba@gmail.com
Cómo citar este artículo: Morata Alba J, Morata Alba L. Vómitos y dolor abdominal: a veces nos pueden sorprender. Rev Pediatr Aten Primaria. 2017;19:367-71.
Publicado en Internet: 27-10-2017 - Número de visitas: 27542
Resumen
La incidencia de litiasis renal se ha multiplicado por cinco en las últimas décadas, siendo la modificación de los patrones alimenticios una de las principales causas. La recurrencia de la enfermedad es muy frecuente si no se diagnostican las causas y se tratan precozmente. La hipercalciuria es la causa más frecuente de litiasis en la infancia, pero existen otras alteraciones metabólicas implicadas que deben descartarse.
Palabras clave
● Hipercalciuria ● NefrolitiasisLa litiasis renal afecta al 5-12% de la población de los países industrializados antes de los 70 años de edad. Sin entrar en los complejos mecanismos fisicoquímicos necesarios para la formación de los cálculos, la litiasis pasa por una serie de etapas que concurren en la formación y crecimiento del cálculo. La primera etapa es la de sobresaturación de la orina. La segunda, la de germinación cristalina. La siguiente es la de aumento de tamaño de las partículas formadas, ya sea por el crecimiento de los cristales o por la agregación de estos entre sí y, finalmente, la cuarta etapa es la de retención de una o varias de las partículas formadas en un túbulo renal, en la pared de una papila o en las vías urinarias1,2.
Se han identificado tres vías que conducen a la formación de los cálculos: el sobrecrecimiento de las placas intersticiales de apatita (formación idiopática de cálculos de oxalato cálcico, hiperparatiroidismo primario, pacientes portadores de ileostomía y de intestino delgado resecado), los depósitos (cistinuria, hiperoxaluria) y la cristalización libre en solución en forma de cristales en los túbulos (casi todas las causas de litiasis)3. La saturación urinaria puede elevarse hasta permitir la formación espontánea de cristales y cálculos por alguno de los siguientes mecanismos:
Niña de 5 años de edad que acudió a Urgencias por vómitos de contenido alimentario desde la mañana del ingreso. No presenta fiebre. Ha realizado tres deposiciones de consistencia normal y tiene dolor abdominal difuso sin saber precisar su localización. No hay síndrome miccional, ni otra clínica referida. En los antecedentes personales destacaba un episodio de hematuria macroscópica dos años antes, siendo diagnosticada de glomerulonefritis aguda posinfecciosa y con buena evolución. No existen antecedentes familiares de interés, solo habría que destacar la ausencia de litiasis salvo litiasis vesical en la abuela materna, sin saber precisar más datos.
Al ingreso la paciente está apirética, con peso y talla por encima del percentil 97; el resto de constantes son normales. Presenta un regular aspecto general por palidez cutánea, no de mucosas, con el abdomen no distendido pero con molestia difusa a la palpación, con maniobras apendiculares negativas y dolor a la palpación en región lumbar derecha.
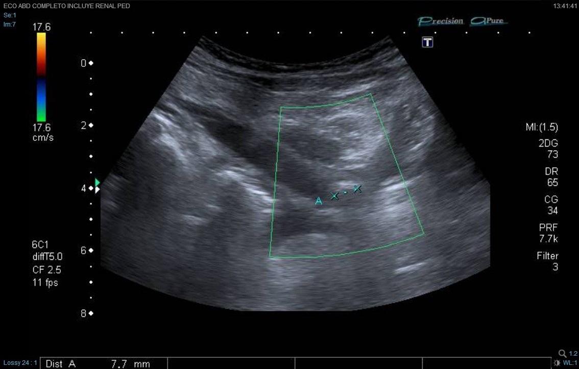
Ante los vómitos y la exploración abdominal se solicitaron: sedimento de orina pH 5, densidad 1030, hematíes 150/µl, proteínas 75 mg/dl, uratos amorfos; hemograma normal; química (función renal, proteínas totales, albúmina, electrolitos incluyendo Na, K, Cl, Ca, Mg, fósforo) normal; urinocultivo negativo; coprocultivo y virus en heces negativo; radiografía de abdomen normal, no se visualiza imagen de litiasis; ecografía abdominal (Figs. 1 y 2): cálculo de 7-8 mm, casi en el meato ureteral derecho, a 5-6 mm de la vejiga, con moderada ureterohidronefrosis proximal. No había líquido libre intraperitoneal. No se observa apéndice engrosado. El riñón y la vía excretora urinaria izquierdos no mostraban alteraciones.
