Vol. 21 - Num. 83
Notas clínicas
Marta Herreros Sáenza, M.ª Rosa Albañil Ballesterosb, Jorge Cabezudo Pedrazoc
aMIR-Pediatría. Hospital Universitario de Fuenlabrada. Fuenlabrada. Madrid. España.
bPediatra. CS Cuzco. Fuenlabrada. Madrid. España.
cServicio de Radiodiagnóstico. Hospital Universitario de Fuenlabrada. Fuenlabrada. Madrid. España.
Correspondencia: M Herreros. Correo electrónico: marta.herreros@salud.madrid.org
Cómo citar este artículo: Herreros Sáenz M, Albañil Ballesteros MR, Cabezudo Pedrazo J. Seroma de Morel-Lavallée. Rev Pediatr Aten Primaria. 2019;21:271-3.
Publicado en Internet: 13-09-2019 - Número de visitas: 20421
Resumen
El seroma de Morel-Lavallée consiste en una separación de la piel y el tejido celular subcutáneo con respecto a la fascia muscular, lo que origina un espacio que se rellena por líquido. Se presenta el caso de un niño de ocho años que acudió a nuestra consulta por tumefacción fluctuante tras antecedente traumático.
Palabras clave
● Edema ● Hematoma ● Lesiones de tejidos blandos ● SeromaAnte una tumefacción fluctuante, dolorosa y con antecedente traumático nos debemos plantear un amplio diagnóstico diferencial, como puede ser necrosis cutánea, hematomas secundarios a coagulopatías, sarcomas de partes blandas, linfocele, seroma de Morel-Lavallée, infección de partes blandas e infección osteomuscular.
Para obtener un diagnóstico correcto desde Atención Primaria contamos con una correcta anamnesis, una exploración física exhaustiva y pruebas de imagen (radiografía simple, ecografía o resonancia magnética).
Niño de ocho años que acudió a la consulta del centro de salud por aumento de tamaño en el miembro inferior izquierdo tras sufrir un traumatismo.
En la anamnesis dirigida, los padres referían el antecedente de una caída hacía unos diez días, con traumatismo directo en dicha localización. Ha estado afebril en todo momento. Fue atendido en la ciudad costera donde se encontraban de vacaciones, donde no le realizaron ninguna prueba de imagen.
Nuestro paciente no refería antecedentes médico-quirúrgicos de importancia. No tenía alergias conocidas y estaba vacunado de forma correcta.
En la exploración presentaba una tumefacción de 8 cm en el miembro inferior izquierdo, dolorosa a la palpación, fluctuante y con aumento de temperatura local, sin datos de infección. El trofismo vascular y nervioso estaba conservado. El resto de la exploración física era normal.
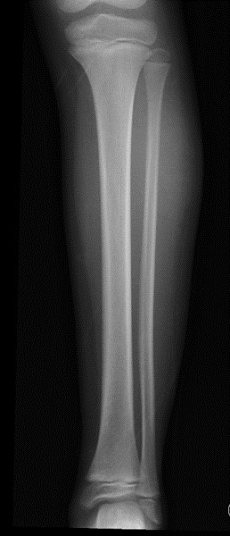
Ante estos hallazgos, se solicitó una radiografía de extremidad inferior izquierda (Fig. 1), en la que se observó un aumento de partes blandas y se descartó patología ósea.
| Figura 1. Radiografía de extremidad inferior izquierda en la que se observa aumento de partes blandas sin patología ósea |
|---|
![]() |

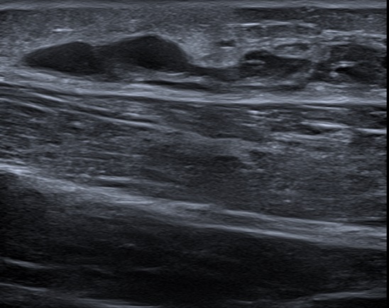
Tras ello, se hizo una ecografía de partes blandas, en la que se observó una colección que medía 7 × 4 × 0,6 cm (Fig. 2) de diámetro con varias loculaciones y ecos en su interior, localizada en la unión entre la fascia y el tejido celular subcutáneo.
| Figura 2. Ecografía de partes blandas. Región pretibial de la pierna izquierda donde se identifica una colección que mide 7 × 4 × 0,6 cm de diámetro, con varias loculaciones y ecos en su interior, localizada en la unión entre la fascia y el tejido celular subcutáneo |
|---|
![]() |

Los hallazgos ecográficos junto con el antecedente traumático directo eran sugerentes de un seroma de Morel-Lavallée.
El tratamiento en este caso fue conservador, aplicando medias compresivas, debido al tamaño de la lesión.
El seroma de Morel-Lavallée (SML) fue descrito por primera vez en 1863 por un cirujano francés, quien lo describió como una acumulación de líquido en los tejidos blandos tras un antecedente traumático1. Consiste en la separación de la piel y el tejido subcutáneo de la fascia subyacente, lo que crea un espacio ocupado por contenido serohemático2.
Habitualmente los síntomas se manifiestan varios días después del traumatismo inicial3. Puede pasar desapercibido y generar complicaciones, como infección y necrosis cutánea; ello hace necesarios un diagnóstico precoz y un tratamiento adecuados4.
El mecanismo que causa la lesión implica una contusión directa con impacto tangencial sobre los tejidos superficiales y sobre la fascia cerrada, generando un hematoma o un linfocele5.
El diagnóstico es clínico y se confirma con pruebas de imagen como ecografía, resonancia magnética o tomografía computarizada3,6,7.
Para el tratamiento del SML no hay modalidades de tratamiento establecidas. El tratamiento conservador, evitando traumatismos sobre la zona, con aplicación de vendaje de compresión, y analgesia con antiinflamatorios no esteroideos, se consideran la primera línea de tratamiento en pequeñas lesiones agudas sin fracturas óseas acompañantes. El drenaje percutáneo se puede utilizar para tratar lesiones agudas más grandes que no se pueden resolver con tratamiento conservador8.
Los autores declaran no presentar conflictos de intereses en relación con la preparación y publicación de este artículo.
SML: seroma de Morel-Lavallée.