Vol. 22 - Num. 86
Casos clínicos en Digestivo
Alberto Muñoz Ramosa, David Coca Robinotb, Iván Carabaño Aguadoc, Enrique Salcedo Lobatoc, Marta Germán Díaza, Enrique Medina Benítezc
aSección de Gastroenterología, Hepatología y Nutrición Pediátrica. Hospital Universitario 12 de Octubre. Madrid. España.
bSección de Radiología Infantil. Servicio de Radiodiagnóstico. Hospital Universitario 12 de Octubre. Madrid. España.
cSección de Gastroenterología, Hepatología y Nutrición Pediátrica. Servicio de Pediatría. Hospital Universitario 12 de Octubre. Madrid. España.
Correspondencia: A Muñoz. Correo electrónico: alberto_utrerano@hotmail.com
Cómo citar este artículo: Muñoz Ramos A, Coca Robinot D, Carabaño Aguado I, Salcedo Lobato E, Germán Díaz M, Medina Benítez E. Esteatosis pancreática, ¿hallazgo casual o factor de riesgo? Rev Pediatr Aten Primaria. 2020;22:181-3.
Publicado en Internet: 10-06-2020 - Número de visitas: 34236
Resumen
Se presenta el caso de un adolescente con esteatosis pancreática, en contexto de obesidad y en concurrencia con una esteatosis hepática. Dicho hallazgo es poco común en la edad pediátrica. En este rango de edad también se asocia a algunos trastornos genéticos, como la fibrosis quística, el síndrome de Swachmann-Diamond y el síndrome de CLOVES. Se ha demostrado que los pacientes con un páncreas graso tienen mayor riesgo de desarrollar síndrome metabólico, diabetes tipo II, pancreatitis crónica y cáncer de páncreas, motivo por el cual es importante su seguimiento periódico.
Palabras clave
● Esteatosis ● Obesidad ● PáncreasLa esteatosis pancreática es un hecho bien descrito en la población adulta, pero su prevalencia en la edad pediátrica es escasa. Es importante tener en cuenta que se ha vinculado con el desarrollo ulterior de síndrome metabólico, pancreatitis crónica y adenocarcinoma de páncreas. De ahí la importancia de divulgar este caso.
Varón de 12 años sin enfermedades previas, salvo obesidad, con antecedente de abuelo materno y tía abuela materna de hepatocarcinoma, el primero de ellos en contexto de cirrosis alcohólica. Asintomático. Dados los antecedentes se realiza desde Atención Primaria una ecografía abdominal, en la que se observa esteatosis hepática e infiltración grasa pancreática, además de riñón derecho en herradura con pelvis extrarrenal. Exploración física normal, salvo por una leve acantosis nigricans en el cuello.
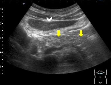
Está en seguimiento por esteatosis y obesidad conjuntamente en Digestivo y Endocrinología Pediátrica. A la edad de 14 años se observa una mejoría en el índice de masa corporal y resolución de la esteatosis hepática, persistiendo la alteración a nivel pancreático (Fig. 1). Analítica dentro de la normalidad en todo momento, incluidas enzimas hepáticas, enzimas pancreáticas, glucemias seriadas e insulinemia. Es dado de alta por buena evolución ecográfica y ausencia de síntomas, para continuar el seguimiento desde Atención Primaria.
| Figura 1. Ecografía abdominal. Corte transversal de la región epigástrica. Se aprecia hiperecogenicidad difusa del parénquima pancreático (flechas amarillas) con respecto al parénquima hepático (rotulado como una cabeza de flecha) |
|---|
![]() |

La esteatosis pancreática es un hallazgo relativamente frecuente en la población general. Su prevalencia llega hasta el 33% en algunas series en población adulta, habitualmente relacionada con obesidad y síndrome metabólico1. Sin embargo, en niños supone una entidad poco descrita, pero con implicaciones importantes en la salud del sujeto a largo plazo. Los factores etiológicos que hay que considerar se exponen en la Tabla 11,2.
| Tabla 1. Factores etiológicos relacionados con el páncreas graso. |
|---|
| Obesidad y sobrepeso |
| Infecciones víricas |
| Alcohol |
| Fármacos (corticoides, octreótido) |
| Malnutrición |
| Hemocromatosis |

Su patogenia es el fruto de dos hechos: sustitución de adipocitos tras muerte celular de las células pancreáticas e infiltración grasa de dicho órgano. Ambos procesos aparecen adscritos en un contexto de síndrome metabólico3,4.
