Vol. 21 - Num. 81
Notas clínicas
Mercedes Cemeli Canoa, Sara Laliena Aznarb, Sara Beltrán Garcíac, M.ª Esperanza Sáez de Adana Péreza, César García Verad
aPediatra. CS Valdespartera-Montecanal. Zaragoza. España.
bPediatra. CS Cuarte de Huerva. Zaragoza. España.
cPediatra. CS Valdespartera. Zaragoza. España.
dPediatra. CS José Ramon Muñoz Fernández. Zaragoza. España.
Correspondencia: M Cemeli. Correo electrónico: cano.mcemeli@salud.aragon.es
Cómo citar este artículo: Cemeli Cano M, Laliena Aznar S, Beltrán García S, Sáez de Adana Pérez ME, García Vera C. Neumonía muy atípica en paciente de dos años. Rev Pediatr Aten Primaria. 2019;21:61-4.
Publicado en Internet: 14-03-2019 - Número de visitas: 32017
Resumen
La neumonía adquirida en la comunidad es una causa importante de morbilidad y mortalidad en Pediatría. La gran mayoría de las neumonías se resuelven de forma ambulatoria, sin necesidad de realizar un diagnóstico etiológico. La edad es el parámetro que mejor se correlaciona con el agente causal, sin embargo, hasta un 20-30% de los casos se debe a una infección mixta por diferentes gérmenes. Lo más frecuentemente descrito son coinfecciones por virus y bacterias, especialmente virus respiratorio sincitial con Streptococcus pneumoniae y Mycoplasma pneumoniae. La asociación de tres o más patógenos es excepcional. El papel de la coinfección es desconocido en cuanto a pronóstico y evolución, ni se puede precisar si los agentes son concomitantes en el tiempo o agravantes evolutivos. Presentamos el caso de una niña con una neumonía por Mycoplasma pneumoniae que presenta clínica y radiografía compatible con Streptococcus pneumoniae y además serología positiva IgM para virus de Epstein-Barr y parvovirus B19.
Palabras clave
● Mycoplasma pneumoniae ● Coinfección ● Neumonía adquirida en la comunidad ● Parvovirus B19 ● Virus de Epstein-BarrEn Pediatría, la mayoría de las neumonías adquiridas en la comunidad son diagnosticadas y tratadas desde Atención Primaria, es poco frecuente la determinación de su etiología. En ocasiones, la imagen radiológica y las pruebas analíticas no se correlacionan con el tipo de germen que ha producido la neumonía, lo que supone un reto diagnóstico y terapéutico y dificulta el uso racional de los antibióticos. Más complicado es cuando se añade una clínica inespecífica y existe una triple coinfección entre una bacteria y dos tipos de virus.
Por ello presentamos el siguiente caso clínico, de una paciente con neumonía con patrón alveolar producida por una infección mixta entre Mycoplasma pneumoniae con virus de Epstein-Barr (VEB) y parvovirus B19; ninguno de estos últimos es causante habitual de infecciones respiratorias de vías bajas.
Mujer de dos años que consultó en verano por fiebre de 38,5 °C de 6 días de evolución, con astenia, odinofagia, rinitis y tos. Presentaba buen estado general, sin signos de dificultad respiratoria ni taquipnea, auscultación cardiopulmonar sin alteraciones y faringe congestiva sin otros hallazgos.
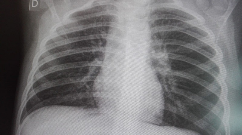
Se realizó una analítica sanguínea y radiografía de tórax, apareciendo un patrón alveolar en lóbulo inferior derecho (Fig. 1). En el hemograma destacó leucocitosis de 20 400 leucos/mm3, 4200 neutrófilos/mm3, velocidad de sedimentación globular (VSG) de 16 mm/hora, proteína C reactiva 0,3 mg/dl, y elevación de transaminasas y marcadores de inflamación hepática: GGT 261 U/l, GOT 147 U/l, GPT 235 U/l y LDH 764 U/l. Dada la sospecha radiológica de neumonía neumocócica, se inició tratamiento con amoxicilina a 80 mg/kg/día. Se realizó un aspirado nasofaríngeo para virus respiratorios por inmunofluorescencia directa que resultó negativo; y serologías, con IgM positivas para Mycoplasma pneumoniae (técnica rápida), VEB (automatizado por quimioluminiscencia) y parvovirus B19 (inmunofluorescencia indirecta). A las 48 horas la paciente estaba afebril, por lo que se completó pauta con amoxicilina.
| Figura 1. Radiografía anteroposterior con consolidación parenquimatosa en el lóbulo inferior derecho |
|---|
![]() |

Tras cuatro semanas se confirmó la positividad serológica a Mycoplasma pneumoniae, VEB y parvovirus B19, con normalización de transaminasas.
La neumonía adquirida en la comunidad presenta una incidencia global elevada en los países desarrollados, oscila entre 10 y 45 casos nuevos por cada 1000 niños/año y afecta sobre todo a los menores de 5 años (30-45 casos por 1000 niños/año). Constituyen la principal causa individual de mortalidad infantil globalmente en todo el mundo, provocando aproximadamente 1,2 millones de muertes anuales en niños menores de 5 años1.
