Raquel Berzosa Lópeza, Roi Piñeiro Pérezb, Lucía Figueroa Ospinaa, Pilar Gallego Gómezc
aUnidad de Infectología Pediátrica. Servicio de Pediatría. Hospital General de Villalba. Collado Villalba. Madrid. España.
bServicio de Pediatría. Hospital Universitario General de Villalba. Collado Villalba. Madrid. España.
cServicio de Radiología. Hospital General de Villalba. Collado Villalba. Madrid. España.
Correspondencia: R Berzosa. Correo electrónico: rberzosa@hotmail.com
Cómo citar este artículo: Berzosa López R, Piñeiro Pérez R, Figueroa Ospina L, Gallego Gómez P. Parotiditis recurrente y déficit de células natural killer: ¿coincidencia o patogenia? Rev Pediatr Aten Primaria. 2019;21:e11-e13.
Publicado en Internet: 07-03-2019 - Número de visitas: 12290
Resumen
La parotiditis recurrente juvenil puede tener multitud de causas, es importante tener en cuenta, dentro de la etiología, el estudio de las subpoblaciones linfocitarias, ya que puede haber una relación patogénica con la deficiencia de células natural killer. Se presenta el caso clínico de una paciente de diez años con parotiditis recurrente secundaria a dicho proceso.
Palabras clave
● Parotiditis ● Parotiditis recurrenteLa parotiditis recurrente supone un cuadro clínico infrecuente. Se presenta como una inflamación parotídea recidivante, que puede afectar de forma unilateral o bilateral1,2. La etiología es desconocida, aunque se ha postulado un origen multifactorial en el que podrían influir varias causas3. Para el diagnóstico etiológico se pueden realizar diferentes pruebas complementarias, como la ecografía, la tomografía computarizada, la resonancia magnética y la sialografía, que puede a su vez utilizarse para el tratamiento en algunas ocasiones4.
Se presenta el caso de una niña de 10 años, sin antecedentes personales ni familiares de interés y correctamente vacunada. En seguimiento en la consulta de enfermedades infecciosas pediátricas tras ser diagnosticada de parotiditis izquierda por virus de Epstein-Barr (VEB), confirmado mediante serología. En los siguientes 12 meses presenta otros tres episodios de parotiditis, también en glándula izquierda, en ocasiones acompañados de fiebre, cefalea inespecífica o sintomatología catarral.
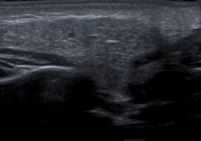
Entre las pruebas complementarias solicitadas para estudio de parotiditis recurrente, se realizó una ecografía cervical que mostraba una glándula discretamente aumentada de tamaño, de ecoestructura heterogénea e hipoecogénica que presentaba pequeñas áreas hipoecoicas en su interior que correspondían a sialectasias o infiltración linfocitaria (Fig. 1).
| Figura 1. Ecografía cervical. Glándula discretamente aumentada de tamaño, de ecoestructura heterogénea e hipoecogénica que presenta pequeñas áreas hipoecoicas en su interior, correspondientes a sialectasias o infiltración linfocitaria |
|---|
![]() |

También se solicitaron las siguientes pruebas: hemograma, frotis de sangre periférica, bioquímica, coagulación, perfil férrico, factor reumatoide, anticuerpos antinucleares, despistaje de celiaquía, subpoblaciones linfocitarias, inmunoglobulinas, complemento y estudio serológico frente a virus de la inmunodeficiencia humana, VEB, virus de la hepatitis B y C, citomegalovirus y paramixovirus. Los resultados no tuvieron alteraciones significativas salvo un déficit de células natural killer (NK): 4,68% del total de poblaciones linfocitarias; 94 cél/μl (valor de referencia 200-400 cél/μl).
La patogénesis de la parotiditis recurrente es desconocida, algunas posibles causas para el desarrollo de esta enfermedad que habría que descartar en la consulta de Atención Primaria son los factores hereditarios, infecciones víricas o bacterianas, alergias, malformaciones congénitas o manifestaciones locales de enfermedades autoinmunes5.
Las células NK forman parte de la respuesta inmune innata del organismo ante células tumorales y células infectadas por virus. Aunque no existen estudios que relacionen el déficit aislado de células NK con el desarrollo de parotiditis recurrente, no se trata del primer caso descrito2 y sí se han notificado casos de infecciones virales fulminantes en ausencia de células NK6.
La parotiditis recurrente es una enfermedad benigna cuyo tratamiento es sintomático: analgesia, adecuada higiene oral, masajes de la glándula parotídea y calor local7. Evoluciona hacia la curación espontánea con la llegada de la pubertad en el 90% de casos. Sin embargo, en algunos casos esta patología persiste en la edad adulta8. Dado que la etiología puede ser múltiple, es conveniente que en las consultas de Atención Primaria se tenga en cuenta la posible relación causal entre el déficit de células NK y el desarrollo de parotiditis recurrente, para la derivación a consulta de enfermedades infecciosas y completar así el estudio pertinente.
Coincidimos con los autores del primer caso descrito en nuestro país2 en que sería interesante plantear estudios más amplios con el fin de poder establecer la posible relación entre estas dos entidades.
Los autores declaran no presentar conflictos de intereses en relación con la preparación y publicación de este artículo.
NK: natural killer · VEB: virus de Epstein-Barr.