Vol. 23 - Num. 30

Casos clínicos. Gastroenterología, nutrición y obesidad

Doctora, la niña está amarilla

Marina Portal Buenagaa, Luis Ramón de la Rubia Fernándezb, Ainoa Buendía de Guezalaa, Daniel Pérez Gonzálezc, Andrea Gómez Arcec, Lucía Cueli del Campob

aHospital Universitario Marqués de Valdecilla. Santander. Cantabria. España.
bHospital Universitario Marqués de Valdecilla. CS Alto Asón. Ramales de la Victoria. Cantabria. España.
cServicio de Pediatría. Hospital Universitario Marqués de Valdecilla. Santander. Cantabria. España.

Cómo citar este artículo: Portal Buenaga M, de la Rubia Fernández LR, Buendía de Guezala A, Pérez González D, Gómez Arce A, Cueli del Campo L. Doctora, la niña está amarilla. Rev Pediatr Aten Primaria. Supl. 2021(30):189-90.

Publicado en Internet: 30-11--0001 - Número de visitas: 4318

INTRODUCCIÓN

El concepto de colestasis refleja aquellas situaciones de obstrucción al flujo biliar. Pueden deberse a múltiples causas tanto intra- como extrahepáticas. La estenosis congénita del colédoco es una de ellas, siendo esta muy infrecuente.

CASO CLÍNICO

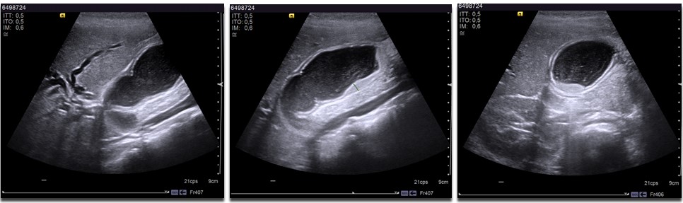
Niña de nueve años, sin antecedentes personales ni familiares de interés, que acude a su centro de salud porque desde hace tres semanas presenta astenia, hipocolia y coluria. En la última semana asocia ictericia y prurito. A la exploración física destaca ictericia intensa de piel y conjuntivas, así como hepatomegalia de 3 cm, a expensas de ambos lóbulos y de consistencia aumentada. En analítica sanguínea se objetiva elevación de marcadores de colestasis (AST 472 U/I, ALT 804 U/I, GGT 318 U/l, fosfatasa alcalina 772 U/I, bilirrubina total 7,1 mg/dl, bilirrubina directa 4,7 mg/dl y colesterol 290 mg/dl). Se amplía estudio para descartar etiología infecciosa, autoinmune y metabólica del cuadro, con resultados normales. En la ecografía abdominal (Fig. 1) se observa dilatación de vía biliar intra y extrahepática, así como vesícula biliar distendida y barro biliar en su interior. Ante los hallazgos descritos se decide ingreso, pautándose tratamiento con dieta hipograsa y ácido ursodesoxicólico. Ante empeoramiento analítico y ecográfico, pasadas 24 horas, se añade al tratamiento antibioterapia con cefotaxima con la sospecha de colangitis asociada, con buena evolución clínica, analítica y ecográfica posterior. Previo al alta, se realiza una colangiorresonancia magnética en la que se objetiva un brusco cambio de calibre en la porción intrapancreática del colédoco sin causa extrínseca que lo justifique, y que en el contexto clínico sugiere una estenosis congénita a ese nivel. Con estos hallazgos se programa una colangiopancreatografía retrógrada endoscópica, en la que se realiza esfinterotomía y dilatación con balón con colocación de dos prótesis. Dos meses más tarde presentó nuevo episodio de colangitis leve que se controló con ciclo antibiótico. Buena evolución posterior, pudiéndose retirar las prótesis un año tras el procedimiento y permaneciendo asintomática hasta la actualidad.

Figura 1. Ecografía con hallazgos de vesícula biliar distendida y barro en su interior.
Figura 1. Ecografía con hallazgos de vesícula biliar distendida y barro en su interior.

CONCLUSIONES

La colestasis es un síndrome clínico de diferentes etiologías. Es importante un buen enfoque diagnóstico preliminar desde Atención Primaria. En este sentido, un estudio analítico básico junto con la ecografía deben ser las pruebas iniciales de elección, ya que en ocasiones estos pacientes pueden requerir en un período breve de tiempo de pruebas diagnósticas y terapéuticas más específicas, como en el caso que presentamos.

CONFLICTO DE INTERESES

Los autores declaran no presentar conflictos de intereses en relación con la preparación y publicación de este artículo.