La esteatosis pancreática se ha visto relacionada con obesidad y síndrome metabólico, con una mayor asociación a obesidad troncular y depósito visceral graso3. Del mismo modo, hay asociación entre esteatosis pancreática y diabetes tipo II e insulinorresistencia3. Algunos estudios han demostrado una menor producción de insulina a mayor depósito graso pancreático, aunque la evidencia que existe con respecto a este hecho es menor5. También se ha visto relación con la pancreatitis crónica, el desarrollo de adenocarcinoma ductal pancreático y la presencia concomitante de esteatosis hepática no alcohólica6.
En la edad pediátrica, diversos estudios han evidenciado una relación significativa entre esteatosis pancreática y obesidad, sobre todo en los que asocian también esteatosis hepática2.
En este rango de edad cobran importancia los trastornos genéticos, apareciendo en ciertas entidades como la fibrosis quística y el síndrome de Shwachman-Diamond7. Hanafusa et al. describen un caso de una niña de cinco años con síndrome de CLOVES (proliferación lipomatosa, malformaciones vasculares, escoliosis/malformaciones espinales y nevus epidérmicos) con una mutación en PIK3CA que asociaba esteatosis pancreática y presentaba niveles elevados de HbA1c, marcador relacionado con diabetes tipo II y cáncer pancreático8.
Para establecer el diagnóstico, la ecografía abdominal puede ser de gran utilidad en manos expertas, observándose una hiperecogenicidad del parénquima pancreático, comparada con la del parénquima renal en la misma ventana ecográfica (dada la coexistencia frecuente de esteatosis hepática no se recomienda hacer con respecto a este órgano). El depósito graso aumentado en el tejido subcutáneo en los individuos obesos hace difícil la valoración del páncreas mediante ecografía1.
En los pacientes en los que no es posible la valoración ecográfica, otras técnicas, como la tomografía computarizada, pueden ser de utilidad, evidenciando un páncreas hipodenso. No obstante, el patrón de oro en la actualidad es la resonancia magnética, con una precisión equiparable al examen histológico1,2.
En cuanto al seguimiento de estos pacientes, va a ser importante una valoración analítica periódica que incluya parámetros de afectación hepática, perfil lipídico y marcadores de insulinorresistencia. Se ha visto en estos individuos asociación con niveles elevados de transaminasas (AST, ALT, GGT), triglicéridos, insulina y péptido C, encontrando paradójicamente menor significación con otros marcadores tales como los niveles de glucosa y hemoglobina glicosilada. Del mismo modo, es importante el cribado de alteraciones cardiovasculares que pueden ocurrir en contexto de síndrome metabólico a edades tempranas, como la hipertensión arterial2.
No hay estudios concluyentes sobre qué tratamiento seguir, más allá de las medidas dietéticas y el ejercicio físico regular que se recomiendan en cualquier niño, en especial si padece sobrepeso u obesidad. En estos pacientes, se aconseja reducir el consumo de alimentos procesados, azúcares libres y grasa saturada. Por otro lado, también se recomienda la práctica regular de ejercicio físico moderado-intenso. De manera individualizada, si se ha constatado insulinorresistencia, hay que valorar la administración de metformina9.
En conclusión, la esteatosis pancreática constituye una complicación más en el contexto de la obesidad y el síndrome metabólico. No obstante, su presencia en edades tempranas es un factor de mal pronóstico, dada su relación independiente con el padecimiento de diabetes, pancreatitis y cáncer. Se debe de hacer énfasis en la promoción de un de vida saludable en la población pediátrica general como medida preventiva de su desarrollo, evitando los graves prejuicios que puede conllevar en la salud de estos niños.
Los autores declaran no presentar conflictos de intereses en relación con la preparación y publicación de este artículo.