Vol. 22 - Num. 86
Casos clínicos en Digestivo
David Recio Arcauza, Iván Carabaño Aguadoa, Elisa Aguirre Pascualb, Elima Pérez de Diegoa, Belén Huget Rodrígueza, Enrique Salcedo Lobatoa, Enrique Medina Beníteza
aSección de Gastroenterología, Hepatología y Nutrición Pediátrica. Servicio de Pediatría. Hospital Universitario 12 de Octubre. Madrid. España.
bSección de Radiología Infantil. Servicio de Radiodiagnóstico. Hospital Universitario 12 de Octubre. Madrid. España.
Correspondencia: D Recio. Correo electrónico: dvd.recio@gmail.com
Cómo citar este artículo: Recio Arcauz D, Carabaño Aguado I, Aguirre Pascual E, Pérez de Diego E, Huget Rodríguez B, Salcedo Lobato E, et al. Hepatopatía tras la cirugía de Fontan. Rev Pediatr Aten Primaria. 2020;22:185-8.
Publicado en Internet: 12-06-2020 - Número de visitas: 13856
Resumen
La enfermedad hepática relacionada con cirugía de Fontan es la afectación estructural y funcional del hígado tras realizar una cirugía de Fontan. Como en otras hepatopatías, el curso puede ser progresivo, y abocar potencialmente a la aparición de complicaciones, algunas de ellas importantes, como cirrosis, ascitis, varices esofágicas o encefalopatía. Su origen no es inflamatorio, sino congestivo. Entre las pruebas complementarias, destacan la ecografía Doppler, la elastografía y la biopsia hepática. Su tratamiento es multidisciplinar e incluye optimizar la función cardiaca, prevención y manejo de las complicaciones hepáticas y prevención del hígado graso.
Palabras clave
● Cirugía cardiaca ● Fontan ● HígadoLa enfermedad hepática relacionada con cirugía de Fontan (EHCF) es una entidad que consiste en la afectación estructural y funcional del hígado tras realizar una cirugía de Fontan (CF). Como en otras hepatopatías, el curso puede ser progresivo, y abocar potencialmente a la aparición de complicaciones, algunas de ellas importantes (carcinoma hepatocelular, ascitis, hemorragia por varices, encefalopatía hepática). De ahí que sea importante identificarla, caracterizar su magnitud y establecer un pronóstico.
Su divulgación y conocimiento en el ámbito de Atención Primaria permitirá optimizar el seguimiento de estos pacientes, con el objeto de dar una adecuada continuidad asistencial a los mismos.
Adolescente de 16 años, afectada de síndrome de ventrículo izquierdo hipoplásico. Intervenida inicialmente de cirugía paliativa de Norwood y posteriormente anastomosis de Glenn a los seis meses de vida. Durante los años siguientes precisa dos aortoplastias y una angioplastia de la rama pulmonar derecha. A los ocho años de vida se le interviene mediante procedimiento de Fontan. Posteriormente se han ido realizando controles periódicos por la sección de cardiología pediátrica. Evolución favorable. En tratamiento actual con espironolactona y ácido acetilsalicílico.
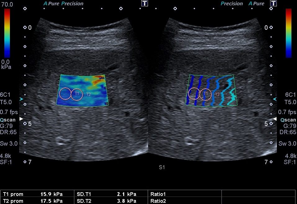
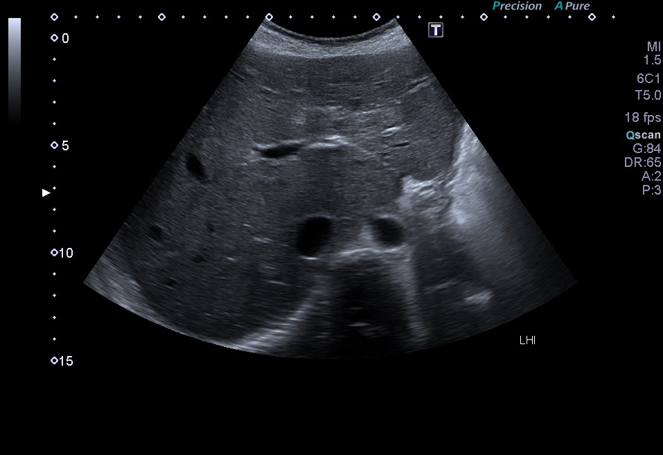
En la última revisión se realiza una ecografía abdominal, donde se observa un hígado de tamaño conservado y ecogenicidad heterogénea con áreas parcheadas hiperecogénicas (Fig. 1), ausencia de lesiones focales, y flujos vasculares sin alteraciones. En la elastografía se registraron valores aumentados, de hasta 20 kPa (Fig. 2). Se inició un programa de seguimiento periódico por parte de la sección de gastroenterología, con realización de ecografías-elastografías seriadas, cada seis meses.