La mayoría de las neumonías son diagnosticadas y tratadas desde Atención Primaria, y es poco frecuente la determinación de su etiología. En el ámbito hospitalario, las pruebas microbiológicas no tienen la suficiente sensibilidad y especificidad, por lo que la etiología solo se identifica en el 40-80% de los casos2. En gran parte de ellas, cuando es posible identificar el agente causal, este suele ser único, aunque no debe considerarse excepcional la posibilidad de infección mixta, pudiendo llegar al 20-30%3. Con mayor frecuencia se han descrito coinfecciones por virus y bacterias, especialmente virus respiratorio sincitial (VRS) con Streptococcus pneumoniae y Mycoplasma pneumoniae2. Sin embargo, no es excepcional la asociación de dos bacterias o dos virus4,5. No hay acuerdo sobre el papel de la coinfección en cuanto a pronóstico y evolución, ni se puede precisar si los agentes son concomitantes en el tiempo o agravantes evolutivos6.
Nuestra paciente es un caso de neumonía en coinfección por tres patógenos. Existe coincidencia sobre la época anual para la infección por Mycoplasma pneumoniae (final de verano), aunque la edad de la paciente no es la más habitual en este tipo de infección. En este caso, lo más frecuente seria neumonía por Streptococcus pneumoniae o por virus.
Por un lado, el VEB no suele ser uno de los responsables etiológicos habituales de las infecciones de las vías respiratorias bajas. A pesar de su polimorfismo clínico, la afectación de las vías respiratorias bajas no supera la cuarta parte de los casos de neumonía3. Por otro lado, la infección por parvovirus B19 generalmente es una enfermedad autolimitada. En los niños se presenta con fiebre, cefalea, exantema y odinofagia, Además de la anemia se han reportado casos de miocarditis, vasculitis, linfadenitis, púrpura trombocitopénica autoinmune, síndrome hemofagocítico, hepatitis fulminante, pericarditis, neumonía, anemia aplásica, insuficiencia renal aguda, crisis convulsivas y sepsis grave7.
Las manifestaciones radiológicas de estos tres gérmenes son inespecíficas, sin embargo, se pueden destacar el patrón intersticial, atrapamiento aéreo y discreta participación pleural como más frecuentes1,3. Es por este motivo que llama la atención el patrón alveolar que presenta la paciente, típico de neumonía por Streptococcus pneumoniae (Fig. 1). Por ello, es importante resaltar la dificultad para determinar la etiología neumocócica y establecer la incidencia real de la neumonía por Streptococcus pneumoniae. Las técnicas utilizadas en adultos (serología, antigenuria) pierden especificidad en el caso de los niños, ya que no diferencian el estado de portador ni la inmunidad posvacunal lograda con las vacunas antineumocócicas conjugadas, lo que genera un gran número de falsos positivos. Muchos niños son portadores nasofaríngeos de Streptococcus pneumoniae durante los primeros años de vida, la colonización es un factor de riesgo para padecer la enfermedad. La duración del estado de portador varía y es en general más larga en niños que en adultos6,7.
Es importante mencionar que, en muchos casos, las pruebas serológicas (VEB, parvovirus B19, Mycoplasma pneumoniae) pueden permanecer positivas por largos periodos de tiempo (desde meses hasta años)6-8. La eficacia de la serología como método aislado para obtener confirmación etiológica, es especialmente controvertida en el caso de Mycoplasma pneumoniae, habiéndose demostrado más eficaz el uso conjunto de serología y técnica de la reacción en cadena de la polimerasa (PCR) para detectar el ADN del germen. Son necesarios más avances en este campo para poder obtener resultados fiables de una forma rápida que facilite la toma de decisiones en la práctica clínica diaria8.
Cuando coexisten IgM frente a agentes infecciosos diferentes, que pueden estar o no relacionados genéticamente, se podría deber a fenómenos de infecciones víricas simultáneas o sucesivas, empleo en los equipos de antígenos mal caracterizados que contienen epítopos comunes, persistencia en el tiempo, estimulación clonal inespecífica de los linfocitos B o reactivación de virus latente con viremias asociadas7.
En ciertas infecciones, como en las ocasionadas por el VEB, los linfocitos T supresores son especialmente numerosos, grandes y fisiológicamente muy activos. Esto justifica que puedan surgir fenómenos de inmunosupresión transitoria, debido a estos y a la replicación del virus en los linfocitos T-helper, lo que, junto a otros factores, puede permitir la reactivación de virus latentes6.
En muchas de estas infecciones las manifestaciones clínicas son poco específicas, la respuesta de IgG es precoz, y no se puede demostrar la seroconversión, pero sí se puede realizar un análisis de su avidez, coexistiendo con varias IgM8.
En el caso que presentamos, la paciente presentó signos, síntomas y pruebas de laboratorio compatibles con infección por parvovirus B19, como fiebre, odinofagia y positividad IgM, pero por otro lado también compatibles con VEB, donde la alteración hepática fue clave. Además, es interesante destacar, la resolución clínica de la neumonía con la utilización de amoxicilina, sin necesidad de utilizar macrólido, a pesar de la positividad para Mycoplasma pneumoniae. Los beneficios del tratamiento antibiótico con Mycoplasma pneumoniae en niños no han sido estudiados adecuadamente, los estudios son limitados y no concluyentes9. Una revisión sistemática mostró escasa evidencia sobre el tratamiento antibiótico frente infecciones respiratorias de vías bajas por Mycoplasma pneumoniae, incluso en la mejoría de los síntomas9,10.
En nuestra paciente, parece ser que la infección primaria fue por VEG y parvovirus B19 y, a través de una acción inmunodepresora transitoria, se podría haber favorecido la infección por Mycoplasma pneumoniae, sin embargo, el estudio de avidez IgG hubiera sido un dato de gran ayuda para esclarecer la coinfección de los tres gérmenes.
Los autores declaran no presentar conflictos de intereses en relación con la preparación y publicación de este artículo.
PCR: reacción en cadena de la polimerasa · VEB: virus de Epstein-Barr · VRS: virus respiratorio sincitial · VSG: velocidad de sedimentación globular.