Se diagnosticó de cólico nefrítico derecho y se inició tratamiento con fluidos intravenosos y analgesia con ibuprofeno y metamizol. Los vómitos desaparecieron en las primeras horas de ingreso. El dolor mejoró, sin llegar a su desaparición completa, pero no expulsó la litiasis. Ecográficamente no hubo cambios ni complicaciones.
Estudio analítico en sangre normal, incluyendo función renal y electrolitos, fosfatasa alcalina, hormona paratiroidea y vitamina D. En los cocientes urinarios de micción aislada destacaron: Ca/Cr 0,33 mg/mg, EFNa 1 ml/100 ml, EFK 4,02 ml/100 ml y EFCl 1,6 ml/100 ml. El estudio de orina de 24 horas fue normal, salvo por una eliminación urinaria de calcio de 4,2 mg por kg de peso y día. Citrato, oxalato y cistina en orina normales. Los datos apoyaban que se tratase de una litiasis secundaria a hipercalciuria.
Para ayudar a la expulsión del cálculo se asoció al tratamiento un α-bloqueante, pero ante la no expulsión de la litiasis con el paso de los días y dado el tamaño de esta, en el límite superior para su expulsión espontánea, se remitió para litotricia extracorpórea.
El diagnóstico de litiasis renal se realiza ante la presencia de uno o varios cólicos nefríticos. En niños, se puede detectar la existencia de anomalías metabólicas causantes de cálculos antes de que exista evidencia de la formación de los mismos (prelitiasis).
La ecografía ha supuesto un gran avance en el diagnóstico de los cálculos, especialmente en niños, en los que suelen ser de pequeño tamaño. El aspecto típico es el de una imagen hiperecogénica con sombra sónica posterior.
El aspecto radiológico puede ser de ayuda para el diagnóstico etiológico1. Un aspecto francamente radiopaco indica una composición preponderantemente cálcica (oxalato cálcico monohidrato y dihidrato, fosfato cálcico y carbonato). Los ligeramente radiopacos son habitualmente de cistina, fosfato amónico magnésico (estruvita) o ácido úrico con cantidades variables de calcio. Los cálculos mixtos, con estratos alternativos opacos y claros, sugieren una litiasis mixta úrico-cálcica. Los cálculos radiotransparentes están compuestos de ácido úrico/uratos, xantina, 2,8-dihidroxiadenina o causados por medicamentos (indinavir, sulfamidas, glafenina y otros)4.
En la práctica clínica suelen determinarse en orina calcio, ácido úrico, oxalato, cistina, citrato y magnesio. Se miden en orina de 24 horas (Tabla 1). Se puede hacer un estudio inicial de despistaje con cocientes urinarios en micción aislada.
| Tabla 1. Valores de normalidad para edad pediátrica, en parámetros urinarios de 24 horas | |
|---|---|
| Parámetro | Valor normal |
| Calciuria | < 4 mg/kg/24 horas (para García Nieto, 2,38 + 0,7 mg/kg/día) |
| Citraturia | > 4,5 mg/kg/24 horas |
| Magnesuria | > 1 mg/kg/24 horas |
| Fosfaturia | < 21,6 mg/kg/24 horas |
| Uricosuria | < 815 mg/24 horas/1,73 m2 |
| Oxaluria | < 40 mg/24 horas/1,73 m2 |

Existen alteraciones metabólicas que pueden influenciarse por el tipo de alimentación que contribuyen a la formación de cálculos urinarios. La más frecuente en la infancia es la hipercalciuria idiopática.
La hipercalciuria idiopática (HI) se define por un aumento mantenido en la eliminación urinaria de calcio, en ausencia de hipercalcemia y de otras causas conocidas de hipercalciuria. La prevalencia en población sana, según los países, se encuentra entre el 2,9 y el 6,5%1. Es la causa más frecuente de litiasis renal tanto en la edad pediátrica como en la adulta (el 40% en niños y el 60% en adultos).
En mayores de dos años, la presencia de un índice calcio/creatinina > 0,21 mg/mg o calciuria superior a 4 mg/kg/día en al menos, dos muestras de orina, es indicativo de hipercalciuria. Se debe descartar hipercalciuria ante la presencia de hematuria, infecciones urinarias de repetición, incontinencia, enuresis y dolor abdominal recurrente1,4,5.
