Vol. 21 - Num. 83
Casos clínicos en Digestivo
Sara Vila Bedmara, Paola Karina Gianninib, Rubén Gallardo Gallegoc, Iván Carabaño Aguadod, Enrique Salcedo Lobatod, Marta Germán Díaze, Enrique Medina Benítezd
aMIR-Pediatría. Hospital Universitario 12 de Octubre. Madrid. España.
bPediatra. CS San Cristóbal. Madrid. España.
cMIR-Anatomía Patológica. Hospital Universitario 12 de Octubre. Madrid. España.
dSección de Gastroenterología, Hepatología y Nutrición Pediátrica. Servicio de Pediatría. Hospital Universitario 12 de Octubre. Madrid. España.
eSección de Gastroenterología, Hepatología y Nutrición Pediátrica. Hospital Universitario 12 de Octubre. Madrid. España.
Correspondencia: S Vila . Correo electrónico: vilabed@gmail.com
Cómo citar este artículo: Vila Bedmar S, Giannini PK, Gallardo Gallego R, Carabaño Aguado I, Salcedo Lobato E, Germán Díaz M, et al. Pica como forma de debut de enfermedad celíaca. Rev Pediatr Aten Primaria. 2019;21:275-8.
Publicado en Internet: 12-09-2019 - Número de visitas: 20369
Resumen
La pica se define como la ingesta de sustancias no nutritivas de naturaleza orgánica o inorgánica durante más de un mes. Este trastorno puede ser secundario a enfermedades neurológicas o psiquátricas (retraso mental, autismo, trastornos de la personalidad), pero también puede ser la expresión de déficit nutricional, como la ferropenia. Ante una ferropenia refractaria siempre se ha de pensar en un cuadro malabsortivo subyacente. Se presenta el caso clínico de un niño en edad escolar con pica secundaria a una enfermedad celíaca.
Palabras clave
● Enfermedad celíaca ● PicaLa pica es un trastorno de la conducta alimentaria en el que existe un deseo irresistible de comer o lamer sustancias no nutritivas y poco usuales como tierra, tiza, yeso, hielo, pintura, papel u otros materiales sin ningún valor alimenticio. El término “pica” significa urraca en latín. Las urracas tienen los mismos hábitos dietéticos anormales que estos pacientes.
La enfermedad celíaca, por su parte, es una enfermedad inflamatoria inmunomediada que afecta al intestino delgado. Se desencadena tras el contacto con las proteínas del gluten en individuos genéticamente predispuestos. La forma de presentación típica de enfermedad celíaca en el paciente pediátrico consiste en un cuadro de malabsorción que ocasiona diarrea crónica, retraso ponderoestatural, distensión abdominal con hipoatrofia muscular y complicaciones derivadas de los déficits nutricionales (hipoplasia de esmalte dental, estomatitis aftosa…). Sin embargo, existen formas de presentación atípica, entre las que se encuentran los trastornos de la conducta alimentaria como la pica, expresión de ferropenia secundaria a malabsorción1. Conviene tener presente este hecho, pues desde las consultas de Atención Primaria se puede iniciar el proceso diagnóstico de la enfermedad, tanto en sus formas típicas como en las que no lo son tanto.
Varón de diez años sin antecedentes familiares ni personales de interés, derivado desde el centro de salud por un trastorno de la conducta alimentaria que incluye ingesta de cojines y otros productos de espuma desde hace aproximadamente un año (Fig. 1).
No presentaba síntomas gastrointestinales y su curva ponderoestatural era normal. Fue valorado previamente por Psiquiatría, donde se consideró que el paciente manifestaba un trastorno de la conducta alimentaria en posible relación con ansiedad. Aun así, se remitió a la sección de Gastroenterología Infantil para descartar causas secundarias. Se realizó una radiografía de abdomen simple, que descartó la presencia de un bezoar (Fig. 2), y un análisis de sangre, con hallazgos compatibles con anemia ferropénica (hematíes: 4,68 × 106/μl, hemoglobina: 9,1 g/dl, hematocrito: 29,7%, hemoglobina corpuscular media: 19,4 pg, volumen corpuscular medio: 63,4 fl, concentración de hemoglobina corpuscular media: 30,7 g/dl, banda de distribución de hematíes: 21,1%, ferritina: 5 ng/ml, hierro: 25 μg/dl). Por refractariedad a la ferroterapia oral, se realiza serología de celíaca.
