Vol. 20 - Num. 78
Revisiones
Ascensión Alfaro Alfaroa, Isabel Castejón Navasb, Rafael Magán Sánchezb, M.ª Jesús Alfaro Alfaroc
aOdontologa. CAP USBD 7. Albacete. España.
bFacultad de Odontología. Universidad de Murcia. España.
cEnfermera. Albacete. España.
Cómo citar este artículo: Alfaro Alfaro A, Castejón Navas I, Magán Sánchez R, Alfaro Alfaro MJ. Síndrome de hipomineralización incisivo-molar. Rev Pediatr Aten Primaria. 2018;20:183-8.
Publicado en Internet: 20-06-2018 - Número de visitas: 128840
Resumen
La hipomineralización de incisivos y molares es un trastorno de desarrollo de los primeros molares y de los incisivos permanentes. El esmalte afectado es frágil y se puede desprender fácilmente, dejando expuesta la dentina, lo cual favorece la sensibilidad dentinaria y el desarrollo de lesiones cariosas. Los posibles factores etiológicos se asocian a alteraciones durante la gestación y a algunas enfermedades de la primera infancia. Los pacientes afectados por hipomineralización de incisivos y molares exhiben signos y síntomas clínicos definidos, lo que permite clasificarlos de acuerdo con la gravedad y con las características de la hipomineralización. El tratamiento de los niños afectados por hipomineralización de incisivos y molares debe ir dirigido, en primer lugar, al diagnóstico de las lesiones y al establecimiento del riesgo de caries. Cuando se presenten molares con ruptura del esmalte y exposición dentinaria, se debe emplear un manejo integral con control de la conducta y la ansiedad, con el objetivo de ofrecer a los pacientes un tratamiento sin dolor que permita la restauración y el mantenimiento de una salud bucal adecuada, por lo que es importante establecer medidas de control de la caries.
Palabras clave
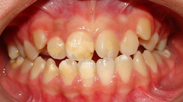
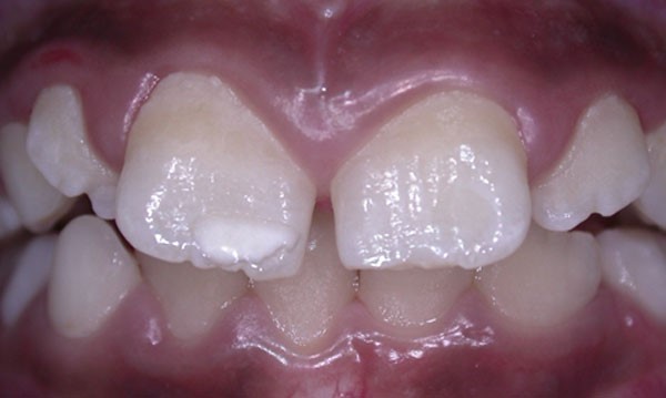
● Anomalías dentarias ● Dentición ● Desmineralización dentalLos defectos de desarrollo del esmalte son clasificados clásicamente como opacidades delimitadas, opacidades difusas e hipoplasias. Las opacidades se definen como un defecto cualitativo del esmalte que se caracteriza por una disminución de la mineralización (hipomineralización), mientras que la hipoplasia se define como un defecto cuantitativo producido por la falta de producción en determinadas zonas de la matriz del esmalte. Cuando hablamos de alteraciones del esmalte, clásicamente la atención se ha centrado en una alteración genética de baja prevalencia, la amelogénesis imperfecta, y en la fluorosis dental. Sin embargo, a partir de la década pasada otra anomalía adquirida ha preocupado a los dentistas de todo el mundo: la alteración de la mineralización del esmalte que afecta a los primeros molares permanentes e incisivos, denominada síndrome de hipomineralización de incisivos y molares (HIM)1 (Fig. 1 y 2).
| Figura 2. Fotografía oclusal: hipomineralización grave, en la que se observa la destrucción de los molares afectados |
|---|
![]() |

La hipomineralización del esmalte de los primeros molares permanentes es la más común de las alteraciones del desarrollo que se observan en los dientes. Se estima que la prevalencia de estas anomalías oscila entre el 2,4 y el 40,2%2.
El primer caso documentado de HIM data del año 1970, pero no fue hasta el año 2003 cuando fue aceptado como entidad patológica en la Reunión de la Academia Europea de Odontopediatría, en Atenas3.
