Vol. 22 - Num. 88
Casos clínicos en Digestivo
Lara San Miguel Lópeza, Iván Carabaño Aguadob, David Coca Robinotc, Noelia Marcos Gómezd, Enrique Salcedo Lobatob, Enrique Medina Benítezb
aSección de Gastroenterología, Hepatología y Nutrición Infantil. Servicio de Pediatría. Hospital Universitario 12 de Octubre. Madrid. España.
bSección de Gastroenterología, Hepatología y Nutrición Pediátrica. Servicio de Pediatría. Hospital Universitario 12 de Octubre. Madrid. España.
cSección de Radiología Infantil. Servicio de Radiodiagnóstico. Hospital Universitario 12 de Octubre. Madrid. España.
dSección de Radiodiagnóstico Infantil. Servicio de Radiodiagnóstico. Hospital Universitario 12 de Octubre. Madrid. España.
Correspondencia: L San Miguel . Correo electrónico: sanmiguellopezlara@gmail.com
Cómo citar este artículo: San Miguel López L, Carabaño Aguado I, Coca Robinot D, Marcos Gómez N, Salcedo Lobato E, Medina Benítez E. ¿Dónde está la vesícula biliar? Rev Pediatr Aten Primaria. 2020;22:407-9.
Publicado en Internet: 09-12-2020 - Número de visitas: 15850
Resumen
Se presenta el caso de un lactante con agenesia de la vesícula biliar de diagnóstico prenatal. Este hallazgo es poco común. En la mayor parte de los casos se detecta de manera casual durante una exploración quirúrgica. No es infrecuente que produzca sintomatología (25-30%), y cuando lo hace, esta es indistinguible de otras patologías de vías biliares. El reto fundamental en esta entidad es su diagnóstico prequirúrgico, cada día más factible dados los avances en las técnicas de imagen. Dada la baja tasa de complicaciones y la buena evolución de estas, es una entidad con un pronóstico favorable.
Palabras clave
● Agenesia ● Vesícula biliarLa agenesia de la vesícula biliar es una entidad poco frecuente (1/6000 recién nacidos vivos), que generalmente cursa de manera asintomática, pero puede debutar simulando una colelitiasis. La mayor parte de los casos se identifica casualmente durante una exploración quirúrgica. Dado el avance en las técnicas de imagen, cada vez es más factible el diagnóstico prenatal, como se muestra en el caso clínico que se presenta a continuación.
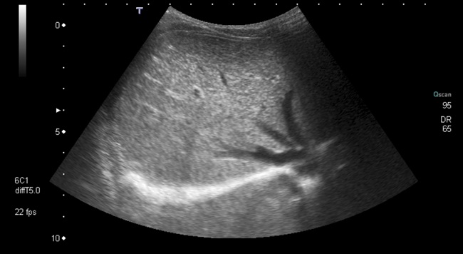
Varón de seis meses, con antecedente de ingreso en la Unidad de Neonatología por prematuridad, que derivan a consulta de Digestivo Infantil por sospecha de agenesia de vesícula biliar visualizada desde la ecografía prenatal de la semana 22. Durante el ingreso en el periodo neonatal se realizan varias analíticas sanguíneas con perfil hepático sin observarse alteraciones y dos ecografías abdominales (a los 10 y a los 28 días de vida) donde no se identifica vesícula (Fig. 1).
| Figura 1. Ecografía hepática: hígado homogéneo de tamaño normal sin lesiones focales. Ausencia de vesícula. No dilatación de la vía biliar intra- y extrahepática |
|---|
![]() |

Se revisa al paciente a los seis meses y a los tres años de edad con analítica y ecografía abdominal compatibles con diagnóstico de agenesia de la vesícula biliar. Asintomático, con exploración física sin alteraciones y buena ganancia de peso y talla en todo momento.
Dada la ausencia de sintomatología y signos de alarma, es dado de alta para continuar seguimiento por parte de su pediatra de Atención Primaria.
La agenesia de la vesícula biliar es una malformación anatómica extremadamente rara, descrita por primera vez en la literatura médica en 1702 por Bergman. En ocasiones, esta anomalía anatómica se asocia a otras anomalías gastrointestinales y cardiovasculares1-3.
La mayoría se diagnostican incidentalmente (imágenes o cirugía), dado que, por lo general, cursa de manera asintomática durante toda la vida. Entre un 23-50% de los pacientes presentan síntomas que simulan una patología biliar, y que con frecuencia son etiquetados erróneamente como colecistitis o colelitiasis sintomática1.
En 1988, Bennion et al. establecieron una clasificación según el momento de presentación (Tabla 1)1.
| Tabla 1. Clasificación de Bennion de las agenesias de vesícula biliar | |
|---|---|
| Tipo 1 | Contexto de múltiples anomalías fetales |
| Tipo 2 | Diagnóstico post mortem |
| Tipo 3 | Diagnóstico intraoperatorio |

El reto en esta entidad es diagnosticarla antes de que los pacientes se sometan a una cirugía innecesaria. La ecografía sigue siendo el método inicial de estudio ante sospecha de patología biliar, aunque puede ser una herramienta engañosa (vesícula biliar contraída). La gammagrafía con ácido iminodiacético hepatobiliar y la colangiopancreatografía retrógrada endoscópica también pueden ser engañosas en este contexto, ya que la no visualización de la vesícula se puede interpretar como una obstrucción del cístico. En este sentido, la colangiopancreatografía por resonancia magnética puede ayudar cuando el diagnóstico sea incierto2-4.
Por lo tanto, aun siendo una condición muy infrecuente, se debe tener en cuenta en el diagnóstico diferencial de la patología biliar para evitar intervenciones innecesarias3-8.
El pronóstico de esta entidad es claramente favorable. No se han descrito complicaciones evolutivas al respecto1.
Los autores declaran no presentar conflictos de intereses en relación con la preparación y publicación de este artículo.