Vol. 23 - Num. 30
Casos clínicos. Gastroenterología, nutrición y obesidad
Juan Hidalgo Sanza, M.ª Teresa Abós Cenarrob, M.ª José Sánchez Maloc, Rebeca Hernández Abadíaa, Patricia Rubio Sánchezd, M.ª Teresa Cenarro Guerreroe
aServicio de Pediatría. Hospital Universitario Miguel Servet. Zaragoza. España.
bCS Torre Ramona. Zaragoza. España.
cHospital Comarcal Reina Sofía. Tudela. Navarra. España.
dMIR-Pediatría. Hospital Universitario Miguel Servet. Zaragoza. España.
ePediatra. CS Ruiseñores. Zaragoza. España.
Cómo citar este artículo: Hidalgo Sanz J, Abós Cenarro MT, Sánchez Malo MJ, Hernández Abadía R, Rubio Sánchez P, Cenarro Guerrero MT. Disfagia en paciente atópico. Rev Pediatr Aten Primaria. Supl. 2021(30):160-1.
Publicado en Internet: 30-11--0001 - Número de visitas: 6063
La esofagitis eosinofílica (EEo) es una enfermedad emergente, crónica, mediada por el sistema inmune y caracterizada por síntomas de disfunción esofágica e inflamación con infiltración eosinofílica aislada en el esófago. Es más frecuente en varones y en pacientes atópicos. Los síntomas varían con la edad: en niños pequeños se manifiesta con vómitos, dolor abdominal y problemas con la alimentación y en niños mayores y adolescentes con disfagia e impactación alimentaria. Las opciones terapéuticas incluyen inhibidores de la bomba de protones, dieta de eliminación empírica y corticoides deglutidos. Tras el tratamiento de inducción es aconsejable la terapia de mantenimiento.
Paciente de 14 con antecedentes personales de dermatitis atópica, asma extrínseca por sensibilización a pólenes y alergias alimentarias (frutos secos y mariscos). Desde hace dos años presenta varios episodios de disfagia y halitosis. Los episodios se repiten con una frecuencia de una vez a la semana, algunos de los cuales van acompañados de vómitos. Tiene un adecuado desarrollo ponderoestatural y la exploración física no muestra ningún hallazgo de interés. Dada la frecuencia de los episodios, es derivado a Gastroenterología Infantil.
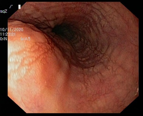
Se realiza una gastroscopia (Fig. 1) que muestra alteraciones esofágicas compatibles con EEo. La anatomía patológica refleja agregados de eosinófilos (>15 eosinófilos por campo de gran aumento) con elongación de las crestas interepiteliales, lo que confirma el diagnóstico endoscópico. Se inicia tratamiento con inhibidores de la bomba de protones (IBP), con buena respuesta clínica.
| Figura 1. Endoscopia esofágica en la que se aprecia estriaciones longitudinales con tendencia a la traquealización |
|---|
![]() |

La EEo es una patología crónica cuyo diagnóstico está en aumento en nuestros días, por lo que resulta de gran utilidad conocer sus principales manifestaciones clínicas, así como las herramientas de diagnóstico de las que disponemos. Más del 50% de los afectados tienen alguna condición atópica, como rinitis alérgica, dermatitis atópica o alergia alimentaria.
En los últimos años se están utilizando como tratamiento de primera línea los esteroides tópicos deglutidos, dietas de eliminación empírica o IBP. Sin embargo, la dieta es el único tratamiento que se dirige a la causa de la enfermedad, al identificar los alimentos desencadenantes.
La respuesta a los tratamientos requiere la evaluación histológica, por la escasa concordancia entre los síntomas y la inflamación esofágica.
Los autores declaran no presentar conflictos de intereses en relación con la preparación y publicación de este artículo.
EEo: esofagitis eosinofílica · IBP: inhibidores de la bomba de protones.