Alaluusua4,5 publicó en 1996 dos estudios en los que describieron los defectos de la mineralización en los primeros molares permanentes. En 2001 se publicaron tres estudios sobre la prevalencia de los defectos del esmalte en primeros molares permanentes. Leppaniemi6 (2001) usó los criterios de Alaluusua, mientras que Weerheijm7,8 (2001) utilizó el índice de Defectos del Desarrollo del Esmalte, que adaptaron para poder describir el fenómeno de hipomineralización de los primeros molares permanentes. Los autores de estos estudios, en el congreso de la Asociación Europea de Odontopediatría que se celebró en Bergen en 2000, concluyeron que habían descrito en sus trabajos la misma alteración, por lo que acordaron una definición y una nomenclatura para la HIM7.
Durante la reunión de la Asociación Europea de Odontopediatría en Atenas (2003) se establecieron los criterios para realizar estudios epidemiológicos de la HIM, los mismos que pueden ser utilizados en la práctica clínica3,9.
Se deben examinar los primeros molares permanentes e incisivos (cuatro molares, ocho incisivos). El examen clínico se debe realizar después de la limpieza dental, con los dientes húmedos. La mejor edad para realizar la búsqueda de HIM es a los ocho años.
En cada uno de los 12 dientes se debe registrar: ausencia o presencia de opacidades, ruptura poseruptiva del esmalte, restauraciones atípicas, extracción debida originalmente a HIM y molares o incisivos sin erupcionar.
De estos y otros estudios encontrados al respecto, en relación con la prevalencia se puede concluir10: 1) la prevalencia del síndrome incisivo molar está aumentando; 2) en todos los casos hay afectación de molares y ocasionalmente de los incisivos, dándose esta afectación cuando están afectados dos o más molares permanentes; 3) no presenta predilección por el sexo ni la raza, y 4) Se da igual tanto en población de nivel socioeconómico alto como bajo11.
Para explicar el porqué de las alteraciones de la mineralización del esmalte, es necesario saber las causas de estas. Para ello hay que remontarse a las etapas en las cuales los dientes se estaban formando, ya que es en ese momento en el que ciertos factores dejan su huella en los dientes, ya sea con opacidades (manchas) o como hipoplasia12,13.
Las hipoplasias se producen en la fase de aposición de la odontogénesis, dejando una capa de esmalte patológicamente fina o hipoplásica. Durante la maduración, si la matriz del esmalte no está degradada ni reabsorbida, produce una capa de esmalte de grosor normal, pero patológicamente blanda.
El cuadro clínico es de origen sistémico, y se asocia con alteraciones sistémicas o agresiones ambientales que ocurren durante los primeros años de vida14,15.
En la mayoría de los casos se combinan varios factores, agravando la patología. Entre los factores de riesgo o predisponentes están los siguientes16,17:
En la exploración de un diente con hipomineralización podemos apreciar opacidades que varían de color blanco tiza al amarillo-marrón y los límites del esmalte normal son lisos y regulares debido a la alteración de la matriz. Por lo general, las zonas afectadas suelen ser las cúspides de los molares y los bordes incisales de los incisivos18.
La porosidad es variable según la magnitud del defecto: las opacidades amarillo-marrón son más porosas y ocupan todo el espesor del esmalte (mayor gravedad). Las blancas son menos porosas y se localizan en el interior del órgano del esmalte. El esmalte hipomineralizado puede fracturarse con facilidad, debido a su fragilidad y poco espesor, lo que puede dejar desprotegida a la dentina y favorecer el desarrollo precoz de caries y de erosión. Los dientes afectados con esta patología son más sensibles al frío y al calor y, por tanto, difíciles de anestesiar. Estos dientes pueden presentar, también, una grave molestia para el niño debido a la alta sensibilidad a los cambios térmicos, o de dolor a la técnica de cepillado o en la aplicación de flúor.
