Vol. 23 - Num. 30

Casos clínicos. Enfermedades infecciosas

Nódulos esplénicos en pacientes pediátricos con leishmaniasis visceral

Laura Palomino Fernándeza, Ruth Capitán Guarnizob, Beatriz Ruiz Sáezc

aMIR-Pediatría. Hospital Universitario Reina Sofía Córdoba. Córdoba. España.
bPediatra. CS Carlos Castilla del Pino. Córdoba. España.
cUnidad de Infecciosas. Servicio de Pediatría. Hospital Universitario Reina Sofía. Córdoba. España.

Cómo citar este artículo: Palomino Fernández L, Capitán Guarnizo R, Ruiz Sáez B. Nódulos esplénicos en pacientes pediátricos con leishmaniasis visceral. Rev Pediatr Aten Primaria. Supl. 2021(30):139-40.

Publicado en Internet: 30-11--0001 - Número de visitas: 4645

INTRODUCCIÓN

La leishmaniasis visceral es una patología con elevada prevalencia en la cuenca mediterránea causada por Leishmania infantum. El periodo de incubación prolongado, junto con la clínica inespecífica, hacen del diagnóstico un reto. Ocasionalmente se ha descrito la presencia de nódulos esplénicos en casos de leishmaniasis visceral, sin apenas casos recogidos en población pediátrica.

CASO CLÍNICO

Se presenta una serie de seis casos de leishmaniasis visceral con esplenomegalia y nódulos esplénicos. Estos casos fueron diagnosticados entre 2017 y 2019.

Todos procedían de un medio rural, habían tenido contacto con perros y ninguno presentaba otras comorbilidades.

En cuanto a la clínica, presentaban la triada típica de fiebre prolongada, esplenomegalia y citopenias. Además, el 17% asociaba adenopatías y el 83% hepatomegalia. Entre los datos analíticos, lo característico era anemia; aunque también estaba presente la neutropenia y trombopenia junto con linfocitosis. Dos de los seis se complicaron con síndrome hemofagocítico secundario.

Para el diagnóstico se obtuvo serología (enzimoinmunoanálisis e inmunofluorescencia indirecta), que fue positiva en los seis casos. A dos de ellos se les realizó el aspirado de médula ósea, visualizándose amastigotes intracelulares de ellos.

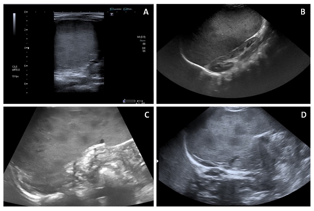
En todos ellos se realizó ecografía abdominal, donde se observó esplenomegalia, con presencia de múltiples lesiones nodulares hipoecoicas redondeadas subcentimétricas (Fig. 1). Estas tuvieron un tiempo de resolución variable.

Figura 1. A, C y D: esplenomegalia con múltiples lesiones hipoecoicas subcentimétricas compatibles con nódulos esplénicos. B: esplenomegalia masiva que aplasta al riñón
Figura 1. A, C y D: esplenomegalia con múltiples lesiones hipoecoicas subcentimétricas compatibles con nódulos esplénicos. B: esplenomegalia masiva que aplasta al riñón.

Para el tratamiento recibieron anfotericina B liposomal (4 mg/kg/día durante cinco días y una sexta dosis en el décimo día) a la que respondieron favorablemente desapareciendo la sintomatología tras iniciar tratamiento y llegando a la curación, sin recaídas posteriores.

CONCLUSIONES

La leishmaniasis visceral es una enfermedad con alta morbimortalidad cuyo diagnóstico se demora ya que presenta un curso insidioso con un periodo de incubación prolongado (15 días a 2 años), una sintomatología muy inespecífica (fiebre prolongada, hepatoesplenomegalia, síndrome constitucional) siendo el diagnóstico diferencial muy amplio y con métodos diagnósticos limitados, requiriendo pruebas invasivas como aspirado de médula ósea para confirmación.

Los nódulos esplénicos detectados mediante ecografía abdominal representan un signo característico de leishmaniasis visceral, por lo que se debería considerar realizar esta prueba a todo paciente con sospecha de leishmaniasis, como apoyo diagnóstico.

No obstante, estas lesiones no son patognomónicas de leishmaniasis visceral, debiendo hacer el diagnóstico diferencial con patologías como abscesos, infartos o linfomas, entre otros.

CONFLICTO DE INTERESES

Las autoras declaran no presentar conflictos de intereses en relación con la preparación y publicación de este artículo.