La mayoría de los cálculos ureterales se expulsan de manera espontánea. La medida terapéutica más urgente es la analgesia. Los estudios clínicos han demostrado que los antiinflamatorios no esteroideos proporcionan un alivio eficaz. Se recomienda iniciar la analgesia con diclofenaco siempre que sea posible y utilizar un medicamento alternativo cuando persista el dolor (metamizol, pentazocina, tramadol)1,6.
Cuando el cálculo no se expulsa de modo espontáneo, se ha demostrado que los α-bloqueantes lo facilitan (tamsulosina en dosis de 0,4 mg, es el más utilizado). Existen estudios en los que se ha demostrado la eficacia de terazosina, doxazosina, alfuzosina y naftopidilo1. Al disminuir el edema local, una combinación con corticosteroides (metilprednisolona a 0,5-1 mg/kg/día por vía intramuscular o intravenosa, una o dos dosis) podría acelerar la expulsión de los cálculos. Sin embargo, no se recomienda el uso aislado de corticosteroides1.
En la guía clínica sobre la urolitiasis7 se expresa que las indicaciones de la extracción activa de los cálculos son: diámetro del cálculo ≥ 7 mm (debido a una tasa baja de expulsión espontánea), cuando no se logra un alivio suficiente del dolor, cuando existe una obstrucción causada por la propia litiasis acompañada de infección, cuando existe riesgo de pionefrosis o sepsis urinaria, en riñones únicos con obstrucción y en la obstrucción bilateral1. Dependiendo de la localización y tamaño del cálculo, su eliminación puede realizarse mediante litotricia extracorpórea mediante ondas de choque, litofragmentación endourológica con energía ultrasónica, electrohidráulica o láser a través de ureterorenoscopio, endourología percutánea y cirugía convencional.
La mayoría de las anomalías metabólicas causantes de cálculos tienen un origen genético, por lo que la predisposición litiásica dura toda la vida. Por tanto, debe intentarse un control dietético y reservarse el tratamiento farmacológico para los casos complicados1.
El tratamiento dietético, a nivel general, incluye una ingesta elevada de agua (2000-3000 ml/1,73 m2), de frutas y verduras y una serie de normas que varían en función de la anomalía metabólica detectada.
Según García Nieto1 solo se usa el tratamiento farmacológico en los casos de dolor abdominal o disuria persistente, hematuria macroscópica frecuente, litiasis de repetición, cálculos con sombra sónica diagnosticados en la ecografía, nefrocalcinosis y osteopenia progresiva4.
En la HI se utilizan las tiazidas que incrementan la reabsorción tubular renal de calcio. Suele ser eficaz la administración de 25-50 mg/día de clortalidona o 50-100 mg/día de hidroclorotiazida. La causa más frecuente de su fracaso es la ingesta excesiva de sal. Además de otros efectos secundarios (hipopotasemia, hipomagnesemia, hiperuricemia, hipercolesterolemia), debe recordarse que las tiazidas descienden la citraturia, por lo que se deben asociar con frecuencia a citrato potásico. El tratamiento con citrato reduce la calciuria, especialmente cuando existe acidosis metabólica1,2,5,6. En muchos centros se prefiere iniciar el tratamiento con citrato potásico por su efecto inhibidor de la cristalización, por los efectos adversos de las tiazidas y dado que se ha descrito que con el paso del tiempo el efecto hipocalciúrico de esos fármacos se reduce progresivamente.
Ante el diagnóstico de litiasis renal, siempre debe realizarse un estudio metabólico completo (calcio, citrato, oxalato, magnesio, fosfato y ácido úrico) que deberá repetirse en, al menos, dos ocasiones. Las anomalías metabólicas urinarias están presentes en alrededor del 50% de los casos de litiasis, siendo la más frecuente la hipercalciuria idiopática, como el caso que hemos expuesto. En un 30% de los casos de litiasis renal se asocian además anomalías genitourinarias.
Dada la alta frecuencia de hipercalciuria idiopática que en ocasiones puede provocar el desarrollo de litiasis renal, es importante remarcar que el mejor tratamiento para evitar la aparición de litiasis es asegurar una ingesta adecuada de agua, obteniendo una diuresis superior a 1,5 ml/kg/hora y seguir las recomendaciones dietéticas generales.
Las autoras declaran no presentar conflictos de intereses en relación con la preparación y publicación de este artículo.
HI: hipercalciuria idiopática.