Según Preusser19 existen diferentes grados de afectación:
Mathu-Muju20 propone la clasificación expuesta en la Tabla 1.
| Tabla 1. Criterios de gravedad de la HIM20 | ||
|---|---|---|
| HIM leve | HIM moderada | HIM grave |
|
Opacidades bien delimitadas en zonas sin presión masticatoria Opacidades aisladas Esmalte íntegro en zonas de opacidades Sin historia de hipersensibilidad dentaria Sin caries asociada a los defectos del esmalte Si está involucrado un incisivo, su alteración es leve |
Restauraciones atípicas Opacidades bien delimitadas en el tercio oclusal, sin fractura poseruptiva de esmalte o caries limitadas a una o dos superficies, sin involucrar cúspides Sensibilidad dentaria normal Los pacientes o sus padres expresas frecuentemente preocupación por la estética |
Fracturas de esmalte en el diente erupcionado Historia de sensibilidad dental Amplia destrucción por caries asociadas a esmalte alterado Destrucción coronaria de rápido avance y compromiso pulpar Restauraciones atípicas defectuosas Los pacientes o sus padres expresan frecuentemente preocupación por la estética |
![]() |
![]() |
![]() |

El diagnóstico lo hacemos siguiendo los criterios publicados en 2003 por la Academia Europea de Odontopediatría9 que son los siguientes:
El tratamiento de los niños afectados por HIM debe ir dirigido, en primer lugar, al diagnóstico de las lesiones y al establecimiento del riesgo de caries21,22. Cuando se presenten dientes con pérdida de esmalte y de dentina desmineralizada se debe emplear un manejo integral con control de la conducta y la ansiedad, con el objetivo de ofrecer a los pacientes un tratamiento sin dolor que permita la colocación de restauraciones con larga vida útil y el mantenimiento de una salud bucal adecuada, por lo que es importante establecer medidas de control de la caries23.
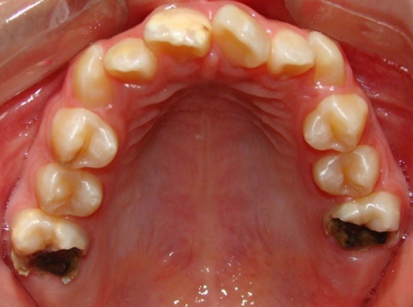
Los retos a los que nos enfrentamos al tratar a este tipo de pacientes son un adecuado nivel de anestesia, un buen diseño de la cavidad y una selección apropiada de los materiales de restauración23,24 (Fig. 3).
Es muy importante iniciar con un enfoque preventivo en cuanto se realice el diagnóstico a una edad temprana, por lo que es importante brindar recomendaciones a los padres para el manejo preventivo de la HIM. Por ejemplo, se le debe indicar a un paciente con HIM la utilización de un dentífrico que contenga una concentración de fluoruro de al menos mil partes por millón25,26.
En cuanto al uso de selladores de fosas y fisuras, Mathu-Muju20 sugiriere que se debe utilizar un pretratamiento con hipoclorito de sodio al 5% para remover las proteínas intrínsecas del esmalte y tuvieron una gran retención cuando se utilizaron adhesivos de quinta generación antes de colocar el sellador.
Cuando se establece el diagnóstico de HIM, y los molares están en erupción, se pueden utilizar cementos de ionómero de vidrio como sellador y, dado que su retención es pobre, en cuanto el diente completa su erupción deben remplazarse con sellador de fosas y fisuras a base de resinas25,27.
La HIM es una patología de origen sistémico que se asocia con alteraciones sistémicas o agresiones ambientales que ocurren durante los tres primeros años de vida, que afectan la fase de transición de los ameloblastos, y que se traduce clínicamente en un esmalte con hipomineralización. La prevalencia de la HIM parece aumentar en diversos países, y aunque no tenemos datos epidemiológicos en nuestro país, en este trabajo presentamos ejemplos de niños mexicanos con esta patología. Los niños con HIM tienen mayores necesidades de tratamiento, ya que el esmalte de los molares hipomineralizados puede sufrir fracturas, por lo que son más susceptibles de formar lesiones de caries y, por lo tanto, representan un serio problema al que se enfrenta el odontopediatra. La temprana identificación de estos niños permitirá la monitorización de los primeros molares permanentes, para así asegurar que la remineralización y las medidas preventivas se incorporen a las prácticas higiénicas tan pronto las superficies afectadas sean accesibles al cepillado y a la aplicación de materiales restauradores preventivos.
Los autores declaran no presentar conflictos de intereses en relación con la preparación y publicación de este artículo.
HIM: hipomineralización de incisivos y molares.