Vol. 23 - Num. 30

Casos clínicos. Gastroenterología, nutrición y obesidad

Enfermedad del hígado graso no alcohólico en la infancia: valoración y sospecha ecográfica desde Atención Primaria

Elena Galindo Lalanaa, Neelam Mithumal Dadlani Dadlani a, Rocío Garcés Cubela, Ana Revuelta Cabelloa, Elena Borque Navarroa, M.ª Pilar Lalana Josab

aMIR-Pediatría. Hospital Clínico Universitario Lozano Blesa. Zaragoza. España.
bPediatra. CS San José Centro. Zaragoza. España.

Cómo citar este artículo: Galindo Lalana E, Dadlani Dadlani NM, Garcés Cubel R, Revuelta Cabello A, Borque Navarro E, Lalana Josa MP. Enfermedad del hígado graso no alcohólico en la infancia: valoración y sospecha ecográfica desde Atención Primaria. Rev Pediatr Aten Primaria. Supl. 2021(30):157-8.

Publicado en Internet: 30-11--0001 - Número de visitas: 8969

INTRODUCCIÓN

La enfermedad del hígado graso no alcohólico es la causa más común de enfermedad hepática crónica pediátrica en países industrializados, siendo rara en menores de diez años. Es la manifestación hepática del síndrome metabólico y su factor de riesgo más importante es la obesidad, sobre todo asociada a la adiposidad visceral. Su estudio implica la realización de analítica para valorar lesión hepática y descartar otras patologías. La ecografía permite detectar un hígado hiperecóico con diferentes grados de infiltración.

CASO CLÍNICO

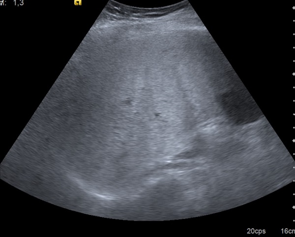
Adolescente varón de 13 años, de origen latinoamericano, controlado en la consulta de Pediatría de Atención Primaria por sobrepeso. Peso: 63,5 kg (P87 1,6 desviaciones estándar [DE]), talla: 155,5 cm (P37 -0,34 DE), índice de masa corporal: 26,26 (P95 1,73 DE), perímetro abdominal 85,5 cm (P98 2,16 DE). Presión arterial de 120/66 mmHg. El resto de la exploración fue normal. No presenta acantosis nigricans. En analítica, ALT 304 UI/l, AST 144 UI/l, GGT 85 UI/l y fosfatasa alcalina 253 UI/l. Colesterol 165 mg/dl. Resto de bioquímica, hemograma y función tiroidea normales. Marcadores de enfermedad celíaca negativos. Se realiza estudio ecográfico en el Centro de Salud visualizando hígado de tamaño normal y contornos regulares, con aumento de ecogenicidad y aspecto esteatósico del parénquima hepático (Fig. 1).

Figura 1. Ecografía abdominal con parénquima hepático con aumento de ecogenicidad
Figura 1. Ecografía abdominal con parénquima hepático con aumento de ecogenicidad

Se realiza registro semanal de ingesta y ejercicio, comprobándose exceso de hidratos de carbono, grasa y proteína animal (hipercalórica). Consumo de zumos y refrescos azucarados en vez de agua. Hábito sedentario. Todo acentuado desde el confinamiento.

Se inicia educación dietética familiar y seguimiento estrecho de su cumplimiento para abordar globalmente cambios en el estilo de vida.

Se deriva a consulta de endocrinología pediátrica para realizar curva de sobrecarga oral de glucosa y cálculo de HOMA-IR como marcador de resistencia a la insulina.

CONCLUSIONES

La enfermedad del hígado graso no alcohólico está infradiagnosticada en niños. Su reconocimiento se basa en la detección de esteatosis hepática ecográfica, combinado con la presencia de factores de riesgo (principalmente obesidad central/sobrepeso), aumento de transaminasas y la exclusión de otras enfermedades hepáticas. La modificación de los estilos de vida es la primera línea de intervención y la más eficaz, aunque el cumplimiento es pobre. Las intervenciones dirigidas a la pérdida de peso deben involucrar a todo el ambiente familiar, iniciándose, tal y como se ha hecho en este caso, desde Atención Primaria. Es fundamental un seguimiento estrecho para evitar la evolución a enfermedad crónica hepática. Los cambios en el estilo de vida a largo plazo reducen los niveles de ALT y mejoran la histología hepática.

CONFLICTO DE INTERESES

Los autores declaran no presentar conflictos de intereses en relación con la preparación y publicación de este artículo.

ABREVIATURAS

DE: desviaciones estándar