Vol. 21 - Num. 82
Notas clínicas
Beatriz Fernández Mansoa, M.ª Rosa Albañil Ballesterosb, Miguel Ángel Zafra Antac
aPediatra. CS El Naranjo. Fuenlabrada. Madrid. España.
bPediatra. CS Cuzco. Fuenlabrada. Madrid. España.
cServicio de Pediatría. Hospital Universitario de Fuenlabrada. Fuenlabrada. Madrid. España.
Cómo citar este artículo: Fernández Manso B, Albañil Ballesteros MR, Zafra Anta MA. Auscultación patológica persistente: no todo son broncoespasmos. Rev Pediatr Aten Primaria. 2019;21:173-9.
Publicado en Internet: 19-06-2019 - Número de visitas: 29775
Resumen
Los síntomas respiratorios constituyen un motivo de consulta frecuente en Atención Primaria y de derivación al especialista si se manifiestan crónicamente. Describimos dos casos tratados por asma y neumonía recurrente en los que se planteó el diagnóstico diferencial por una auscultación patológica persistente. El diagnóstico final fue: secuestro pulmonar y bronquiolitis obliterante. Se revisan los aspectos más relevantes de estas patologías graves y poco frecuentes.
Palabras clave
● Bronquiolitis obliterativa ● Secuestro pulmonar ● Tos crónicaLos síntomas respiratorios constituyen un motivo de consulta frecuente en Pediatría, especialmente en la consulta de Atención Primaria. Los síntomas respiratorios recurrentes suelen ser causados por infecciones respiratorias virales sucesivas o asma, pero pueden deberse a otros procesos.
Ante un paciente con auscultación patológica persistente (APP), esto es, subcrepitantes con o sin sibilancias, debemos plantear la posibilidad de que se trate de un proceso asmático subyacente, dada su alta prevalencia. Pero no todos los casos de APP corresponden a asma o broncoespasmo, por lo que es necesario conocer e identificar los signos que alerten sobre la existencia de otros procesos, así como el estudio necesario para su diagnóstico, que en muchas ocasiones será preciso completar en hospital.
Presentamos dos casos clínicos de pacientes pediátricos que han sido estudiados en nuestro centro de salud por APP, con diferentes diagnósticos finales.
Niña de 12 años, de origen magrebí, residente en España desde los dos años. A los seis meses de su llegada presentó una bronconeumonía que se trató con antibioterapia durante siete días y broncodilatadores inhalados hasta diez días por persistencia de subcrepitantes en la base izquierda, a pesar de una mejoría global. Se realizó Mantoux con resultado de 0 mm. Posteriormente se constatan episodios de bronquitis a los 4, 6 y 11 años, tratados durante periodos prolongados por persistencia de sibilancias y subcrepitantes en la base izquierda. No se pudo hacer una valoración adecuada de la respuesta al tratamiento por asistencia muy irregular a la consulta.