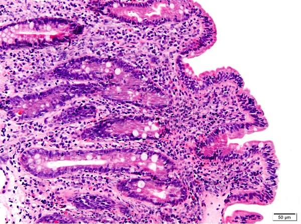
Se detecta la existencia de anticuerpos antitransglutaminasa diez veces por encima del límite alto de la normalidad (niveles de 629,00 IU, resultado positivo >10). Se completa estudio con endoscopia digestiva alta. La biopsia duodenal muestra atrofia vellositaria moderada con linfocitosis intraepitelial difusa e hiperplasia de criptas glandulares, sin evidencia de G. intestinalis, compatible con enfermedad celíaca 3b de Marsh modificado (Fig. 3). Con el diagnóstico de enfermedad celíaca, se inicia dieta exenta de gluten y sulfato ferroso oral. De forma evolutiva, se constata la progresiva negativización de los anticuerpos, así como la desaparición del trastorno de la conducta alimentaria.
| Figura 3. Corte histológico de duodeno teñido con hematoxilina-eosina. Se evidencia la tríada atrofia vellositaria moderada, hiperplasia críptica y linfocitosis intraepitelial |
|---|
![]() |

La enfermedad celíaca es un cuadro muy prevalente cuya expresión clínica es llamativamente poliédrica. Entre dichas manifestaciones se incluye los trastornos de la conducta alimentaria. En este sentido, no solo se ha de pensar en ella cuando estemos ante un niño con hiporexia mantenida, sino también cuando estemos ante situaciones de pica. Este síntoma ha sido descrito previamente en la literatura médica, pero queremos destacar su excepcionalidad.
Las primeras publicaciones que establecieron una posible relación causal entre el déficit nutricional y la ingesta de sustancias inorgánicas en pacientes con malabsorción intestinal datan de 19902. El déficit nutricional más relacionado con la presencia de pica es la ferropenia. Muñoz et al. documentaron la presencia de pica en aproximadamente un 5% de pacientes con déficit de hierro. En otras series, el porcentaje llega hasta un 30%, especialmente en grupos de riesgo (niños y embarazadas)3. La pica desaparece con una ferroterapia adecuada, salvo que exista una malabsorción subyacente.
En el contexto de la enfermedad celíaca, a través del espectro clínico de la pica, se ha descrito ampliamente la litofagia1, así como la ingesta de pelo4, sin que se disponga en el momento actual de datos o porcentajes concretos. Ambos escenarios, especialmente el último, pueden derivar en la aparición de un bezoar5. La ingesta de trozos de esponja o gomaespuma no ha sido fuente de numerosas comunicaciones, si bien se ha advertido la probable relación entre su ingesta y trastornos de ansiedad6. El paciente descrito en nuestro caso ingería gomaespuma, motivo por el cual fue visto en primer lugar en las consultas externas de Psiquiatría. No obstante, el abordaje terapéutico que resultó exitoso fue el nutricional.
La relación de sustancias inorgánicas que pueden ser incorporadas desde el exterior en pacientes con pica puede ser de lo más variado (Tabla 1).
| Tabla 1. Relación de sustancias inorgánicas y su término médico correspondiente | |
|---|---|
| Sustancia ingerida | Tipo de pica |
| Objetos puntiagudos | Acufagia |
| Almidones | Amilofagia |
| Polvo | Coniofagia |
| Excrementos | Coprofagia |
| Orina | Urofagia |
| Vómito | Emetofagia |
| Papel | Foliofagia |
| Libros/revistas | Bibliofagia |
| Piedras | Litofagia |
| Hielo | Pagofagia |
| Uñas | Tricofagia |
| Flores | Lulodofagia |
| Madera | Xilofagia |

En resumen: desde las consultas de Atención Primaria se puede sospechar una enfermedad celíaca, e iniciar el proceso diagnóstico. La pica puede ser una forma de debut de celíaca, en relación con anemia ferropenia malabsortiva. En estos casos, conviene descartar la posibilidad de un bezoar, dado el carácter abigarrado y múltiple de las sustancias inorgánicas que los pacientes pueden llegar a consumir. El tratamiento dietético (exclusión del consumo de gluten) es eficaz a la hora de controlar la enfermedad y todo su espectro clínico.
Los autores declaran no presentar conflictos de intereses en relación con la preparación y publicación de este artículo.