Vol. 23 - Num. 30

Casos clínicos. Gastroenterología, nutrición y obesidad

Estreñimiento secundario; infrecuente, pero existente

Amaia Calvo Fernándeza, Juan Bravo Feito a

aCS Barrio del Pilar. Hospital Universitario La Paz. Madrid. España.

Cómo citar este artículo: Calvo Fernández A, Bravo Feito J. Estreñimiento secundario; infrecuente, pero existente. Rev Pediatr Aten Primaria. Supl. 2021(30):185-6.

Publicado en Internet: 30-11--0001 - Número de visitas: 4654

INTRODUCCIÓN

El estreñimiento es un problema frecuente en la edad pediátrica, siendo el 3% de las consultas de Atención Primaria. Etiológicamente se clasifica en primario, con una prevalencia del 90-95% y en el que no se objetiva causa orgánica, por lo que precisa de los criterios Roma IV para su diagnóstico; y secundario, muchísimo más infrecuente. El estreñimiento secundario comprende desde entidades banales como las fisuras anales hasta patologías graves como la enfermedad de Hirschprung o tumores pélvicos (teratoma sacro, rabdomiosarcoma vesical…).

Presentamos un caso de estreñimiento secundario de complicado diagnóstico.

CASO CLÍNICO

Lactante varón de ocho meses de edad, sin antecedentes de interés (exprematuro de 36 semanas de edad gestacional, primer gemelo de embarazo gemelar), en seguimiento por su pediatra de Atención Primaria por estreñimiento pertinaz desde hace diez días, con hábito deposicional previo normal (cinco deposiciones diarias). Asocia hiporexia con vómitos esporádicos de contenido alimentario.

En la exploración presenta heces en el marco de un cólico izquierdo y en el tacto ampolla rectal vacía. Su pediatra inicia tratamiento de desimpactación con eupeptina y supositorios de glicerina. Durante el seguimiento a las 24 horas, no se objetiva mejoría, y dado que se siguen sin palpar heces en sigma, se deriva a Urgencias Hospitalarias para descartar aganglionosis intestinal congénita u obstrucción de origen incierto.

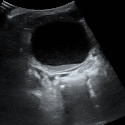
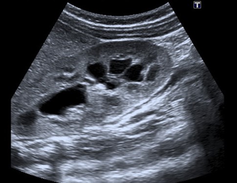
A su llegada a Urgencias, se realiza radiografía de abdomen sin alteraciones y ecografía abdominal en la que se objetiva dilatación uretero-pielo-calicial bilateral (Fig. 1) además de distensión vesical con nivel líquido-sedimento y discreto engrosamiento de pared (Fig. 2).

Figura 1. Dilatación uretero-pielo-calicial
Figura 1. Dilatación uretero-pielo-calicial
Figura 2. Distensión vesical con nivel líquido-sedimento y discreto engrosamiento de pared
Figura 2. Distensión vesical con nivel líquido-sedimento y discreto engrosamiento de pared

El paciente ingresa en primer lugar a cargo de Gastroenterología para despistaje de datos de alarma de estreñimiento. Sin embargo, rehistoriando a los familiares, se descubre que el paciente asocia disminución leve de la diuresis y chorro miccional entrecortado, por lo que se traslada a Nefrología.

Finalmente, tras numerosas pruebas complementarias, la resonancia magnética evidencia una masa en suelo vesical y celda prostática, periuretral, con primera sospecha de rabdomiosarcoma. La biopsia confirma el diagnóstico de imagen, mostrando un rabdomiosarcoma embrionario.

COMENTARIOS

Dado que el estreñimiento es un motivo de consulta habitual en Atención Primaria, resulta interesante este caso, ya que demuestra que entidades aparentemente banales pueden ser la primera manifestación de una patología subyacente de mayor gravedad. Por tanto, no habremos de olvidarlas ni en el diagnóstico diferencial clínico ni durante el seguimiento. 

CONFLICTO DE INTERESES

Los autores declaran no presentar conflictos de intereses en relación con la preparación y publicación de este artículo.