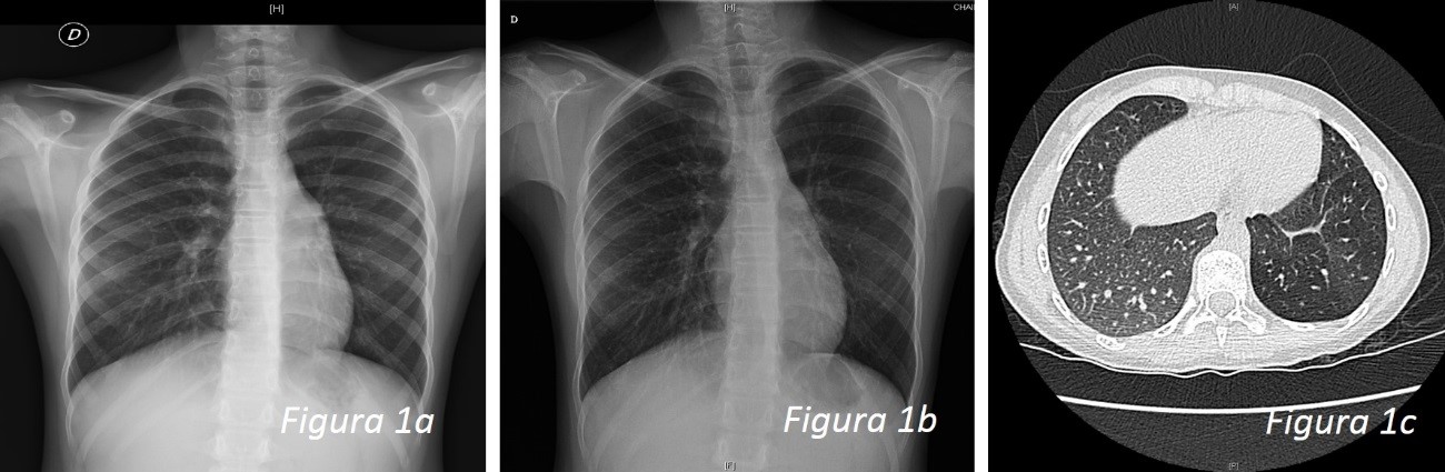
A los 11 años se realiza una radiografía de tórax donde presenta hiperinsuflación generalizada (Fig. 1a), se repite el Mantoux, que vuelve a ser de 0 mm, y se deriva a la consulta de Neumología Infantil, donde se realiza una espirometría con test de broncodilatación positivo, y estudio de alergia positivo a gramíneas, epitelio de gato y ácaros. Se diagnóstica de posible asma episódico ocasional/frecuente.
A los 12 años, ante la persistencia de APP, incluso en visitas por otros motivos, se vuelve a remitir a Neumología, donde se realiza un ionotest, que es normal, y se repite la radiografía de tórax (Fig. 1b): hiperclaridad del pulmón izquierdo con disminución del pedículo vascular, sugestivo de bronquiolitis constrictiva post infecciosa (síndrome de Swyer-James). Se completa con una tomografía computarizada (TC) torácica (Fig. 1c), observándose una disminución de la atenuación del pulmón izquierdo con áreas parcheadas de atrapamiento aéreo en la espiración, y disminución del calibre de la arteria pulmonar central y de las ramas periféricas, sobre todo del lóbulo inferior izquierdo (LII) y morfología bronquial ligeramente irregular en la pirámide basal izquierda sin visualizarse bronquiectasias distales; hallazgos compatibles con bronquiolitis obliterativa (BO) como posible secuela de infecciones en la infancia en el pulmón izquierdo.
| Figura 1. Caso 1: a) hiperinsuflación generalizada; b) hiperclaridad del pulmón izquierdo con disminución del pedículo vascular, sugestivo de bronquiolitis constrictiva posinfecciosa (síndrome de Swyer-James); c) TC: disminución de atenuación del pulmón izquierdo con áreas parcheadas de atrapamiento aéreo en la espiración, una disminución del calibre de la arteria pulmonar central y de las ramas periféricas, sobre todo del LII |
|---|
![]() |

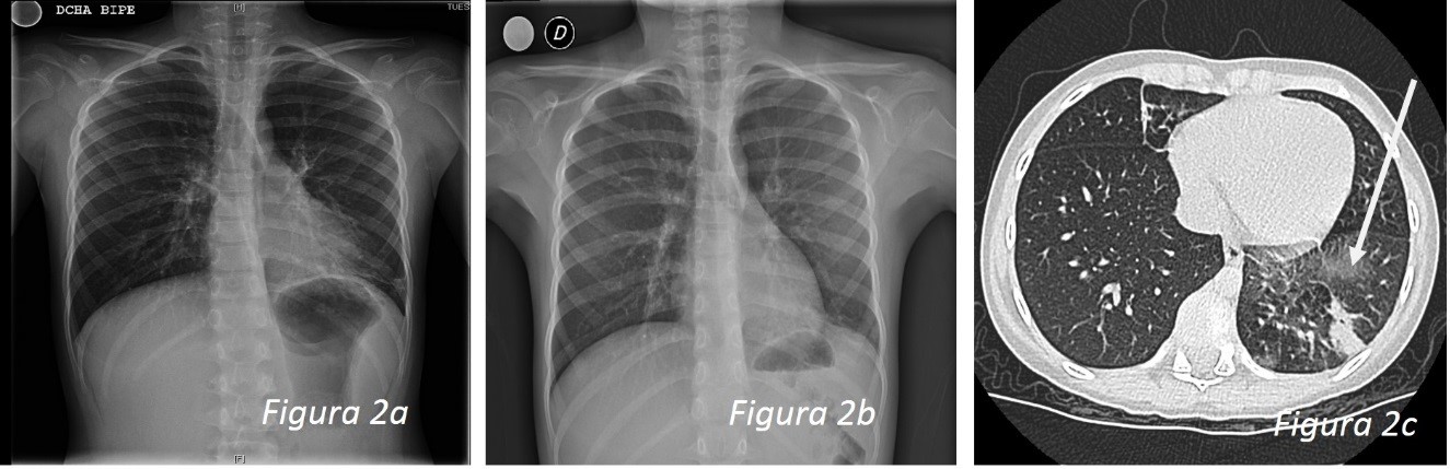
