Vol. 23 - Num. 30
Casos clínicos finalistas
Sara Olivares Aguirrea, Sara Suárez Cabezasb, María Escobar Castellanosc
aMIR-Pediatría. Hospital Universitario Infanta Leonor. Madrid. España.
bServicio de Pediatría. Hospital Universitario Infanta Leonor. Madrid. España.
cPediatra. CS Pavones. Servicio de Pediatría. Hospital Universitario Infanta Leonor. Madrid. España.
Cómo citar este artículo: Olivares Aguirre S, Suárez Cabezas S, Escobar Castellanos M. Malformación uterina como causa de dismenorrea en una adolescente. Rev Pediatr Aten Primaria. Supl. 2021(30):62-4.
Publicado en Internet: 30-11--0001 - Número de visitas: 7801
La dismenorrea, definida como dolor uterino que precede y acompaña a la menstruación, supone uno de los motivos de consulta ginecológicos más frecuentes en Atención Primaria.
Para poder diagnosticar la dismenorrea como primaria es prioritario descartar patología pélvica asociada, tal como endometriosis, malformaciones, obstrucción del tracto genital o enfermedad inflamatoria pélvica. Es por ello que, aunque la etiología primaria es la más frecuente, es necesario realizar una anamnesis y una exploración física cuidadosa en las adolescentes que consulten por dolor pélvico.
Las anomalías estructurales del útero, la vagina y el himen que obstruyen parcialmente el flujo menstrual pueden presentarse con dismenorrea grave poco después de la menarquia.
Las pacientes con anomalías congénitas del útero (ACU) tienen un riesgo aumentado de presentar otras anomalías a nivel renal, esquelético o de la pared abdominal. Las anomalías renales están presentes en un 20-30% de los pacientes con defectos müllerianos1. La incidencia de las ACU en la población general se estima en torno a un 0,001%-10%, suponiendo el útero didelfo o doble el 8% de todas las AUC.
Presentamos el caso de una adolescente de 13 años que consultó por dolor abdominal, de predominio en hipogastrio, de intensidad creciente desde hacía tres días coincidiendo con el inicio de la menstruación. Asociaba anuria en las últimas 24 horas, sin clínica miccional ni fiebre. Negaba alteraciones del ritmo intestinal u otra clínica gastrointestinal. Menarquia hacía 8 meses, eumenorrea, salvo dismenorrea ocasional por lo que había consultado previamente. Originaria de República Dominicana sin antecedentes personales de interés.
En la exploración física la paciente se encontraba estable, afectada por el dolor, con un abdomen globuloso y prominente en región caudal, doloroso a la palpación de forma generalizada con defensa abdominal a nivel del hipogastrio y ambas fosas iliacas. Se solicitó una analítica sanguínea sin alteraciones significativas. Se realizó una exploración ecográfica abdominal en consulta en la que no se consiguió visualizar el riñón izquierdo y en la que destacaba una vejiga muy distendida con contenido anecoico, el útero aumentado de tamaño hasta región umbilical, con contenido heterogéneo, sin flujo Doppler, con cérvix y vagina dilatadas sin clara diferenciación. Tras sondaje vesical se obtuvo un litro de orina sin alteraciones en la tira reactiva.
Ante los hallazgos descritos la paciente fue derivada a ginecología, donde objetivaron a la exploración un himen perforado y una distensión importante de la cara lateral izquierda de la vaginal que impedía la correcta localización del fondo de la misma, además de los hallazgos ecográficos previamente descritos.
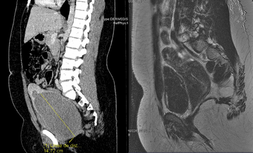
En el TAC urgente que se solicitó se evidenció un útero dilatado de hasta 15x10x10 cm con contenido hetereogéneo compatible con hemartros y una morfología bicorne (Figura 1). Ante la sospecha de malformación uterina se realizó drenaje vía transvaginal bajo sedación con extracción de un litro de contenido hemático y se inició tratamiento con anovulatorios para evitar menstruaciones.
Se completó estudio con resonancia magnética (RM) pélvica en la cual se evidenció una hipertrofia compensadora del riñón derecho en probable relación con la agenesia renal izquierda ya conocida y dos cavidades uterinas sin comunicación entre ambas compatible con un útero doble o didelfo (Fig. 1). El cérvix del hemiútero derecho, de morfología normal, se encontraba lateralizado hacía la derecha, y el del hemiútero izquierdo se encontraba distendido con alteración en su morfología compatible con hematrometra y hematocolpos de la hemivagina ipsilateral obstruida.
| Figura 1. Tomografía computarizada (a la izquierda) y resonancia magnética (a la derecha) de la paciente |
|---|
![]() |

Con el diagnóstico de síndrome de OHVIRA (obstructed hemivagina and ipsilateral renal anomaly) o síndrome de Herlyn-Wermer-Wunderlich (Fig. 2) se programó la cirugía.
Durante la intervención se evidenció plastrón purulento que englobaba trompa y anejo izquierdos, los cuales se encontraban desestructurados y con zonas necróticas por lo que realizaron quistectomía izquierda además de la apertura vaginal vía histeroscopia. En el postoperatorio inmediato precisó de antibioterapia ante la sospecha de sepsis y de transfusión de hematíes por anemia. La paciente presentó una evolución favorable posterior.
El útero doble o didelfo, supone la duplicación de las estructuras reproductivas, generalmente limitadas al útero y cérvix. Se produce por un defecto en la fusión de los conductos müllerianos durante el periodo de embriogénesis2. Se desconoce con exactitud su causa, aunque se piensa que la mayoría se deben a un defecto poligénico y multifactorial. El cariotipo en la mayoría de las pacientes es 46 XX. Normalmente la duplicación se limita al útero y al cérvix (útero didelfo y bicollis), aunque en un porcentaje importante de las pacientes se encuentra duplicación de otras estructuras del tracto genitourinario (vagina, vulva, vejiga, o uretra). Un 15-20% asocian además anomalías unilaterales como obstrucción de una hemivagina o agenesia renal ipsilateral.
Esta malformación generalmente se manifiesta a partir de la menarquia con dolor pélvico o sangrado menstrual anormal. No obstante, debido a las malformaciones renales asociadas en algunos casos, el diagnóstico podría llegar a ser prenatal.
Las pacientes con obstrucción de una hemivagina tendrán sangrados menstruales regulares ya que la sangre procedente de uno de los hemiúteros podrá salir a través del cérvix y hemivagina no obstruidos. No obstante, estas pacientes desarrollarán con el tiempo un dolor pélvico cíclico secundario al acúmulo de sangre en el hemiútero obstruido.
Aunque la ecografía supone la prueba diagnóstica inicial de elección, la resonancia magnética aporta más información acerca de la morfología uterina y de los posibles defectos asociados, y supone la técnica de mayor precisión para la planificación quirúrgica3.
Es fundamental diagnosticar este síndrome de forma precoz para evitar complicaciones secundarias al acúmulo de sangre, como endometriosis o infecciones, o derivadas de la propia malformación como abortos espontáneos, partos pretérmino o crecimiento intraútero restringido4.
Las autoras declaran no presentar conflictos de intereses en relación con la preparación y publicación de este artículo.