La cirugía de Fontan (derivación cavopulmonar) es una técnica quirúrgica utilizada para el tratamiento del ventrículo izquierdo hipoplásico, gracias a la cual se ha permitido garantizar la supervivencia de muchos pacientes afectados por este grave problema de salud. La enfermedad hepática relacionada con la cirugía de Fontan (EHCF) es una entidad que se presenta de forma casi invariable en estos pacientes con el paso del tiempo, especialmente a los 5-10 años posquirúrgicos. Por tanto, se considera buena praxis establecer revisiones sistemáticas, con el objetivo de identificar precozmente las complicaciones que puedan aparecer1-4.
Al contrario que en la mayoría de las hepatopatías, en las que el daño tiene una naturaleza inflamatoria, en la EHCF no se dan fenómenos inflamatorios. La lesión está condicionada en este caso por la congestión hepática mantenida1,2. En el plano microscópico se produce aumento de la presión y dilatación de los sinusoides hepáticos, con la consecuente hiperfiltración y edema a nivel de espacios perisinusoidales. Este edema dificulta la llegada de oxígeno y facilita fenómenos de necrosis y aparición de mediadores fibrogénicos. De manera correlativa con los hallazgos fisiopatológicos, se distinguen tres fases en la historia natural de la EHCF (Tabla 1)1-4.
| Tabla 1. Fases clínicas de la enfermedad hepática relacionada con cirugía de Fontan | |||
|---|---|---|---|
| Fase | Clínica | Hallazgos analíticos | Biopsia |
| Congestión hepática y dilatación sinusoidal |
Asintomático Hepatomegalia dolorosa |
Elevación leve de la bilirrubinemia indirecta Elevación de la GGT |
Dilatación sinusoidal Necrosis lobulillar |
| Fibrosis sin hipertensión portal |
Asintomático Hepatomegalia dolorosa |
Elevación de GOT, GPT y LDH |
Fibrosis perisinusoidal Nódulos regenerativos Necrosis hepatocelular |
| Fibrosis avanzada con hipertensión portal | Complicaciones de la hipertensión portal (varices esofágicas, ascitis, encefalopatía) | Hipoalbunimenia, alteración de la coagulación y trombocitopenia. |
Cirrosis hepática Riesgo de hepatocarcinoma |

Las principales exploraciones complementarias, así como sus hallazgos, se exponen en la Tabla 25-9. Cabe destacar que la prueba inicial de elección es la ecografía Doppler, que la elastografía parece ser una prueba no invasiva con capacidad pronóstica y que la biopsia hepática es el gold standard para categorizar el grado de afectación real de estos pacientes. En el seguimiento, se preconiza la realización de ecografías Doppler y elastografías seriadas cada 3-12 meses.
| Tabla 2. Exploraciones complementarias utilizadas en la enfermedad hepática relacionada con cirugía de Fontan | |
|---|---|
| Prueba complementaria | Hallazgos |
| Ecografía Doppler |
Ecogenicidad heterogénea Superficie hepática nodular Nódulos hiperecoicos de pequeño tamaño Alteración del flujo sanguíneo a través de las venas suprahepáticas |
| Elastografía hepática |
Elevación leve de los valores de medición en estadios iniciales (congestión venosa) Elevación más marcada (>15 kilopascales) en cuadros evolucionados, por fibrosis8-10 |
| Biopsia hepática |
Dilatación sinusoidal Fibrosis perisinusoidal Fibrosis centrolobulillar extensa en puentes con nódulos regenerativos |

El mejor tratamiento de la EHCF es el abordaje multidisciplinar1-9. Al encontrarse su desarrollo en estrecha relación con el gasto cardiaco del paciente, es de especial importancia la optimización de la función cardiaca poscirugía. Este hecho quedará salvaguardado por los cardiólogos infantiles. Por otro lado, las posibles complicaciones derivadas de la hipertensión portal serán evaluadas de forma periódica por los gastroenterólogos infantiles. De igual modo, el papel del médico pediatra de Atención Primaria será coordinar la atención integral de estos niños-adolescentes, y establecer medidas preventivas de la aparición del hígado graso (dieta saludable, ejercicio físico adaptado). La sobreimposición de un hígado graso podría empeorar la evolución y precipitar la aparición de complicaciones. Hasta en un tercio de los adultos con EHCF aparece cirrosis hepática10.
Los autores declaran no presentar conflictos de intereses en relación con la preparación y publicación de este artículo.
CF: cirugía de Fontan · EHCF: enfermedad hepática relacionada con cirugía de Fontan.