Niña de siete años, nacida en nuestro país, con antecedentes de ingreso neonatal no prolongado por síndrome de aspiración meconial. Presentó una bronquiolitis a los siete meses y posteriormente varios episodios de bronquitis, a los dos, tres y cinco años. Tras uno de los episodios, a los dos años, es diagnosticada de neumonía en el LII que mejora clínicamente con tratamiento antibiótico. A los siete años presenta un nuevo episodio de neumonía en la misma localización, que de nuevo mejora con antibioterapia oral, desapareciendo la fiebre, pero manteniendo saturación de oxígeno algo disminuida (95-96%) y sin llegar a normalizar la auscultación, por lo que precisa administración de salbutamol prácticamente diaria. En ambos procesos presenta imagen radiológica de consolidación-atelectasia en LII (Figs. 2a y 2b). Se realiza: Mantoux con resultado de 0 mm, estudio inmunológico básico normal con aumento de IgE, y determinación de α-1-antitripsina normales.
Dada la persistencia de subcrepitantes y sibilancias en la base izquierda, y la necesidad de salbutamol diario tras el segundo episodio de neumonía, se deriva a Rehabilitación y Neumología Pediátrica, donde se realiza la espirometría en la que se muestra una función pulmonar en el límite inferior de la normalidad en cuanto a FEV1, y pruebas de alergología positivas para pólenes. Se instaura tratamiento con budesonida y ante la persistencia de clínica se realiza una TC torácica (Fig. 2c) que muestra un aumento de la atenuación en el parénquima del LII, localizado entre los segmentos 8-9, sin aparentes alteraciones bronquiales centrales, aunque con algunas zonas irregulares adyacentes, con una gran arteria procedente de la aorta torácica, a la altura de D10, que irriga dicha zona del LII, que parece drenar a las venas pulmonares, sugestivo de secuestro pulmonar.
| Figura 2. Caso clínico 2: a) edad 2 años: imagen radiológica de consolidación-atelectasia en el LII; b) edad 7 años: imagen radiológica de consolidación-atelectasia en LII; c) TC: aumento de la atenuación en el parénquima del LII, segmentos 8-9, sin aparentes alteraciones bronquiales centrales, con una gran arteria procedente de la aorta torácica, a la altura de D10, e irriga dicha zona de LII |
|---|
![]() |

Tras derivación al hospital terciario de referencia se programó una lobectomía por toracoscopia, realizada sin incidencias.
Nuestros dos casos, con diagnósticos iniciales de asma y neumonía recurrente, tienen en común una APP, con diagnósticos finales de bronquiolitis obliterante y secuestro pulmonar.
Ante un paciente que presenta APP desde Atención Primaria, nos plantearemos las siguientes cuestiones: ¿qué diagnóstico diferencial nos sugiere?, ¿qué pruebas básicas debemos solicitar?, ¿es necesario derivar al paciente al hospital para completar el estudio y valorar el tratamiento?
Ante un caso de APP que asocie o no otros síntomas respiratorios podemos plantear que se trate de procesos intercurrentes de bronquitis o exacerbaciones de asma, por ser esta la causa más frecuente. No obstante, si la clínica no mejora a pesar del tratamiento broncodilatador y corticoide inhalado u oral correctamente administrado, debemos progresar en el diagnóstico diferencial que incluirá, además de asma, infecciones de repetición de la vía aérea, tuberculosis, neumonía persistente o recurrente, cuerpo extraño aspirado, inmunodeficiencia, atelectasias, bronquiectasias, bronquitis bacteriana persistente, otras neumopatías crónicas como bronquiolitis obliterante, secuestro pulmonar, malformaciones de la vía aérea, tumores, déficit de α-1-antitripsina, disfunción ciliar, etc.
Las exploraciones complementarias en APP deben hacer un despistaje inicial de fibrosis quística (FQ), déficit de α-1-antitripsina, déficit inmune y tuberculosis con analítica, radiografía simple de tórax, estudio alérgico y función pulmonar mediante espirometría. Los estudios analíticos incluyen test de sudor (especialmente si el paciente no tiene cribado neonatal realizado), una analítica completa con niveles de α-1-antitripsina y estudio básico inmunológico (hemograma y cuantificación de inmunoglobulinas) e intradermorreacción de Mantoux. La radiografía de tórax permite valorar infiltrados, imágenes sugestivas de atelectasia o de cuerpo extraño, así como la anatomía del paciente, y comparar evolutivamente. Estos estudios se realizaron en nuestros pacientes. La presencia de alergia a inhalantes o la prueba de broncodilatación positiva y espirometría no debe hacer conformarnos con el diagnóstico de asma, sobre todo si la respuesta al tratamiento no es la adecuada.
Deberemos abordar otras opciones diagnósticas según el devenir clínico, la respuesta al tratamiento, la presencia de infecciones pulmonares recurrentes, o los hallazgos analíticos o radiológicos. En nuestros casos (fundamentalmente en la BO) la radiología fue cambiante con el tiempo. Puede ser necesario derivar al paciente al hospital para realizar los estudios antes mencionados si no están disponibles en Atención Primaria y para TC, que permite la localización de la zona afectada e identifica imágenes en el parénquima, pleura, mediastino, así como malformaciones y bronquiectasias. Puede estar indicada la endoscopia bronquial que permite una valoración morfológica, lavado broncoalveolar, estudio microbiológico o la extracción de un cuerpo extraño.
Tras el diagnóstico de estas patologías, será fundamental el seguimiento desde la consulta de Atención Primaria. Este incluye completar el calendario vacunal, incluyendo la vacuna antineumocócica y antigripal estacional, además de una adecuada educación sanitaria del paciente y su entorno, indicando evitar el tabaquismo tanto activo como pasivo y mantener unas adecuadas normas de higiene. Esto será fundamental para evitar reagudizaciones, no obstante, en caso de que se produjeran se debe administrar antibioterapia oral en la mayoría de las ocasiones. Así mismo estos pacientes se podrán beneficiar de la fisioterapia respiratoria en algún momento de su evolución. El seguimiento y soporte nutricional, la recomendación de actividad física adecuada y el tratamiento del reflujo gastroesofágico, si está asociado, son otros aspectos que hay que seguir en Atención Primaria.
Ante un paciente con APP localizada sin respuesta al tratamiento habitual, clínica o radiológicamente, es preciso considerar otra patología subyacente diferente al asma, como la bronquitis bacteriana aguda, la aspiración de cuerpo extraño, la neumonía recurrente o persistente, la BO u anomalías anatómicas, entre otras, especialmente en niños con antecedentes de al menos un proceso respiratorio agudo previo significativo.
La labor desde Atención Primaria es fundamental y se organiza en tres niveles: por un lado, identificar los signos de alerta de estas entidades, por otro iniciar el estudio de estas y remitir a hospital si lo precisan, y por último en el seguimiento de estos pacientes.
Los autores declaran no presentar conflictos de intereses en relación con la preparación y publicación de este artículo. Estos casos fueron presentados parcialmente en el congreso de la Asociación Española de Pediatría de junio de 2018.
APP: auscultación patológica persistente · BO: bronquiolitis obliterativa · FQ: fibrosis quística · LII: lóbulo inferior izquierdo · TC: tomografía computarizada.